Suppr超能文献

补肾壮筋汤抑制内质网应激介导的颞下颌关节紊乱病诱导的软骨细胞凋亡。

Bushen Zhuangjin decoction inhibits TM-induced chondrocyte apoptosis mediated by endoplasmic reticulum stress.

作者信息

Lin Pingdong, Weng Xiaping, Liu Fayuan, Ma Yuhuan, Chen Houhuang, Shao Xiang, Zheng Wenwei, Liu Xianxiang, Ye Hongzhi, Li Xihai

机构信息

College of Pharmacy, Fujian University of Traditional Chinese Medicine, Fuzhou, Fujian 350122, P.R. China.

Academy of Integrative Medicine, Fujian University of Traditional Chinese Medicine, Fuzhou, Fujian 350122, P.R. China.

出版信息

Int J Mol Med. 2015 Dec;36(6):1519-28. doi: 10.3892/ijmm.2015.2387. Epub 2015 Oct 22.

Abstract

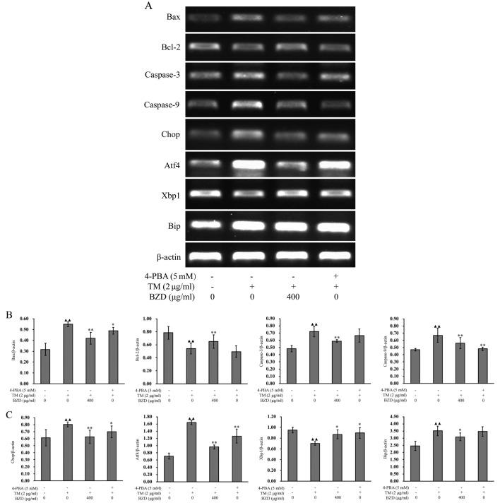
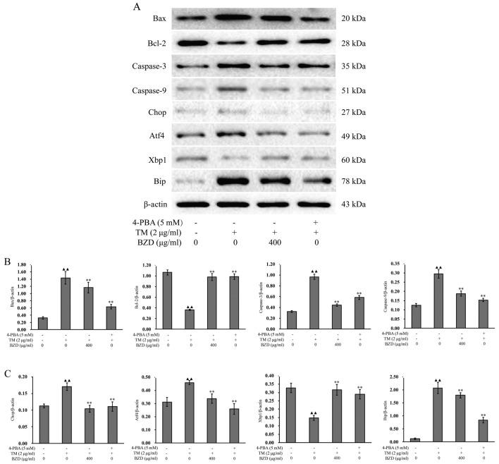
Chondrocyte apoptosis triggered by endoplasmic reticulum (ER) stress plays a vital role in the pathogenesis of osteoarthritis (OA). Bushen Zhuangjin decoction (BZD) has been widely used in the treatment of OA. However, the cellular and molecular mechanisms responsible for the inhibitory effects of BZD on chondrocyte apoptosis remain to be elucidated. In the present study, we investigated the effects of BZD on ER stress-induced chondrocyte apoptosis using a chondrocyte in vitro model of OA. Chondrocytes obtained from the articular cartilage of the knee joints of Sprague Dawley (SD) rats were detected by immunohistochemical staining for type Ⅱ collagen. The ER stress-mediated apoptosis of tunicamycin (TM)‑stimulated chondrocytes was detected using 4-phenylbutyric acid (4‑PBA). We found that 4‑PBA inhibited TM-induced chondrocyte apoptosis, which confirmed the successful induction of chondrocyte apoptosis. BZD enhanced the viability of the TM-stimulated chondrocytes in a dose- and time-dependent manner, as shown by MTT assay. The apoptotic rate and the loss of mitochondrial membrane potential (ΔΨm) of the TM-stimulated chondrocytes treated with BZD was markedly decreased compared with those of chondrocytes not treated with BZD, as shown by 4',6-diamidino-2-phenylindole (DAPI) staining, Annexin V-FITC binding assay and JC-1 assay. To further elucidate the mechanisms responsible for the inhibitory effects of BZD on TM‑induced chondrocyte apoptosis mediated by ER stress, the mRNA and protein expression levels of binding immunoglobulin protein (Bip), X‑box binding protein 1 (Xbp1), activating transcription factor 4 (Atf4), C/EBP‑homologous protein (Chop), caspase‑9, caspase-3, B-cell lymphoma 2 (Bcl-2) and Bcl-2-associated X protein (Bax) were measured by reverse transcription-polymerase chain reaction (RT-PCR) and western blot analysis. In the TM-stimulated chondrocytes treated with BZD, the mRNA and protein expression levels of Bip, Atf4, Chop, caspase-9, caspase-3 and Bax were significantly decreased, whereas the mRNA and protein expression levels of Xbp1 and Bcl-2 were significantly increased compared with the TM‑stimulated chondrocytes not treated with BZD. Additionally, all our findings demonstrated that there was no significant difference between the TM‑stimulated chondrocytes treated with BZD and those treated with 4‑PBA. Taken together, our results indicate that BZD inhibits TM‑induced chondrocyte apoptosis mediated by ER stress. Thus, BZD may be a potential therapeutic agent for use in the treatment of OA.

