Suppr超能文献

经气管内注入大鼠肺部的多壁碳纳米管可诱发胸膜恶性间皮瘤和肺部肿瘤的发生。

Multiwalled carbon nanotubes intratracheally instilled into the rat lung induce development of pleural malignant mesothelioma and lung tumors.

作者信息

Suzui Masumi, Futakuchi Mitsuru, Fukamachi Katsumi, Numano Takamasa, Abdelgied Mohamed, Takahashi Satoru, Ohnishi Makoto, Omori Toyonori, Tsuruoka Shuji, Hirose Akihiko, Kanno Jun, Sakamoto Yoshimitsu, Alexander David B, Alexander William T, Jiegou Xu, Tsuda Hiroyuki

机构信息

Department of Molecular Toxicology, Nagoya City University Graduate School of Medical Sciences, Nagoya, Japan.

Department of Experimental Pathology and Tumor Biology, Nagoya City University Graduate School of Medical Sciences, Nagoya, Japan.

出版信息

Cancer Sci. 2016 Jul;107(7):924-35. doi: 10.1111/cas.12954. Epub 2016 Jun 23.

Abstract

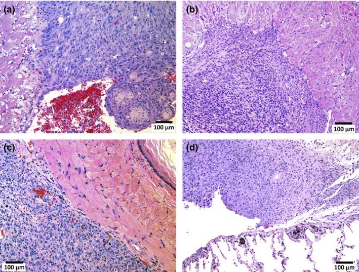
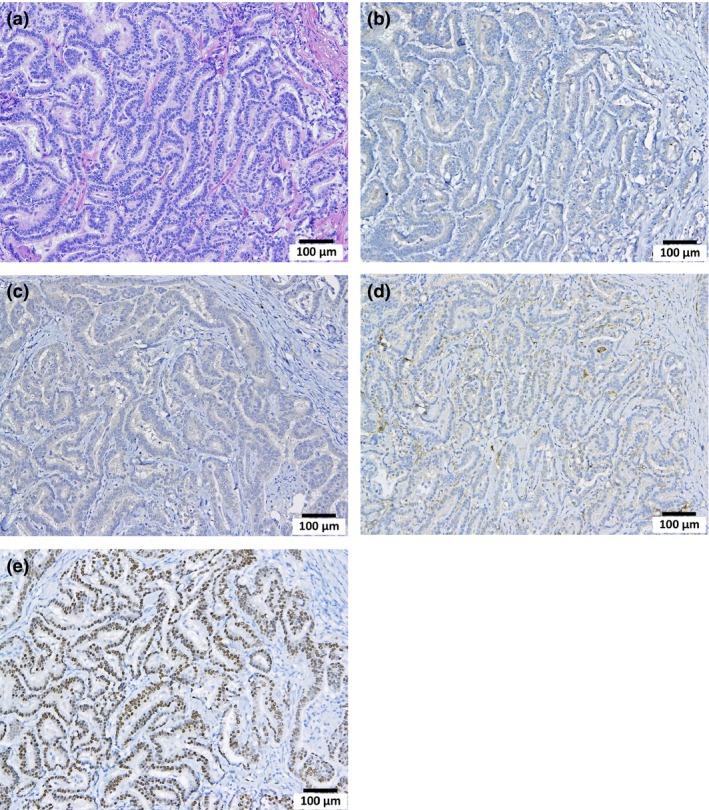
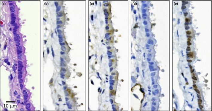
Multiwalled carbon nanotubes (MWCNT) have a fibrous structure and physical properties similar to asbestos and have been shown to induce malignant mesothelioma of the peritoneum after injection into the scrotum or peritoneal cavity in rats and mice. For human cancer risk assessment, however, data after administration of MWCNT via the airway, the exposure route that is most relevant to humans, is required. The present study was undertaken to investigate the carcinogenicity of MWCNT-N (NIKKISO) after administration to the rat lung. MWCNT-N was fractionated by passing it through a sieve with a pore size of 25 μm. The average lengths of the MWCNT were 4.2 μm before filtration and 2.6 μm in the flow-through fraction; the length of the retained MWCNT could not be determined. For the present study, 10-week-old F344/Crj male rats were divided into five groups: no treatment, vehicle control, MWCNT-N before filtration, MWCNT-N flow-through and MWCNT-N retained groups. Administration was by the trans-tracheal intrapulmonary spraying (TIPS) method. Rats were administered a total of 1 mg/rat during the initial 2 weeks of the experiment and then observed up to 109 weeks. The incidences of malignant mesothelioma and lung tumors (bronchiolo-alveolar adenomas and carcinomas) were 6/38 and 14/38, respectively, in the three groups administered MWCNT and 0/28 and 0/28, respectively, in the control groups. All malignant mesotheliomas were localized in the pericardial pleural cavity. The sieve fractions did not have a significant effect on tumor incidence. In conclusion, administration of MWCNT to the lung in the rat induces malignant mesothelioma and lung tumors.

摘要

多壁碳纳米管(MWCNT)具有纤维状结构,其物理性质与石棉相似,并且已证明在大鼠和小鼠的阴囊或腹腔内注射后可诱发腹膜恶性间皮瘤。然而,对于人类癌症风险评估而言,需要通过气道给药(这是与人类最相关的暴露途径)后的数据。本研究旨在调查MWCNT-N(日东纺绩株式会社)经大鼠肺部给药后的致癌性。MWCNT-N通过孔径为25μm的筛网进行分级分离。过滤前MWCNT的平均长度为4.2μm,流通部分的平均长度为2.6μm;截留的MWCNT的长度无法确定。在本研究中,将10周龄的F344/Crj雄性大鼠分为五组:未处理组、赋形剂对照组、过滤前MWCNT-N组、MWCNT-N流通组和MWCNT-N截留组。给药采用经气管肺内喷雾(TIPS)法。在实验的最初2周内,大鼠总共接受1mg/只的给药,然后观察长达109周。在接受MWCNT给药的三组中,恶性间皮瘤和肺肿瘤(细支气管肺泡腺瘤和癌)的发生率分别为6/38和14/38,而在对照组中分别为0/28和0/28。所有恶性间皮瘤均局限于心包胸膜腔。筛网分级对肿瘤发生率没有显著影响。总之,给大鼠肺部施用MWCNT会诱发恶性间皮瘤和肺肿瘤。

https://cdn.ncbi.nlm.nih.gov/pmc/blobs/db65/4946724/6bd9778f7953/CAS-107-0924-g001.jpg

文献AI研究员

20分钟写一篇综述,助力文献阅读效率提升50倍。

立即体验

用中文搜PubMed

大模型驱动的PubMed中文搜索引擎

马上搜索

文档翻译

学术文献翻译模型,支持多种主流文档格式。

立即体验