Suppr超能文献

靶向HuR的纳米疗法联合AMD3100可抑制肺癌中CXCR4的表达、细胞生长、迁移和侵袭。

HuR-targeted nanotherapy in combination with AMD3100 suppresses CXCR4 expression, cell growth, migration and invasion in lung cancer.

作者信息

Muralidharan R, Panneerselvam J, Chen A, Zhao Y D, Munshi A, Ramesh R

机构信息

Department of Pathology, Stanton L. Young Biomedical Research Center, The University of Oklahoma Health Sciences Center, Oklahoma City, OK, USA.

Stephenson Cancer Center, The University of Oklahoma Health Sciences Center, Oklahoma City, OK, USA.

出版信息

Cancer Gene Ther. 2015 Dec;22(12):581-90. doi: 10.1038/cgt.2015.55. Epub 2015 Oct 23.

Abstract

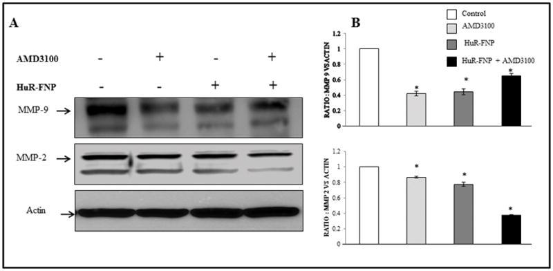
The CXCR4 chemokine receptor has an important role in cancer cell metastasis. The CXCR4 antagonist, AMD3100, has limited efficacy in controlling metastasis. HuR, an RNA-binding protein, regulates CXCR4 in cancer cells. We therefore investigated whether targeting HuR using a siRNA-based nanoparticle plus AMD3100 would suppress CXCR4 and inhibit lung cancer metastasis. We treated human H1299 lung cancer cells with HuR-specific siRNA contained in a folate-targeted lipid nanoparticle (HuR-FNP) plus AMD3100, and compared this with AMD3100 alone, HuR-FNP alone and no treatment. HuR-FNP plus AMD3100 treatment produced a G1 phase cell cycle arrest and reduced cell viability above and beyond the effects of AMD3100 alone. HuR and CXCR4 mRNA and protein expression levels were markedly reduced in all treatment groups. Phosphorylated (p) AKT(S473) protein was also reduced. P27 protein expression increased with HuR-FNP and combination treatment. Promoter-based reporter studies showed that the combination inhibited CXCR4 promoter activity more than did either treatment alone. Cell migration and invasion was significantly reduced with all treatments; the combination provided the most inhibition. Reduced matrix metalloprotease (MMP)-2 and -9 expression was associated with reduced invasion in all treatment groups. Thus, we found that combined HuR and CXCR4 targeting effectively controlled lung cancer metastasis.

摘要

CXCR4趋化因子受体在癌细胞转移中发挥着重要作用。CXCR4拮抗剂AMD3100在控制转移方面疗效有限。HuR是一种RNA结合蛋白,可调节癌细胞中的CXCR4。因此,我们研究了使用基于小干扰RNA(siRNA)的纳米颗粒联合AMD3100靶向HuR是否会抑制CXCR4并抑制肺癌转移。我们用叶酸靶向脂质纳米颗粒(HuR-FNP)中含有的HuR特异性siRNA联合AMD3100处理人H1299肺癌细胞,并将其与单独使用AMD3100、单独使用HuR-FNP以及不进行处理的情况进行比较。HuR-FNP联合AMD3100处理导致细胞周期停滞于G1期,并降低细胞活力,其效果超过单独使用AMD3100。所有处理组中HuR和CXCR4的mRNA及蛋白表达水平均显著降低。磷酸化(p)AKT(S473)蛋白也减少。P27蛋白表达在HuR-FNP及联合处理组中增加。基于启动子的报告基因研究表明,联合处理比单独任何一种处理对CXCR4启动子活性的抑制作用更强。所有处理均显著降低细胞迁移和侵袭能力;联合处理的抑制作用最强。所有处理组中基质金属蛋白酶(MMP)-2和-9表达降低与侵袭减少相关。因此,我们发现联合靶向HuR和CXCR4可有效控制肺癌转移。

https://cdn.ncbi.nlm.nih.gov/pmc/blobs/5de9/4679684/f84f6e27283c/nihms728908f1a.jpg

文献AI研究员

20分钟写一篇综述,助力文献阅读效率提升50倍。

立即体验

用中文搜PubMed

大模型驱动的PubMed中文搜索引擎

马上搜索

文档翻译

学术文献翻译模型,支持多种主流文档格式。

立即体验