Suppr超能文献

以心肌挽救指数、梗死面积或生化标志物作为终点的临床心脏保护试验中的样本量。

Sample Size in Clinical Cardioprotection Trials Using Myocardial Salvage Index, Infarct Size, or Biochemical Markers as Endpoint.

作者信息

Engblom Henrik, Heiberg Einar, Erlinge David, Jensen Svend Eggert, Nordrehaug Jan Erik, Dubois-Randé Jean-Luc, Halvorsen Sigrun, Hoffmann Pavel, Koul Sasha, Carlsson Marcus, Atar Dan, Arheden Håkan

机构信息

Department of Clinical Sciences Lund, Clinical Physiology, Skane University Hospital, Lund University, Lund, Sweden.

Department of Clinical Sciences Lund, Clinical Physiology, Skane University Hospital, Lund University, Lund, Sweden Department of Biomedical Engineering, Faculty of Engineering, Lund University, Lund, Sweden.

出版信息

J Am Heart Assoc. 2016 Mar 9;5(3):e002708. doi: 10.1161/JAHA.115.002708.

Abstract

BACKGROUND

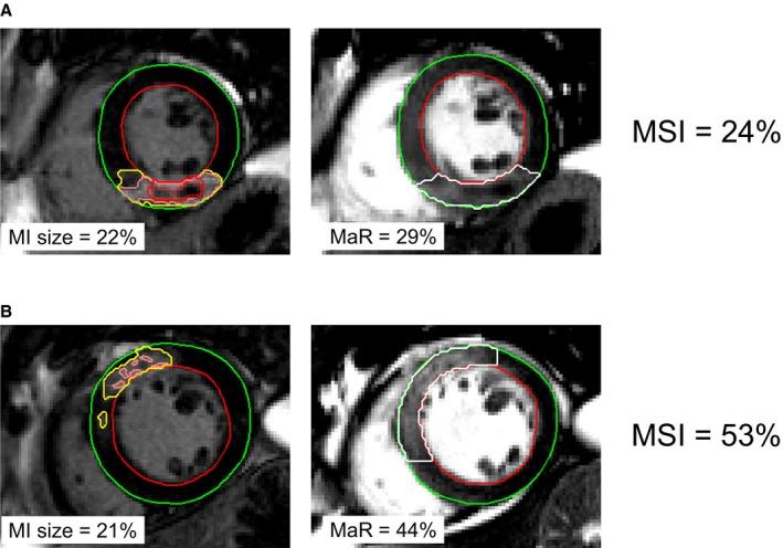
Cardiac magnetic resonance (CMR) can quantify myocardial infarct (MI) size and myocardium at risk (MaR), enabling assessment of myocardial salvage index (MSI). We assessed how MSI impacts the number of patients needed to reach statistical power in relation to MI size alone and levels of biochemical markers in clinical cardioprotection trials and how scan day affect sample size.

METHODS AND RESULTS

Controls (n=90) from the recent CHILL-MI and MITOCARE trials were included. MI size, MaR, and MSI were assessed from CMR. High-sensitivity troponin T (hsTnT) and creatine kinase isoenzyme MB (CKMB) levels were assessed in CHILL-MI patients (n=50). Utilizing distribution of these variables, 100 000 clinical trials were simulated for calculation of sample size required to reach sufficient power. For a treatment effect of 25% decrease in outcome variables, 50 patients were required in each arm using MSI compared to 93, 98, 120, 141, and 143 for MI size alone, hsTnT (area under the curve [AUC] and peak), and CKMB (AUC and peak) in order to reach a power of 90%. If average CMR scan day between treatment and control arms differed by 1 day, sample size needs to be increased by 54% (77 vs 50) to avoid scan day bias masking a treatment effect of 25%.

CONCLUSION

Sample size in cardioprotection trials can be reduced 46% to 65% without compromising statistical power when using MSI by CMR as an outcome variable instead of MI size alone or biochemical markers. It is essential to ensure lack of bias in scan day between treatment and control arms to avoid compromising statistical power.

摘要

背景

心脏磁共振成像(CMR)能够量化心肌梗死(MI)面积和心肌危险区(MaR),从而评估心肌挽救指数(MSI)。我们评估了在临床心脏保护试验中,MSI对仅与MI面积以及生化标志物水平相关的达到统计学效能所需患者数量的影响,以及扫描日期对样本量的影响。

方法与结果

纳入了近期CHILL-MI和MITOCARE试验的对照组(n = 90)。通过CMR评估MI面积、MaR和MSI。对CHILL-MI患者(n = 50)评估高敏肌钙蛋白T(hsTnT)和肌酸激酶同工酶MB(CKMB)水平。利用这些变量的分布,模拟了100000次临床试验以计算达到足够效能所需的样本量。对于结局变量降低25%的治疗效果,使用MSI时每组需要50名患者,而仅使用MI面积、hsTnT(曲线下面积[AUC]和峰值)以及CKMB(AUC和峰值)时分别需要93、98、120、141和143名患者才能达到90%的效能。如果治疗组和对照组之间的平均CMR扫描日期相差1天,则样本量需要增加54%(77名 vs 50名)以避免扫描日期偏差掩盖25%的治疗效果。

结论

在心脏保护试验中,将CMR测量的MSI作为结局变量而非仅使用MI面积或生化标志物时,样本量可减少46%至65%而不影响统计学效能。确保治疗组和对照组之间扫描日期无偏差对于避免影响统计学效能至关重要。

https://cdn.ncbi.nlm.nih.gov/pmc/blobs/41c2/4943247/4da25d2191d0/JAH3-5-e002708-g001.jpg

文献AI研究员

20分钟写一篇综述,助力文献阅读效率提升50倍。

立即体验

用中文搜PubMed

大模型驱动的PubMed中文搜索引擎

马上搜索

文档翻译

学术文献翻译模型,支持多种主流文档格式。

立即体验