Suppr超能文献

心血管健康研究中热量消耗与灰质的纵向关系。

Longitudinal Relationships between Caloric Expenditure and Gray Matter in the Cardiovascular Health Study.

作者信息

Raji Cyrus A, Merrill David A, Eyre Harris, Mallam Sravya, Torosyan Nare, Erickson Kirk I, Lopez Oscar L, Becker James T, Carmichael Owen T, Gach H Michael, Thompson Paul M, Longstreth W T, Kuller Lewis H

机构信息

Department of Radiology, UCLA Medical Center, Los Angeles, CA, USA.

Department of Psychiatry, UCLA Medical Center, Los Angeles, CA, USA.

出版信息

J Alzheimers Dis. 2016;52(2):719-29. doi: 10.3233/JAD-160057.

Abstract

BACKGROUND

Physical activity (PA) can be neuroprotective and reduce the risk for Alzheimer's disease (AD). In assessing physical activity, caloric expenditure is a proxy marker reflecting the sum total of multiple physical activity types conducted by an individual.

OBJECTIVE

To assess caloric expenditure, as a proxy marker of PA, as a predictive measure of gray matter (GM) volumes in the normal and cognitively impaired elderly persons.

METHODS

All subjects in this study were recruited from the Institutional Review Board approved Cardiovascular Health Study (CHS), a multisite population-based longitudinal study in persons aged 65 and older. We analyzed a sub-sample of CHS participants 876 subjects (mean age 78.3, 57.5% F, 42.5% M) who had i) energy output assessed as kilocalories (kcal) per week using the standardized Minnesota Leisure-Time Activities questionnaire, ii) cognitive assessments for clinical classification of normal cognition, mild cognitive impairment (MCI), and AD, and iii) volumetric MR imaging of the brain. Voxel-based morphometry modeled the relationship between kcal/week and GM volumes while accounting for standard covariates including head size, age, sex, white matter hyperintensity lesions, MCI or AD status, and site. Multiple comparisons were controlled using a False Discovery Rate of 5 percent.

RESULTS

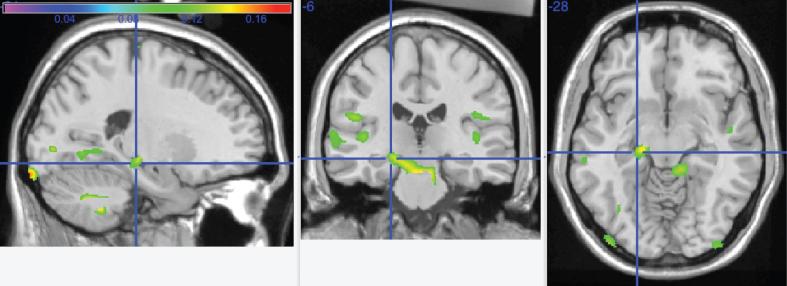
Higher energy output, from a variety of physical activity types, was associated with larger GM volumes in frontal, temporal, and parietal lobes, as well as hippocampus, thalamus, and basal ganglia. High levels of caloric expenditure moderated neurodegeneration-associated volume loss in the precuneus, posterior cingulate, and cerebellar vermis.

CONCLUSION

Increasing energy output from a variety of physical activities is related to larger gray matter volumes in the elderly, regardless of cognitive status.

摘要

背景

身体活动(PA)具有神经保护作用,可降低患阿尔茨海默病(AD)的风险。在评估身体活动时,热量消耗是一个替代指标,反映了个体进行的多种身体活动类型的总和。

目的

评估热量消耗作为PA的替代指标,作为正常和认知受损老年人脑灰质(GM)体积的预测指标。

方法

本研究的所有受试者均来自机构审查委员会批准的心血管健康研究(CHS),这是一项针对65岁及以上人群的多地点基于人群的纵向研究。我们分析了CHS参与者的一个子样本,共876名受试者(平均年龄78.3岁,女性占57.5%,男性占42.5%),他们进行了以下三项测试:i)使用标准化的明尼苏达休闲时间活动问卷评估每周以千卡(kcal)为单位的能量输出;ii)进行认知评估以对正常认知、轻度认知障碍(MCI)和AD进行临床分类;iii)进行脑部容积磁共振成像。基于体素的形态计量学在考虑包括头部大小、年龄、性别、白质高信号病变、MCI或AD状态以及研究地点等标准协变量的情况下,对每周千卡数与GM体积之间的关系进行建模。使用5%的错误发现率控制多重比较。

结果

来自各种身体活动类型的较高能量输出与额叶、颞叶、顶叶以及海马体、丘脑和基底神经节中较大的GM体积相关。高热量消耗水平减轻了楔前叶、后扣带回和小脑蚓部与神经退行性变相关的体积损失。

结论

无论认知状态如何,增加各种身体活动的能量输出与老年人较大的脑灰质体积有关。

https://cdn.ncbi.nlm.nih.gov/pmc/blobs/224b/4927887/42792941d66b/jad-52-jad160057-g001.jpg

文献AI研究员

20分钟写一篇综述,助力文献阅读效率提升50倍。

立即体验

用中文搜PubMed

大模型驱动的PubMed中文搜索引擎

马上搜索

文档翻译

学术文献翻译模型,支持多种主流文档格式。

立即体验