Suppr超能文献

异染色质断裂移至核周边以继续重组修复。

Heterochromatic breaks move to the nuclear periphery to continue recombinational repair.

作者信息

Ryu Taehyun, Spatola Brett, Delabaere Laetitia, Bowlin Katherine, Hopp Hannah, Kunitake Ryan, Karpen Gary H, Chiolo Irene

机构信息

University of Southern California, Molecular and Computational Biology Department, Los Angeles, California 90089, USA.

Lawrence Berkeley National Laboratory, Genome Dynamics Department, Berkeley, California 94720, USA.

出版信息

Nat Cell Biol. 2015 Nov;17(11):1401-11. doi: 10.1038/ncb3258. Epub 2015 Oct 26.

Abstract

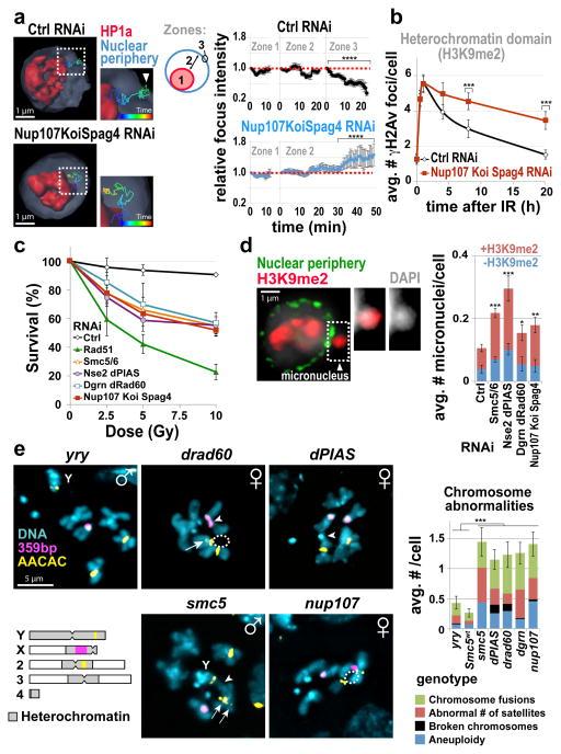
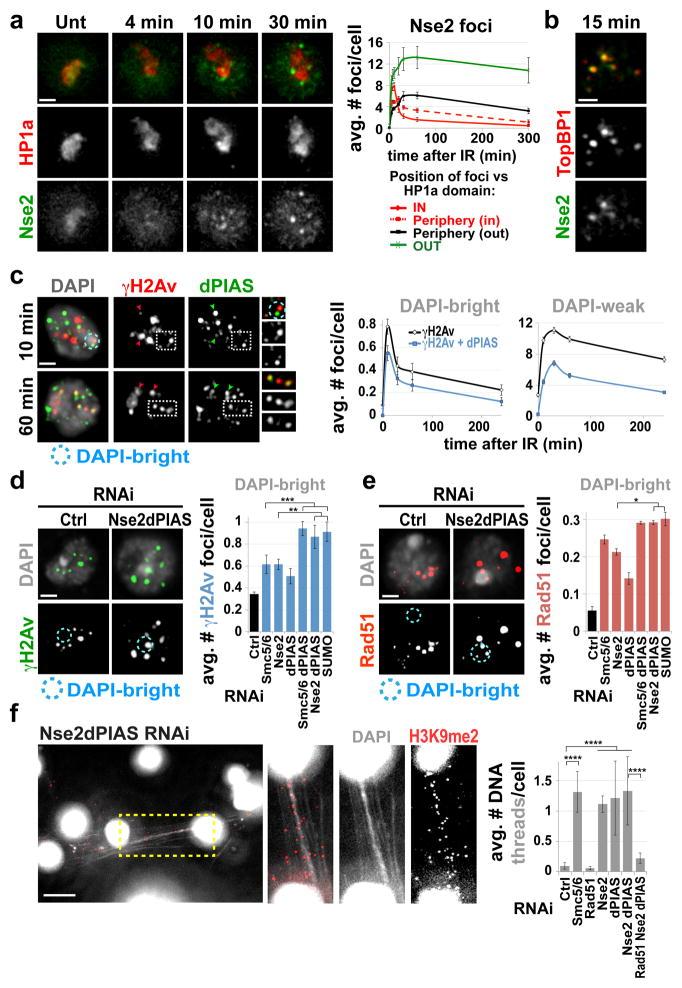
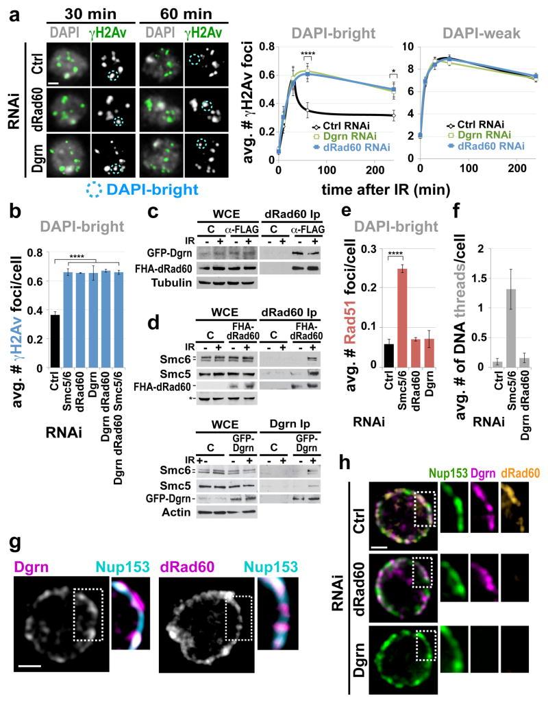
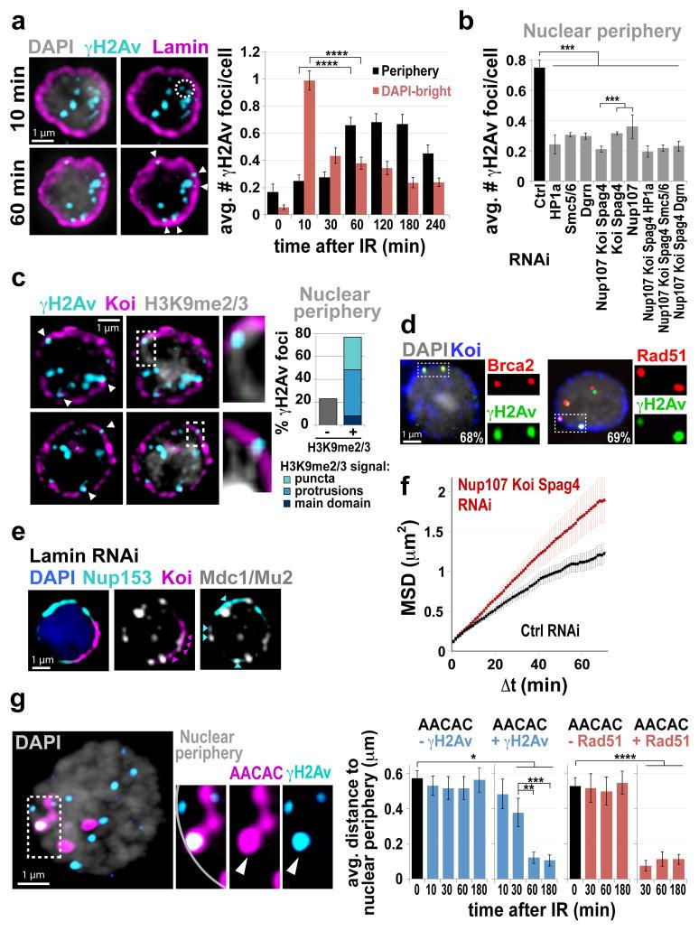
Heterochromatin mostly comprises repeated sequences prone to harmful ectopic recombination during double-strand break (DSB) repair. In Drosophila cells, 'safe' homologous recombination (HR) repair of heterochromatic breaks relies on a specialized pathway that relocalizes damaged sequences away from the heterochromatin domain before strand invasion. Here we show that heterochromatic DSBs move to the