Suppr超能文献

考比替尼对MEK1的靶向抑制导致神经母细胞瘤细胞分化和凋亡。

Targeted inhibition of MEK1 by cobimetinib leads to differentiation and apoptosis in neuroblastoma cells.

作者信息

Singh Anjali, Ruan Yibing, Tippett Tanya, Narendran Aru

机构信息

POETIC Laboratory for Preclinical and Drug Discovery Studies, University of Calgary, Calgary, Alberta, Canada.

Division of Pediatric Oncology, Alberta Children's Hospital, 2888 Shaganappi Trail NW, Calgary, Alberta, T3B 6A8, Canada.

出版信息

J Exp Clin Cancer Res. 2015 Sep 18;34(1):104. doi: 10.1186/s13046-015-0222-x.

Abstract

BACKGROUND

Neuroblastoma (NB) is one of the most common childhood malignancies. Currently, high risk NB carries a poor outcome and significant treatment related toxicities and, thus has been a focus for new therapeutics research in pediatric oncology. In this study, we evaluated the effects of the MEK inhibitor cobimetinib, as a single agent and in combinations, on the growth, survival and differentiation properties against a molecularly representative panel of NB cell lines.

METHODS

In vitro anti-proliferative activity of cobimetinib alone or in combination was investigated by cell viability assays and its target modulatory activity was evaluated using phospho-kinases antibody arrays and western blot analysis. To determine the effect of combination with cis-RA on differentiation and resulting enhanced cellular cytotoxicity, the expression of glial fibrillary acidic protein (GFAP) and microtubule-associated protein 2 (MAP2) expression levels were examined by immuno-fluorescence.

RESULTS

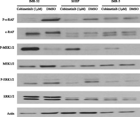
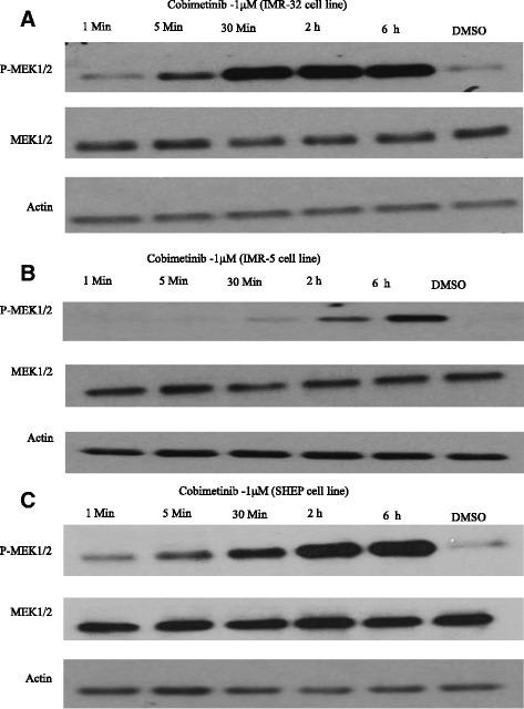
Our findings show that cobimetinib alone induced a concentration-dependent loss of cell viability in all NB cell lines. In addition, cobimetinib showed feedback activation of MEK1/2, and the dephosphorylation of extracellular signal-regulated kinases (ERK1/2) and c-RAF, providing information on the biological correlates of MEK inhibition in NB. Combined treatment with cis-RA, led to differentiation and enhanced sensitization of NB cells lines to cobimetinib.

CONCLUSION

Collectively, our results provide evidence that cobimetinib, in combination with cis-RA, represents a feasible option to develop novel treatment strategies for refractory NB.

摘要

背景

神经母细胞瘤(NB)是儿童最常见的恶性肿瘤之一。目前,高危NB预后较差,且存在与治疗相关的显著毒性,因此一直是儿科肿瘤学新疗法研究的重点。在本研究中,我们评估了MEK抑制剂考比替尼作为单一药物及其联合用药对一组具有分子代表性的NB细胞系的生长、存活和分化特性的影响。

方法

通过细胞活力测定研究考比替尼单独或联合用药的体外抗增殖活性,并使用磷酸化激酶抗体阵列和蛋白质免疫印迹分析评估其靶点调节活性。为了确定与顺式维甲酸联合用药对分化及由此增强的细胞毒性的影响,通过免疫荧光检测胶质纤维酸性蛋白(GFAP)和微管相关蛋白2(MAP2)的表达水平。

结果

我们的研究结果表明,考比替尼单独使用可诱导所有NB细胞系出现浓度依赖性的细胞活力丧失。此外,考比替尼显示出MEK1/2的反馈激活,以及细胞外信号调节激酶(ERK1/2)和c-RAF的去磷酸化,这为NB中MEK抑制的生物学相关性提供了信息。与顺式维甲酸联合治疗可导致NB细胞系分化并增强其对考比替尼的敏感性。

结论

总体而言,我们的结果表明,考比替尼与顺式维甲酸联合使用是为难治性NB开发新治疗策略的可行选择。

https://cdn.ncbi.nlm.nih.gov/pmc/blobs/23ab/4575431/c618af919c5b/13046_2015_222_Fig1_HTML.jpg

文献AI研究员

20分钟写一篇综述,助力文献阅读效率提升50倍。

立即体验

用中文搜PubMed

大模型驱动的PubMed中文搜索引擎

马上搜索

文档翻译

学术文献翻译模型,支持多种主流文档格式。

立即体验