Suppr超能文献

在杜氏肌营养不良症中进行 HLA 匹配的供体中胚层血管母细胞的动脉内移植。

Intra-arterial transplantation of HLA-matched donor mesoangioblasts in Duchenne muscular dystrophy.

作者信息

Cossu Giulio, Previtali Stefano C, Napolitano Sara, Cicalese Maria Pia, Tedesco Francesco Saverio, Nicastro Francesca, Noviello Maddalena, Roostalu Urmas, Natali Sora Maria Grazia, Scarlato Marina, De Pellegrin Maurizio, Godi Claudia, Giuliani Serena, Ciotti Francesca, Tonlorenzi Rossana, Lorenzetti Isabella, Rivellini Cristina, Benedetti Sara, Gatti Roberto, Marktel Sarah, Mazzi Benedetta, Tettamanti Andrea, Ragazzi Martina, Imro Maria Adele, Marano Giuseppina, Ambrosi Alessandro, Fiori Rossana, Sormani Maria Pia, Bonini Chiara, Venturini Massimo, Politi Letterio S, Torrente Yvan, Ciceri Fabio

机构信息

Institute of Inflammation and Repair, University of Manchester, Manchester, UK

Institute of Experimental Neurology (InSpe), Division of Neuroscience, IRCCS San Raffaele Scientific Institute, Milan, Italy Department of Neurology, IRCCS San Raffaele Scientific Institute, Milan, Italy

出版信息

EMBO Mol Med. 2015 Dec;7(12):1513-28. doi: 10.15252/emmm.201505636.

Abstract

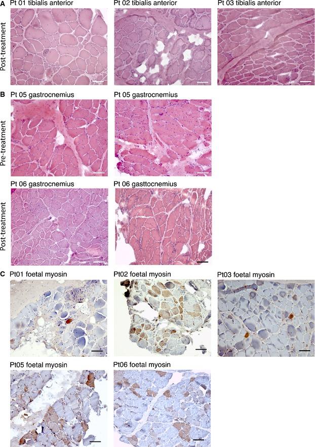
Intra-arterial transplantation of mesoangioblasts proved safe and partially efficacious in preclinical models of muscular dystrophy. We now report the first-in-human, exploratory, non-randomized open-label phase I-IIa clinical trial of intra-arterial HLA-matched donor cell transplantation in 5 Duchenne patients. We administered escalating doses of donor-derived mesoangioblasts in limb arteries under immunosuppressive therapy (tacrolimus). Four consecutive infusions were performed at 2-month intervals, preceded and followed by clinical, laboratory, and muscular MRI analyses. Two months after the last infusion, a muscle biopsy was performed. Safety was the primary endpoint. The study was relatively safe: One patient developed a thalamic stroke with no clinical consequences and whose correlation with mesoangioblast infusion remained unclear. MRI documented the progression of the disease in 4/5 patients. Functional measures were transiently stabilized in 2/3 ambulant patients, but no functional improvements were observed. Low level of donor DNA was detected in muscle biopsies of 4/5 patients and donor-derived dystrophin in 1. Intra-arterial transplantation of donor mesoangioblasts in human proved to be feasible and relatively safe. Future implementation of the protocol, together with a younger age of patients, will be needed to approach efficacy.

摘要

在肌肉萎缩症的临床前模型中,中胚层血管母细胞的动脉内移植已证明是安全且部分有效的。我们现在报告首例针对5名杜氏肌营养不良患者进行的动脉内 HLA 匹配供体细胞移植的人体探索性、非随机开放标签 I-IIa 期临床试验。我们在免疫抑制治疗(他克莫司)下,在肢体动脉中给予递增剂量的供体来源的中胚层血管母细胞。每隔2个月进行连续4次输注,在输注前后进行临床、实验室和肌肉MRI分析。最后一次输注后2个月,进行肌肉活检。安全性是主要终点。该研究相对安全:1名患者发生丘脑中风,但无临床后果,其与中胚层血管母细胞输注的相关性尚不清楚。MRI记录了4/5患者疾病的进展。2/3能行走的患者功能指标暂时稳定,但未观察到功能改善。在4/5患者的肌肉活检中检测到低水平的供体DNA,1名患者检测到供体来源的抗肌萎缩蛋白。人体供体中胚层血管母细胞的动脉内移植被证明是可行且相对安全的。若要提高疗效,未来需要实施该方案,并纳入更年轻的患者。

https://cdn.ncbi.nlm.nih.gov/pmc/blobs/74b6/4693504/7adfde8f2a6f/EMMM-7-1513-g002.jpg

文献AI研究员

20分钟写一篇综述,助力文献阅读效率提升50倍。

立即体验

用中文搜PubMed

大模型驱动的PubMed中文搜索引擎

马上搜索

文档翻译

学术文献翻译模型,支持多种主流文档格式。

立即体验