Suppr超能文献

英夫利昔单抗通过对缺血性肝组织的作用对层粘连蛋白、核因子κB和抗TNF表达的影响

The Effects of Infliximab on Laminin, NFκB, and Anti-TNF Expression through Its Effect on Ischemic Liver Tissue.

作者信息

Akdogan Remzi Adnan, Kalkan Yildiray, Tümkaya Levent, Rakici Halil, Akdogan Elif

机构信息

School of Medicine, Department of Gastroenterology, Recep Tayyip Erdoğan University, 53100 Rize, Turkey.

School of Medicine, Department of Embriology and Histology, Recep Tayyip Erdoğan University, 53100 Rize, Turkey.

出版信息

Gastroenterol Res Pract. 2016;2016:1738430. doi: 10.1155/2016/1738430. Epub 2016 Apr 7.

Abstract

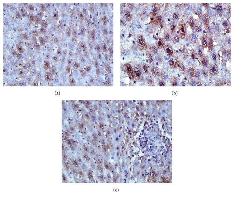
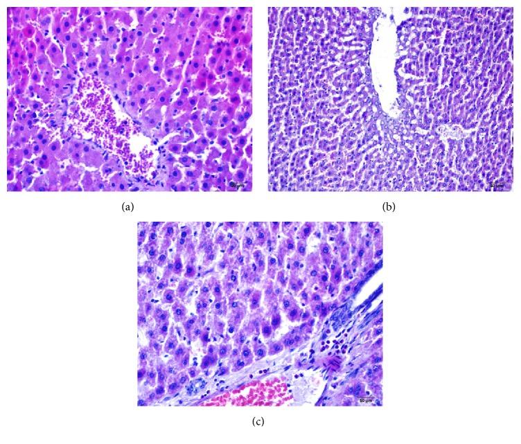
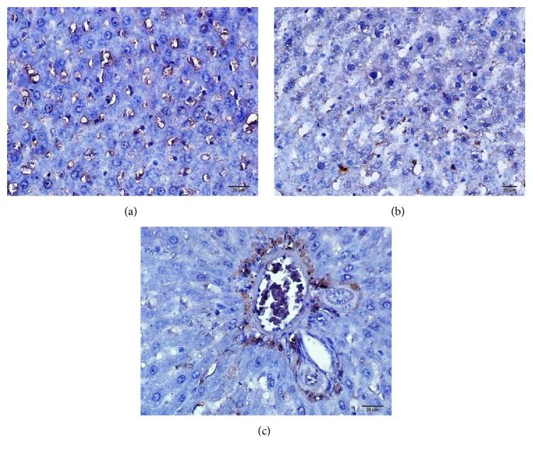
The aim of this study was to investigate the possible protective effects of infliximab on expression of laminin, anti-TNF, and NFκB in the rat hepatic cells after ischemia/reperfusion (I/R). A total of 30 male Wistar albino rats were divided into three groups: Control (C), sham I/R (ISC), and I/R+ infliximab (ISC inf); each group comprised 10 animals. C group animals underwent laparotomy without I/R injury. In ISC groups after undergoing laparotomy, 1 hour of superior mesenteric artery ligation was done, which was followed by 1 hour of reperfusion. In the ISC inf group, 3 days before I/R, infliximab (3 mg/kg) was administered intravenously. All animals were killed at the end of reperfusion and hepatic tissue samples were obtained for histopathological and histochemical investigations in all groups. Laminin, anti-TNF, and NFκB immunoreactivity were performed for all groups. ISC caused severe histopathological injury including mucosal erosions, inflammatory cell infiltration, necrosis, hemorrhage, and villous congestion. Infliximab treatment significantly attenuated the severity of intestinal I/R injury and it is shown by laminin, anti-TNF, and NFκB immunoreactivity. Because of its anti-inflammatory and antioxidant effects, infliximab pretreatment may have protective effects on hepatic cells in the experimental intestinal I/R model of rats.

摘要

本研究旨在探讨英夫利昔单抗对大鼠肝细胞缺血/再灌注(I/R)后层粘连蛋白、抗TNF和NFκB表达的可能保护作用。总共30只雄性Wistar白化大鼠被分为三组:对照组(C)、假缺血/再灌注组(ISC)和缺血/再灌注+英夫利昔单抗组(ISC inf);每组包含10只动物。C组动物接受开腹手术但无缺血/再灌注损伤。在ISC组开腹后,进行1小时的肠系膜上动脉结扎,随后进行1小时的再灌注。在ISC inf组,在缺血/再灌注前3天静脉注射英夫利昔单抗(3mg/kg)。所有动物在再灌注结束时处死,获取所有组的肝组织样本进行组织病理学和组织化学研究。对所有组进行层粘连蛋白、抗TNF和NFκB免疫反应性检测。缺血/再灌注导致严重的组织病理学损伤,包括黏膜糜烂、炎性细胞浸润、坏死、出血和绒毛充血。英夫利昔单抗治疗显著减轻了肠道缺血/再灌注损伤的严重程度,层粘连蛋白、抗TNF和NFκB免疫反应性显示了这一点。由于其抗炎和抗氧化作用,英夫利昔单抗预处理可能对大鼠实验性肠道缺血/再灌注模型中的肝细胞具有保护作用。

https://cdn.ncbi.nlm.nih.gov/pmc/blobs/be7f/4838787/8099c0cdc5f4/GRP2016-1738430.001.jpg

文献AI研究员

20分钟写一篇综述,助力文献阅读效率提升50倍。

立即体验

用中文搜PubMed

大模型驱动的PubMed中文搜索引擎

马上搜索

文档翻译

学术文献翻译模型,支持多种主流文档格式。

立即体验