nuclear periphery to continue HR repair. Relocalization depends on nuclear pores and inner nuclear membrane proteins (INMPs) that anchor repair sites to the nuclear periphery through the Smc5/6-interacting proteins STUbL/RENi. Both the initial block to HR progression inside the heterochromatin domain, and the targeting of repair sites to the nuclear periphery, rely on SUMO and SUMO E3 ligases. This study reveals a critical role for SUMOylation in the spatial and temporal regulation of HR repair in heterochromatin, and identifies the nuclear periphery as a specialized site for heterochromatin repair in a multicellular eukaryote.

摘要

异染色质主要由重复序列组成,在双链断裂(DSB)修复过程中容易发生有害的异位重组。在果蝇细胞中,异染色质断裂的“安全”同源重组(HR)修复依赖于一种特殊途径,该途径在链入侵之前将受损序列从异染色质结构域重新定位。在这里,我们表明异染色质DSB会移动到核周边以继续HR修复。重新定位依赖于核孔和内核膜蛋白(INMPs),它们通过与Smc5/6相互作用的蛋白STUbL/RENi将修复位点锚定到核周边。异染色质结构域内HR进程的初始阻滞以及修复位点向核周边的靶向,都依赖于SUMO和SUMO E3连接酶。这项研究揭示了SUMO化在异染色质中HR修复的时空调节中的关键作用,并确定核周边是多细胞真核生物中异染色质修复的特殊位点。

https://cdn.ncbi.nlm.nih.gov/pmc/blobs/58c9/4628585/98eb4cd82d13/nihms725033f1.jpg

文献AI研究员

20分钟写一篇综述,助力文献阅读效率提升50倍。

立即体验

用中文搜PubMed

大模型驱动的PubMed中文搜索引擎

马上搜索

文档翻译

学术文献翻译模型,支持多种主流文档格式。

立即体验