Suppr超能文献

感染HIV-1的人源化小鼠中的肺结核

Pulmonary Tuberculosis in Humanized Mice Infected with HIV-1.

作者信息

Nusbaum Rebecca J, Calderon Veronica E, Huante Matthew B, Sutjita Putri, Vijayakumar Sudhamathi, Lancaster Katrina L, Hunter Robert L, Actor Jeffrey K, Cirillo Jeffrey D, Aronson Judith, Gelman Benjamin B, Lisinicchia Joshua G, Valbuena Gustavo, Endsley Janice J

机构信息

University of Texas Medical Branch, Galveston, TX 77555, USA.

University of Texas El Paso, El Paso, TX 79902, USA.

出版信息

Sci Rep. 2016 Feb 24;6:21522. doi: 10.1038/srep21522.

Abstract

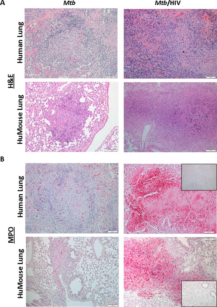
Co-infection with HIV increases the morbidity and mortality associated with tuberculosis due to multiple factors including a poorly understood microbial synergy. We developed a novel small animal model of co-infection in the humanized mouse to investigate how HIV infection disrupts pulmonary containment of Mtb. Following dual infection, HIV-infected cells were localized to sites of Mtb-driven inflammation and mycobacterial replication in the lung. Consistent with disease in human subjects, we observed increased mycobacterial burden, loss of granuloma structure, and increased progression of TB disease, due to HIV co-infection. Importantly, we observed an HIV-dependent pro-inflammatory cytokine signature (IL-1β, IL-6, TNFα, and IL-8), neutrophil accumulation, and greater lung pathology in the Mtb-co-infected lung. These results suggest that in the early stages of acute co-infection in the humanized mouse, infection with HIV exacerbates the pro-inflammatory response to pulmonary Mtb, leading to poorly formed granulomas, more severe lung pathology, and increased mycobacterial burden and dissemination.

摘要

由于包括尚未完全了解的微生物协同作用在内的多种因素,HIV合并感染会增加与结核病相关的发病率和死亡率。我们在人源化小鼠中建立了一种新型的合并感染小动物模型,以研究HIV感染如何破坏对结核分枝杆菌的肺部控制。双重感染后,HIV感染的细胞定位于肺部结核分枝杆菌驱动的炎症和分枝杆菌复制部位。与人类受试者的疾病情况一致,我们观察到由于HIV合并感染,分枝杆菌负荷增加、肉芽肿结构丧失以及结核病进展加快。重要的是,我们在结核分枝杆菌合并感染的肺部观察到了依赖HIV的促炎细胞因子特征(IL-1β、IL-6、TNFα和IL-8)、中性粒细胞积聚以及更严重的肺部病理变化。这些结果表明,在人源化小鼠急性合并感染的早期阶段,HIV感染会加剧对肺部结核分枝杆菌的促炎反应,导致肉芽肿形成不良、更严重的肺部病理变化以及分枝杆菌负荷和播散增加。

https://cdn.ncbi.nlm.nih.gov/pmc/blobs/1b60/4808832/c2a1c87f5d49/srep21522-f1.jpg

文献AI研究员

20分钟写一篇综述,助力文献阅读效率提升50倍。

立即体验

用中文搜PubMed

大模型驱动的PubMed中文搜索引擎

马上搜索

文档翻译

学术文献翻译模型,支持多种主流文档格式。

立即体验