摘要

内质网(ER)应激引发的软骨细胞凋亡在骨关节炎(OA)发病机制中起关键作用。补肾壮筋汤(BZD)已广泛用于OA的治疗。然而,BZD抑制软骨细胞凋亡的细胞和分子机制仍有待阐明。在本研究中,我们使用OA的软骨细胞体外模型研究了BZD对内质网应激诱导的软骨细胞凋亡的影响。通过Ⅱ型胶原免疫组织化学染色检测从Sprague Dawley(SD)大鼠膝关节软骨获得的软骨细胞。使用4-苯基丁酸(4-PBA)检测衣霉素(TM)刺激的软骨细胞的内质网应激介导的凋亡。我们发现4-PBA抑制TM诱导的软骨细胞凋亡,这证实了软骨细胞凋亡的成功诱导。如MTT法所示,BZD以剂量和时间依赖性方式提高了TM刺激的软骨细胞的活力。如4',6-二脒基-2-苯基吲哚(DAPI)染色、膜联蛋白V-FITC结合试验和JC-1试验所示,与未用BZD处理的软骨细胞相比,用BZD处理的TM刺激的软骨细胞的凋亡率和线粒体膜电位(ΔΨm)的丧失明显降低。为了进一步阐明BZD对内质网应激介导的TM诱导的软骨细胞凋亡的抑制作用机制,通过逆转录-聚合酶链反应(RT-PCR)和蛋白质印迹分析测量结合免疫球蛋白蛋白(Bip)、X盒结合蛋白1(Xbp1)、激活转录因子4(Atf4)、C/EBP同源蛋白(Chop)、半胱天冬酶-9、半胱天冬酶-3、B细胞淋巴瘤2(Bcl-2)和Bcl-2相关X蛋白(Bax)的mRNA和蛋白表达水平。在用BZD处理的TM刺激的软骨细胞中,与未用BZD处理的TM刺激的软骨细胞相比,Bip、Atf4、Chop、半胱天冬酶-9、半胱天冬酶-3和Bax的mRNA和蛋白表达水平显著降低,而Xbp1和Bcl-2的mRNA和蛋白表达水平显著增加。此外,我们所有的研究结果表明,用BZD处理的TM刺激的软骨细胞与用4-PBA处理的软骨细胞之间没有显著差异。综上所述,我们的结果表明BZD抑制内质网应激介导的TM诱导的软骨细胞凋亡。因此,BZD可能是一种用于治疗OA的潜在治疗药物。

https://cdn.ncbi.nlm.nih.gov/pmc/blobs/55d7/4678159/6b88153a36e5/IJMM-36-06-1519-g00.jpg

文献AI研究员

20分钟写一篇综述,助力文献阅读效率提升50倍。

立即体验

用中文搜PubMed

大模型驱动的PubMed中文搜索引擎

马上搜索

文档翻译

学术文献翻译模型,支持多种主流文档格式。

立即体验