Suppr超能文献

强直性脊柱炎小鼠模型中炎症驱动的骨形成:连续而非平行过程。

Inflammation-driven bone formation in a mouse model of ankylosing spondylitis: sequential not parallel processes.

作者信息

Tseng Hsu-Wen, Pitt Miranda E, Glant Tibor T, McRae Allan F, Kenna Tony J, Brown Matthew A, Pettit Allison R, Thomas Gethin P

机构信息

The University of Queensland Diamantina Institute, Translational Research Institute, 37 Kent Street, Woolloongabba, QLD, 4102, Australia.

Section of Molecular Medicine, Department of Orthopedic Surgery, Rush University Medical Center, 1735 W. Harrison Street, Cohn Research Building, Chicago, IL, 60612, USA.

出版信息

Arthritis Res Ther. 2016 Jan 29;18:35. doi: 10.1186/s13075-015-0805-0.

Abstract

BACKGROUND

Ankylosing spondylitis (AS) is an immune-mediated arthritis particularly targeting the spine and pelvis and is characterised by inflammation, osteoproliferation and frequently ankylosis. Current treatments that predominately target inflammatory pathways have disappointing efficacy in slowing disease progression. Thus, a better understanding of the causal association and pathological progression from inflammation to bone formation, particularly whether inflammation directly initiates osteoproliferation, is required.

METHODS

The proteoglycan-induced spondylitis (PGISp) mouse model of AS was used to histopathologically map the progressive axial disease events, assess molecular changes during disease progression and define disease progression using unbiased clustering of semi-quantitative histology. PGISp mice were followed over a 24-week time course. Spinal disease was assessed using a novel semi-quantitative histological scoring system that independently evaluated the breadth of pathological features associated with PGISp axial disease, including inflammation, joint destruction and excessive tissue formation (osteoproliferation). Matrix components were identified using immunohistochemistry.

RESULTS

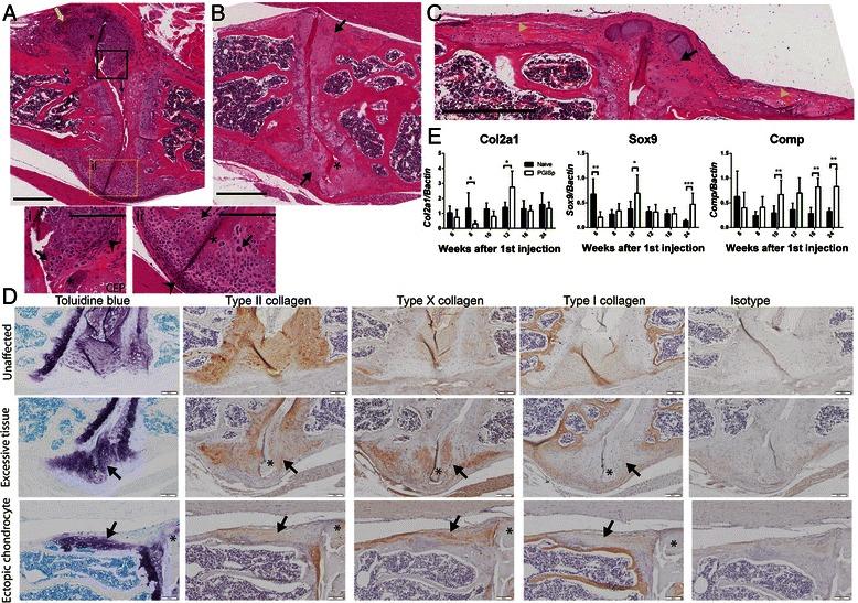
Disease initiated with inflammation at the periphery of the intervertebral disc (IVD) adjacent to the longitudinal ligament, reminiscent of enthesitis, and was associated with upregulated tumor necrosis factor and metalloproteinases. After a lag phase, established inflammation was temporospatially associated with destruction of IVDs, cartilage and bone. At later time points, advanced disease was characterised by substantially reduced inflammation, excessive tissue formation and ectopic chondrocyte expansion. These distinct features differentiated affected mice into early, intermediate and advanced disease stages. Excessive tissue formation was observed in vertebral joints only if the IVD was destroyed as a consequence of the early inflammation. Ectopic excessive tissue was predominantly chondroidal with chondrocyte-like cells embedded within collagen type II- and X-rich matrix. This corresponded with upregulation of mRNA for cartilage markers Col2a1, sox9 and Comp. Osteophytes, though infrequent, were more prevalent in later disease.

CONCLUSIONS

The inflammation-driven IVD destruction was shown to be a prerequisite for axial disease progression to osteoproliferation in the PGISp mouse. Osteoproliferation led to vertebral body deformity and fusion but was never seen concurrent with persistent inflammation, suggesting a sequential process. The findings support that early intervention with anti-inflammatory therapies will be needed to limit destructive processes and consequently prevent progression of AS.

摘要

背景

强直性脊柱炎(AS)是一种免疫介导的关节炎,主要累及脊柱和骨盆,其特征为炎症、骨质增生,且常出现关节强直。目前主要针对炎症途径的治疗方法在减缓疾病进展方面疗效不佳。因此,需要更好地理解从炎症到骨形成的因果关联及病理进展,特别是炎症是否直接引发骨质增生。

方法

采用蛋白聚糖诱导的脊柱炎(PGISp)小鼠模型,通过组织病理学描绘轴向疾病的进展事件,评估疾病进展过程中的分子变化,并使用半定量组织学的无监督聚类来定义疾病进展。对PGISp小鼠进行了为期24周的跟踪观察。使用一种新型的半定量组织学评分系统评估脊柱疾病,该系统独立评估与PGISp轴向疾病相关的病理特征的广度,包括炎症、关节破坏和过度组织形成(骨质增生)。使用免疫组织化学鉴定基质成分。

结果

疾病始于椎间盘(IVD)周边靠近纵韧带处的炎症,类似于附着点炎,并与肿瘤坏死因子和金属蛋白酶的上调有关。经过一个滞后期后,已确立的炎症在时间和空间上与IVD、软骨和骨的破坏相关。在后期时间点,晚期疾病的特征是炎症显著减轻、过度组织形成和异位软骨细胞扩张。这些不同特征将受影响的小鼠分为早期、中期和晚期疾病阶段。仅当IVD因早期炎症而被破坏时,才在椎间关节观察到过度组织形成。异位过度组织主要为软骨样组织,其中嵌入富含II型和X型胶原的基质中的软骨样细胞。这与软骨标记物Col2a1、sox9和Comp的mRNA上调相对应。骨赘虽然不常见,但在疾病后期更为普遍。

结论

在PGISp小鼠中,炎症驱动的IVD破坏被证明是轴向疾病进展为骨质增生的先决条件。骨质增生导致椎体畸形和融合,但从未与持续性炎症同时出现,提示这是一个连续的过程。这些发现支持需要早期使用抗炎疗法进行干预,以限制破坏过程,从而预防AS的进展。

https://cdn.ncbi.nlm.nih.gov/pmc/blobs/d66a/4734853/659675dfc615/13075_2015_805_Fig1_HTML.jpg

文献AI研究员

20分钟写一篇综述,助力文献阅读效率提升50倍。

立即体验

用中文搜PubMed

大模型驱动的PubMed中文搜索引擎

马上搜索

文档翻译

学术文献翻译模型,支持多种主流文档格式。

立即体验