Suppr超能文献

新型渗透素通过AdipoR1/AMPK/SIRT1途径抑制SREBP2,以改善阿尔茨海默病神经病理缺陷。

Novel osmotin inhibits SREBP2 via the AdipoR1/AMPK/SIRT1 pathway to improve Alzheimer's disease neuropathological deficits.

作者信息

Shah S A, Yoon G H, Chung S S, Abid M N, Kim T H, Lee H Y, Kim M O

机构信息

Division of Life Science and Applied Life Science (BK21 Plus), College of Natural Sciences, Gyeongsang National University, Jinju, Republic of Korea.

Department of Physiology, College of Medicine, Yonsei University, Seoul, Republic of Korea.

出版信息

Mol Psychiatry. 2017 Mar;22(3):407-416. doi: 10.1038/mp.2016.23. Epub 2016 Mar 22.

Abstract

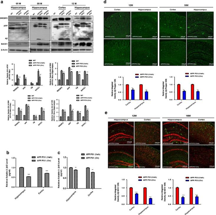
Extensive evidence has indicated that a high rate of cholesterol biogenesis and abnormal neuronal energy metabolism play key roles in Alzheimer's disease (AD) pathogenesis. Here, for we believe the first time, we used osmotin, a plant protein homolog of mammalian adiponectin, to determine its therapeutic efficacy in different AD models. Our results reveal that osmotin treatment modulated adiponectin receptor 1 (AdipoR1), significantly induced AMP-activated protein kinase (AMPK)/Sirtuin 1 (SIRT1) activation and reduced SREBP2 (sterol regulatory element-binding protein 2) expression in both in vitro and in vivo AD models and in Adipo mice. Via the AdipoR1/AMPK/SIRT1/SREBP2 signaling pathway, osmotin significantly diminished amyloidogenic Aβ production, abundance and aggregation, accompanied by improved pre- and post-synaptic dysfunction, cognitive impairment, memory deficits and, most importantly, reversed the suppression of long-term potentiation in AD mice. Interestingly, AdipoR1, AMPK and SIRT1 silencing not only abolished osmotin capability but also further enhanced AD pathology by increasing SREBP2, amyloid precursor protein (APP) and β-secretase (BACE1) expression and the levels of toxic Aβ production. However, the opposite was true for SREBP2 when silenced using small interfering RNA in APPswe/ind-transfected SH-SY5Y cells. Similarly, osmotin treatment also enhanced the non-amyloidogenic pathway by activating the α-secretase gene that is, ADAM10, in an AMPK/SIRT1-dependent manner. These results suggest that osmotin or osmotin-based therapeutic agents might be potential candidates for AD treatment.

摘要

大量证据表明,胆固醇生物合成率高和神经元能量代谢异常在阿尔茨海默病(AD)发病机制中起关键作用。在此,据我们所知首次使用了渗透蛋白(一种与哺乳动物脂联素同源的植物蛋白)来确定其在不同AD模型中的治疗效果。我们的结果显示,在体外和体内AD模型以及脂联素基因敲除小鼠中,渗透蛋白处理可调节脂联素受体1(AdipoR1),显著诱导AMP激活的蛋白激酶(AMPK)/沉默调节蛋白1(SIRT1)激活,并降低固醇调节元件结合蛋白2(SREBP2)的表达。通过AdipoR1/AMPK/SIRT1/SREBP2信号通路,渗透蛋白显著减少淀粉样蛋白Aβ的产生、丰度和聚集,同时改善突触前和突触后功能障碍、认知障碍、记忆缺陷,最重要的是,逆转AD小鼠中长时程增强的抑制。有趣的是,沉默AdipoR1、AMPK和SIRT1不仅消除了渗透蛋白的作用,还通过增加SREBP2、淀粉样前体蛋白(APP)和β-分泌酶(BACE1)的表达以及有毒Aβ产生水平进一步加重AD病理。然而,在APPswe/ind转染的SH-SY5Y细胞中使用小干扰RNA沉默SREBP2时情况则相反。同样,渗透蛋白处理还以AMPK/SIRT1依赖的方式激活α-分泌酶基因(即ADAM10),从而增强非淀粉样蛋白生成途径。这些结果表明,渗透蛋白或基于渗透蛋白的治疗药物可能是AD治疗的潜在候选药物。

https://cdn.ncbi.nlm.nih.gov/pmc/blobs/69f0/5322276/692a4d4c0ae6/mp201623f1.jpg

文献AI研究员

20分钟写一篇综述,助力文献阅读效率提升50倍。

立即体验

用中文搜PubMed

大模型驱动的PubMed中文搜索引擎

马上搜索

文档翻译

学术文献翻译模型,支持多种主流文档格式。

立即体验