Suppr超能文献

装载去甲斑蝥素二酸代谢物的叶酸受体靶向脂质体增强了对H22肝癌细胞的体内外抗肿瘤效力。

Folate receptor-targeted liposomes loaded with a diacid metabolite of norcantharidin enhance antitumor potency for H22 hepatocellular carcinoma both in vitro and in vivo.

作者信息

Liu Min-Chen, Liu Lin, Wang Xia-Rong, Shuai Wu-Ping, Hu Ying, Han Min, Gao Jian-Qing

机构信息

Institute of Pharmaceutics, College of Pharmaceutical Sciences, Zhejiang University, Hangzhou, People's Republic of China.

First Affiliated Hospital, College of Medicine, Zhejiang University, Hangzhou, People's Republic of China.

出版信息

Int J Nanomedicine. 2016 Apr 4;11:1395-412. doi: 10.2147/IJN.S96862. eCollection 2016.

Abstract

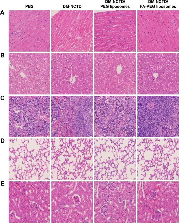
The diacid metabolite of norcantharidin (DM-NCTD) is clinically effective against hepatocellular carcinoma (HCC), but is limited by its short half-life and high incidence of adverse effects at high doses. We developed a DM-NCTD-loaded, folic acid (FA)-modified, polyethylene glycolated (DM-NCTD/FA-PEG) liposome system to enhance the targeting effect and antitumor potency for HCC at a moderate dose based on our previous study. The DM-NCTD/FA-PEG liposome system produced liposomes with regular spherical morphology, with mean particle size approximately 200 nm, and an encapsulation efficiency >80%. MTT cytotoxicity assays demonstrated that the DM-NCTD/FA-PEG liposomes showed significantly stronger cytotoxicity effects on the H22 hepatoma cell line than did PEG liposomes without the FA modification (P<0.01). We used liquid chromatography-mass spectrometry for determination of DM-NCTD in tissues and tumors, and found it to be sensitive, rapid, and reliable. In addition, the biodistribution study showed that DM-NCTD liposomes improved tumor-targeting efficiency, and DM-NCTD/FA-PEG liposomes exhibited the highest efficiency of the treatments (P<0.01). Meanwhile, the results indicated that although the active liposome group had an apparently increased tumor-targeting efficiency of DM-NCTD, the risk to the kidney was higher than in the normal liposome group. With regard to in vivo antitumor activity, DM-NCTD/FA-PEG liposomes inhibited tumors in H22 tumor-bearing mice better than either free DM-NCTD or DM-NCTD/PEG liposomes (P<0.01), and induced considerably more significant cellular apoptosis in the tumors, with no obvious toxicity to the tissues of model mice or the liver tissue of normal mice, as shown by histopathological examination. All these results demonstrate that DM-NCTD-loaded FA-modified liposomes might have potential application for HCC-targeting therapy.

摘要

去甲斑蝥素的二酸代谢产物(DM-NCTD)对肝细胞癌(HCC)具有临床疗效,但受其半衰期短以及高剂量时不良反应发生率高的限制。基于我们之前的研究,我们开发了一种负载DM-NCTD、叶酸(FA)修饰的聚乙二醇化(DM-NCTD/FA-PEG)脂质体系统,以在中等剂量下增强对HCC的靶向作用和抗肿瘤效力。DM-NCTD/FA-PEG脂质体系统制备出的脂质体具有规则的球形形态,平均粒径约为200 nm,包封率>80%。MTT细胞毒性试验表明,DM-NCTD/FA-PEG脂质体对H22肝癌细胞系的细胞毒性作用明显强于未进行FA修饰的PEG脂质体(P<0.01)。我们采用液相色谱-质谱法测定组织和肿瘤中的DM-NCTD,发现其灵敏、快速且可靠。此外,生物分布研究表明,DM-NCTD脂质体提高了肿瘤靶向效率,而DM-NCTD/FA-PEG脂质体表现出最高的治疗效率(P<0.01)。同时,结果表明,尽管活性脂质体组DM-NCTD的肿瘤靶向效率明显提高,但对肾脏的风险高于正常脂质体组。关于体内抗肿瘤活性,DM-NCTD/FA-PEG脂质体对H22荷瘤小鼠肿瘤的抑制作用优于游离DM-NCTD或DM-NCTD/PEG脂质体(P<0.01),并在肿瘤中诱导了更显著的细胞凋亡,组织病理学检查显示对模型小鼠组织或正常小鼠肝脏组织无明显毒性。所有这些结果表明,负载DM-NCTD的FA修饰脂质体可能在HCC靶向治疗中具有潜在应用价值。

https://cdn.ncbi.nlm.nih.gov/pmc/blobs/d7f5/4831591/08595c986294/ijn-11-1395Fig1.jpg

文献AI研究员

20分钟写一篇综述,助力文献阅读效率提升50倍。

立即体验

用中文搜PubMed

大模型驱动的PubMed中文搜索引擎

马上搜索

文档翻译

学术文献翻译模型,支持多种主流文档格式。

立即体验