Suppr超能文献

在大鼠肝纤维化模型中,通过肝脏靶向性流体动力学基因递送基质金属蛋白酶-13有效预防肝纤维化

Effective Prevention of Liver Fibrosis by Liver-targeted Hydrodynamic Gene Delivery of Matrix Metalloproteinase-13 in a Rat Liver Fibrosis Model.

作者信息

Abe Hiroyuki, Kamimura Kenya, Kobayashi Yuji, Ohtsuka Masato, Miura Hiromi, Ohashi Riuko, Yokoo Takeshi, Kanefuji Tsutomu, Suda Takeshi, Tsuchida Masanori, Aoyagi Yutaka, Zhang Guisheng, Liu Dexi, Terai Shuji

机构信息

Division of Gastroenterology and Hepatology, Graduate School of Medical and Dental Sciences, Niigata University, Niigata, Niigata, Japan.

Department of Molecular Life Science, Division of Basic Medical Science and Molecular Medicine, School of Medicine, Tokai University, Isehara, Kanagawa, Japan.

出版信息

Mol Ther Nucleic Acids. 2016 Jan 5;5(1):e276. doi: 10.1038/mtna.2015.49.

Abstract

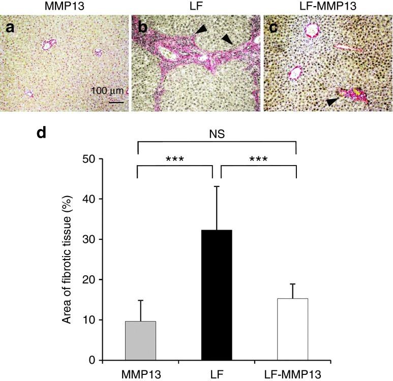
Liver fibrosis is the final stage of liver diseases that lead to liver failure and cancer. While various diagnostic methods, including the use of serum marker, have been established, no standard therapy has been developed. The objective of this study was to assess the approach of overexpressing matrix metalloproteinase-13 gene (MMP13) in rat liver to prevent liver fibrosis progression. A rat liver fibrosis model was established by ligating the bile duct, followed by liver-targeted hydrodynamic gene delivery of a MMP13 expression vector, containing a CAG promoter-MMP13-IRES-tdTomato-polyA cassette. After 14 days, the serum level of MMP13 peaked at 71.7 pg/ml in MMP13-treated group, whereas the nontreated group only showed a level of ~5 pg/ml (P < 0.001). These levels were sustained for the next 60 days. The statistically lower level of the hyaluronic acids in treated group versus the nontreated group (P < 0.05) reveals the therapeutic effect of MMP13 overexpression. Quantitative analysis of tissue stained with sirius red showed a statistically larger volume of fibrotic tissue in the nontreated group compared to that of MMP13-treated rats (P < 0.05). These results suggest that the liver-targeted hydrodynamic delivery of MMP13 gene could be effective in the prevention of liver fibrosis.

摘要

肝纤维化是导致肝衰竭和癌症的肝脏疾病的终末阶段。虽然已经建立了多种诊断方法,包括使用血清标志物,但尚未开发出标准疗法。本研究的目的是评估在大鼠肝脏中过表达基质金属蛋白酶-13基因(MMP13)以防止肝纤维化进展的方法。通过结扎胆管建立大鼠肝纤维化模型,随后通过肝脏靶向的流体动力学基因递送含有CAG启动子-MMP13-IRES-tdTomato-多聚腺苷酸盒的MMP13表达载体。14天后,MMP13治疗组的血清MMP13水平在71.7 pg/ml达到峰值,而未治疗组仅显示约5 pg/ml的水平(P <0.001)。这些水平在接下来的60天内持续存在。治疗组与未治疗组相比,透明质酸水平在统计学上较低(P <0.05),这揭示了MMP13过表达的治疗效果。用天狼星红染色的组织的定量分析显示,与MMP13治疗的大鼠相比,未治疗组的纤维化组织体积在统计学上更大(P <0.05)。这些结果表明,MMP13基因的肝脏靶向流体动力学递送可能有效地预防肝纤维化。

https://cdn.ncbi.nlm.nih.gov/pmc/blobs/ea0f/5012547/895e5434c03f/mtna201549f1.jpg

文献AI研究员

20分钟写一篇综述,助力文献阅读效率提升50倍。

立即体验

用中文搜PubMed

大模型驱动的PubMed中文搜索引擎

马上搜索

文档翻译

学术文献翻译模型,支持多种主流文档格式。

立即体验