Suppr超能文献

靶向碳酸酐酶IX的磺胺类衍生物作为体内检测结直肠癌的核成像探针。

Sulfonamide derivative targeting carbonic anhydrase IX as a nuclear imaging probe for colorectal cancer detection in vivo.

作者信息

Guan Siao-Syun, Cheng Chun-Chia, Ho Ai-Sheng, Wang Chia-Chi, Luo Tsai-Yueh, Liao Tse-Zung, Chang Jungshan, Wu Cheng-Tien, Liu Shing-Hwa

机构信息

Institute of Nuclear Energy Research, Atomic Energy Council, Taoyuan, Taiwan.

Institute of Toxicology, College of Medicine, National Taiwan University, Taipei, Taiwan.

出版信息

Oncotarget. 2015 Nov 3;6(34):36139-55. doi: 10.18632/oncotarget.5684.

Abstract

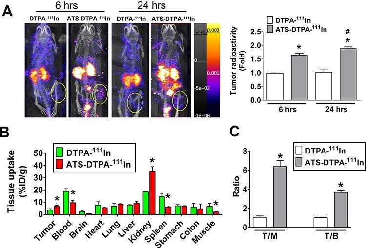
Hypoxic microenvironment is a common situation in solid tumors. Carbonic anhydrase IX (CA9) is one of the reliable cellular biomarkers of hypoxia. The role of CA9 in colorectal cancer (CRC) remains to be clarified. CA9 inhibitor such as sulfonamides is known to block CA9 activation and reduce tumor growth consequently. Here, we aimed to investigate the CA9 expression in serum and tumor from different stages of CRC patients and utilize sulfonamide derivative with indium-111 labeling as a probe for CRC nuclear imaging detection in vivo. The serum CA9 was correlated with the tumor CA9 levels in different stages of CRC patients. Hypoxia increased cell viability and CA9 expression in colorectal cancer HCT-15 cells. Sulfonamide derivative 5-(2-aminoethyl)thiophene-2-sulfonamide (ATS) could bind with CA9 in vitro under hypoxia. Moreover, tumor tissues in HCT-15-induced xenograft mice possessed higher hypoxic fluorescence signal as compared with other organs. We also found that the radioisotope signal of indium-111 labeled ATS, which was utilized for CRC detection in HCT-15-induced xenograft mice, was markedly enhanced in tumors as compared with non-ATS control. Taken together, these findings suggest that CA9 is a potential hypoxic CRC biomarker and measurement of serum CA9 can be as a potential tool for diagnosing CA9 expressions in CRC clinical practice. The radioisotope-labeled sulfonamide derivative (ATS) may be useful to apply in CRC patients for nuclear medicine imaging.

摘要

缺氧微环境是实体瘤中的常见情况。碳酸酐酶IX(CA9)是缺氧可靠的细胞生物标志物之一。CA9在结直肠癌(CRC)中的作用仍有待阐明。已知磺胺类等CA9抑制剂可阻断CA9激活并因此减少肿瘤生长。在此,我们旨在研究CRC患者不同阶段血清和肿瘤中的CA9表达,并利用111铟标记的磺胺衍生物作为体内CRC核成像检测的探针。CRC患者不同阶段的血清CA9与肿瘤CA9水平相关。缺氧增加了结直肠癌HCT-15细胞的细胞活力和CA9表达。磺胺衍生物5-(2-氨基乙基)噻吩-2-磺酰胺(ATS)在缺氧条件下可在体外与CA9结合。此外,与其他器官相比,HCT-15诱导的异种移植小鼠的肿瘤组织具有更高的缺氧荧光信号。我们还发现,用于HCT-15诱导的异种移植小鼠CRC检测的111铟标记ATS的放射性同位素信号在肿瘤中比非ATS对照明显增强。综上所述,这些发现表明CA9是一种潜在的缺氧CRC生物标志物,血清CA9的检测可作为CRC临床实践中诊断CA9表达的潜在工具。放射性同位素标记的磺胺衍生物(ATS)可能有助于应用于CRC患者的核医学成像。

https://cdn.ncbi.nlm.nih.gov/pmc/blobs/7b34/4742167/be52d59e3f5b/oncotarget-06-36139-g001.jpg

文献AI研究员

20分钟写一篇综述,助力文献阅读效率提升50倍。

立即体验

用中文搜PubMed

大模型驱动的PubMed中文搜索引擎

马上搜索

文档翻译

学术文献翻译模型,支持多种主流文档格式。

立即体验