Suppr超能文献

先前感染新城疫病毒强毒株可降低高致病性禽流感病毒在鸡体内的复制、疾病发生及死亡率。

Previous infection with virulent strains of Newcastle disease virus reduces highly pathogenic avian influenza virus replication, disease, and mortality in chickens.

作者信息

Costa-Hurtado Mar, Afonso Claudio L, Miller Patti J, Shepherd Eric, Cha Ra Mi, Smith Diane, Spackman Erica, Kapczynski Darrell R, Suarez David L, Swayne David E, Pantin-Jackwood Mary J

机构信息

Exotic and Emerging Avian Viral Diseases Unit, Southeast Poultry Research Laboratory, United States National Poultry Research Center, Agricultural Research Service, U.S. Department of Agriculture, Athens, GA, USA.

出版信息

Vet Res. 2015 Sep 23;46(1):97. doi: 10.1186/s13567-015-0237-5.

Abstract

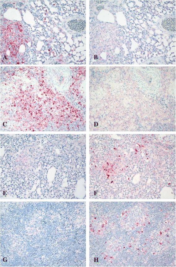
Highly pathogenic avian influenza virus (HPAIV) and Newcastle disease virus (NDV) are two of the most important viruses affecting poultry worldwide and produce co-infections especially in areas of the world where both viruses are endemic; but little is known about the interactions between these two viruses. The objective of this study was to determine if co-infection with NDV affects HPAIV replication in chickens. Only infections with virulent NDV strains (mesogenic Pigeon/1984 or velogenic CA/2002), and not a lentogenic NDV strain (LaSota), interfered with the replication of HPAIV A/chicken/Queretaro/14588-19/95 (H5N2) when the H5N2 was given at a high dose (10(6.9) EID50) two days after the NDV inoculation, but despite this interference, mortality was still observed. However, chickens infected with the less virulent mesogenic NDV Pigeon/1984 strain three days prior to being infected with a lower dose (10(5.3-5.5) EID50) of the same or a different HPAIV, A/chicken/Jalisco/CPA-12283-12/2012 (H7N3), had reduced HPAIV replication and increased survival rates. In conclusion, previous infection of chickens with virulent NDV strains can reduce HPAIV replication, and consequently disease and mortality. This interference depends on the titer of the viruses used, the virulence of the NDV, and the timing of the infections. The information obtained from these studies helps to understand the possible interactions and outcomes of infection (disease and virus shedding) when HPAIV and NDV co-infect chickens in the field.

摘要

高致病性禽流感病毒(HPAIV)和新城疫病毒(NDV)是影响全球家禽的两种最重要的病毒,尤其在这两种病毒都为地方病的世界区域会产生共同感染;但对于这两种病毒之间的相互作用了解甚少。本研究的目的是确定与NDV共同感染是否会影响鸡体内HPAIV的复制。只有用强毒NDV毒株(中等毒力的鸽/1984或强毒的CA/2002)感染,而非弱毒NDV毒株(LaSota),在接种NDV两天后给予高剂量(10(6.9) EID50)的H5N2型HPAIV A/鸡/克雷塔罗/14588 - 19/95时,才会干扰其复制,不过尽管有这种干扰,但仍观察到了死亡情况。然而,在感染低剂量(10(5.3 - 5.5) EID50)的相同或不同HPAIV A/鸡/哈利斯科/CPA - 12283 - 12/2012(H7N3)三天前先用弱毒中等毒力的鸽/1984型NDV毒株感染鸡,会使HPAIV复制减少且存活率提高。总之,先前用强毒NDV毒株感染鸡可减少HPAIV复制,从而降低疾病和死亡率。这种干扰取决于所用病毒的滴度、NDV的毒力以及感染的时间。从这些研究中获得的信息有助于理解在野外HPAIV和NDV共同感染鸡时感染(疾病和病毒排出)的可能相互作用及结果。

https://cdn.ncbi.nlm.nih.gov/pmc/blobs/6f58/4579609/a88e65cc44ae/13567_2015_237_Fig1_HTML.jpg

文献AI研究员

20分钟写一篇综述,助力文献阅读效率提升50倍。

立即体验

用中文搜PubMed

大模型驱动的PubMed中文搜索引擎

马上搜索

文档翻译

学术文献翻译模型,支持多种主流文档格式。

立即体验