Suppr超能文献

核苷酸切除修复和转录偶联DNA修复消除了DNA损伤对转录的影响。

Nucleotide Excision Repair and Transcription-coupled DNA Repair Abrogate the Impact of DNA Damage on Transcription.

作者信息

Nadkarni Aditi, Burns John A, Gandolfi Alberto, Chowdhury Moinuddin A, Cartularo Laura, Berens Christian, Geacintov Nicholas E, Scicchitano David A

机构信息

From the Departments of Biology and Chemistry, New York University, New York, New York 10003.

the Dipartimento di Matematica e Informatica "Ulisse Dini," Università di Firenze, 50134 Firenze, Italy, the Division of Science, New York University Abu Dhabi, Post Office Box 129188, Abu Dhabi, United Arab Emirates.

出版信息

J Biol Chem. 2016 Jan 8;291(2):848-61. doi: 10.1074/jbc.M115.685271. Epub 2015 Nov 11.

Abstract

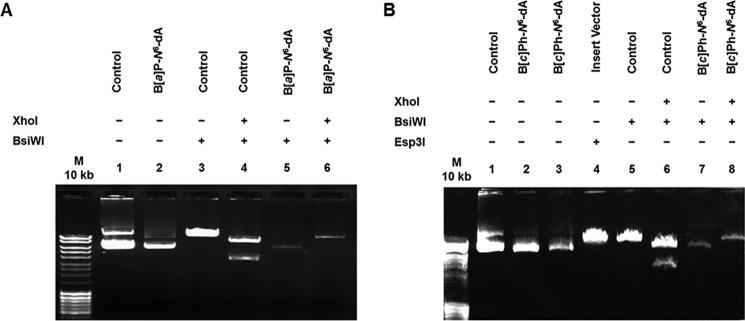
DNA adducts derived from carcinogenic polycyclic aromatic hydrocarbons like benzo[a]pyrene (B[a]P) and benzo[c]phenanthrene (B[c]Ph) impede replication and transcription, resulting in aberrant cell division and gene expression. Global nucleotide excision repair (NER) and transcription-coupled DNA repair (TCR) are among the DNA repair pathways that evolved to maintain genome integrity by removing DNA damage. The interplay between global NER and TCR in repairing the polycyclic aromatic hydrocarbon-derived DNA adducts (+)-trans-anti-B[a]P-N(6)-dA, which is subject to NER and blocks transcription in vitro, and (+)-trans-anti-B[c]Ph-N(6)-dA, which is a poor substrate for NER but also blocks transcription in vitro, was tested. The results show that both adducts inhibit transcription in human cells that lack both NER and TCR. The (+)-trans-anti-B[a]P-N(6)-dA lesion exhibited no detectable effect on transcription in cells proficient in NER but lacking TCR, indicating that NER can remove the lesion in the absence of TCR, which is consistent with in vitro data. In primary human cells lacking NER, (+)-trans-anti-B[a]P-N(6)-dA exhibited a deleterious effect on transcription that was less severe than in cells lacking both pathways, suggesting that TCR can repair the adduct but not as effectively as global NER. In contrast, (+)-trans-anti-B[c]Ph-N(6)-dA dramatically reduces transcript production in cells proficient in global NER but lacking TCR, indicating that TCR is necessary for the removal of this adduct, which is consistent with in vitro data showing that it is a poor substrate for NER. Hence, both global NER and TCR enhance the recovery of gene expression following DNA damage, and TCR plays an important role in removing DNA damage that is refractory to NER.

摘要

源自致癌多环芳烃(如苯并[a]芘(B[a]P)和苯并[c]菲(B[c]Ph))的DNA加合物会阻碍复制和转录,导致细胞分裂异常和基因表达异常。全局核苷酸切除修复(NER)和转录偶联DNA修复(TCR)是通过去除DNA损伤来维持基因组完整性而进化出的DNA修复途径。测试了全局NER和TCR在修复多环芳烃衍生的DNA加合物(+)-反式-反式-B[a]P-N(6)-dA(该加合物可被NER识别并在体外阻断转录)和(+)-反式-反式-B[c]Ph-N(6)-dA(该加合物是NER的不良底物但在体外也能阻断转录)方面的相互作用。结果表明,这两种加合物在缺乏NER和TCR的人类细胞中均会抑制转录。(+)-反式-反式-B[a]P-N(6)-dA损伤在具备NER但缺乏TCR的细胞中对转录没有可检测到的影响,这表明在没有TCR的情况下NER可以去除该损伤,这与体外数据一致。在缺乏NER的原代人类细胞中,(+)-反式-反式-B[a]P-N(6)-dA对转录表现出有害影响,但不如在缺乏这两种途径的细胞中严重,这表明TCR可以修复该加合物,但效果不如全局NER。相比之下,(+)-反式-反式-B[c]Ph-N(6)-dA在具备全局NER但缺乏TCR的细胞中显著降低转录产物的产生,这表明TCR对于去除这种加合物是必要的,这与体外数据表明其是NER的不良底物一致。因此,全局NER和TCR均能增强DNA损伤后基因表达的恢复,并且TCR在去除对NER具有抗性的DNA损伤中起重要作用。

https://cdn.ncbi.nlm.nih.gov/pmc/blobs/10b6/4705403/98f48a1135d4/zbc0041634520001.jpg

文献AI研究员

20分钟写一篇综述,助力文献阅读效率提升50倍。

立即体验

用中文搜PubMed

大模型驱动的PubMed中文搜索引擎

马上搜索

文档翻译

学术文献翻译模型,支持多种主流文档格式。

立即体验