Suppr超能文献

靶向雌激素/雌激素受体α可增强卡介苗在膀胱癌中的疗效。

Targeting estrogen/estrogen receptor alpha enhances Bacillus Calmette-Guérin efficacy in bladder cancer.

作者信息

Shang Zhiqun, Li Yanjun, Hsu Iawen, Zhang Minghao, Tian Jing, Wen Simeng, Han Ruifa, Messing Edward M, Chang Chawnshang, Niu Yuanjie, Yeh Shuyuan

机构信息

Chawnshang Chang Sex Hormone Research Center, Tianjin Institute of Urology, The 2nd Hospital of Tianjin Medical University, Tianjin, China.

George Whipple Lab for Cancer Research, Departments of Urology, Pathology and the Cancer Center, University of Rochester, Rochester, New York, United States of America.

出版信息

Oncotarget. 2016 May 10;7(19):27325-35. doi: 10.18632/oncotarget.8756.

Abstract

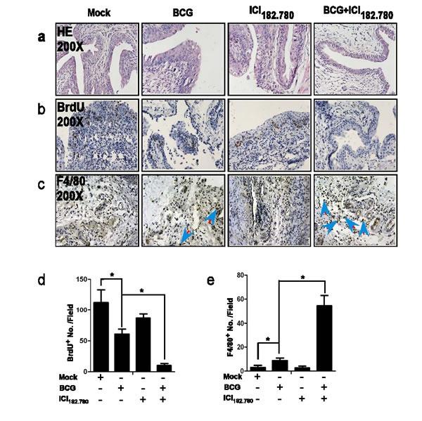
Recent studies showed the potential linkage of estrogen/estrogen receptor signaling with bladder tumorigenesis, yet detailed mechanisms remain elusive. Here we found a new potential therapy with the combination of Bacillus Calmette-Guerin (BCG) and the anti-estrogen ICI 182,780 led to better suppression of bladder cancer (BCa) than BCG alone. Mechanism dissection found ICI 182,780 could promote BCG attachment/internalization to the BCa cells through increased integrin-α5β1 expression and IL-6 release, which may enhance BCG-induced suppression of BCa cell growth via recruiting more monocytes/macrophages to BCa cells and increased TNF-α release. Consistently, in vivo studies found ICI 182,780 could potentiate the anti-BCa effects of BCG in the carcinogen-induced mouse BCa models. Together, these in vitro and in vivo results suggest that combining BCG with anti-estrogen may become a new therapeutic approach with better efficacy to suppress BCa progression and recurrence.

摘要

近期研究表明雌激素/雌激素受体信号传导与膀胱肿瘤发生之间存在潜在联系,但具体机制仍不清楚。在此,我们发现卡介苗(BCG)与抗雌激素ICI 182,780联合使用作为一种新的潜在疗法,对膀胱癌(BCa)的抑制作用比单独使用BCG更好。机制剖析发现,ICI 182,780可通过增加整合素-α5β1表达和白细胞介素-6释放,促进BCG对BCa细胞的附着/内化,这可能通过招募更多单核细胞/巨噬细胞至BCa细胞并增加肿瘤坏死因子-α释放,从而增强BCG诱导的对BCa细胞生长的抑制作用。同样,体内研究发现,在致癌物诱导的小鼠BCa模型中,ICI 182,780可增强BCG的抗BCa作用。总之,这些体外和体内研究结果表明,BCG与抗雌激素联合使用可能成为一种新的治疗方法,能更有效地抑制BCa进展和复发。

https://cdn.ncbi.nlm.nih.gov/pmc/blobs/b02b/5053653/69b3ec9b437b/oncotarget-07-27325-g001.jpg

文献AI研究员

20分钟写一篇综述,助力文献阅读效率提升50倍。

立即体验

用中文搜PubMed

大模型驱动的PubMed中文搜索引擎

马上搜索

文档翻译

学术文献翻译模型,支持多种主流文档格式。

立即体验