Suppr超能文献

微小RNA-372通过靶向Ras同源基因家族成员C(RhoC)的表达来抑制子宫内膜癌的发展。

MicroRNA-372 inhibits endometrial carcinoma development by targeting the expression of the Ras homolog gene family member C (RhoC).

作者信息

Liu Bo-Liang, Sun Kai-Xuan, Zong Zhi-Hong, Chen Shuo, Zhao Yang

机构信息

Department of Gynecology, The First Affiliated Hospital of China Medical University, Shenyang 110001, China.

Department of Biochemistry and Molecular Biology, College of Basic Medicine, China Medical University, Shenyang 100013, China.

出版信息

Oncotarget. 2016 Feb 9;7(6):6649-64. doi: 10.18632/oncotarget.6544.

Abstract

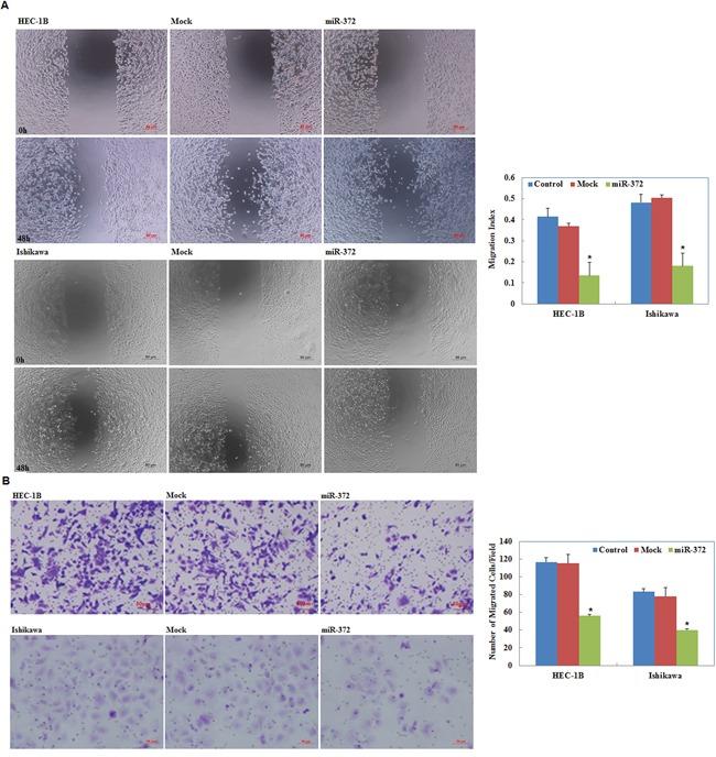
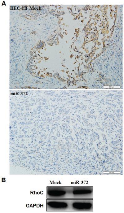
Here we explore the role of microRNA-372 (miR-372) in tumorigenesis and development of endometrial adenocarcinoma (EC) and analyze the underlying mechanism. We found that miR-372 expression is much lower in EC than normal endometrial specimens. Cell function experiments demonstrated that miR-372 overexpression suppressed cell proliferation, migration, and invasion, and led to a G1 phase arrest and promoted the apoptosis of endometrial carcinoma cells in vitro. The nude mouse xenograft assay demonstrated that miR-372 overexpression suppressed tumor growth. RT-PCR and Western blot assays detected the expression of known targets of miR-372 in other malignant tumors and found Cyclin A1 and Cyclin-dependent Kinase 2 (CDK2) was downregulated by miR-372. Bioinformatic predictions and dual-luciferase reporter assays found that RhoC was a possible target of miR-372. RT-PCR and Western blot assays demonstrated that miR-372 transfection reduced the expression of RhoC, matrix metalloproteinase 2 (MMP2) and MMP9, while it increased the expression of cleaved poly (ADP ribose) polymerase (PARP) and bcl-2-associated X protein (Bax). The cell function experiments that transfected siRNA with RhoC showed the same trend as those which were transfected with miR-372. Taken together, our results demonstrated for the first time that miR-372 suppresses tumorigenesis and the development of EC; RhoC is a new and potentially important therapeutic target.

摘要

在此,我们探讨了微小RNA-372(miR-372)在子宫内膜腺癌(EC)发生发展中的作用,并分析其潜在机制。我们发现,miR-372在EC中的表达远低于正常子宫内膜标本。细胞功能实验表明,miR-372过表达抑制细胞增殖、迁移和侵袭,导致细胞在G1期停滞,并促进体外子宫内膜癌细胞凋亡。裸鼠异种移植实验表明,miR-372过表达抑制肿瘤生长。RT-PCR和蛋白质印迹分析检测了miR-372在其他恶性肿瘤中的已知靶标的表达,发现细胞周期蛋白A1和细胞周期蛋白依赖性激酶2(CDK2)被miR-372下调。生物信息学预测和双荧光素酶报告基因检测发现,RhoC是miR-372的一个可能靶标。RT-PCR和蛋白质印迹分析表明,miR-372转染降低了RhoC、基质金属蛋白酶2(MMP2)和MMP9的表达,同时增加了裂解的聚(ADP核糖)聚合酶(PARP)和bcl-2相关X蛋白(Bax)的表达。用RhoC转染siRNA的细胞功能实验显示出与用miR-372转染的实验相同的趋势。综上所述,我们的结果首次表明,miR-372抑制EC的发生发展;RhoC是一个新的且潜在重要的治疗靶点。

https://cdn.ncbi.nlm.nih.gov/pmc/blobs/9d70/4872740/b478a850c4da/oncotarget-07-6649-g001.jpg

文献AI研究员

20分钟写一篇综述,助力文献阅读效率提升50倍。

立即体验

用中文搜PubMed

大模型驱动的PubMed中文搜索引擎

马上搜索

文档翻译

学术文献翻译模型,支持多种主流文档格式。

立即体验