Suppr超能文献

阿九酸在博来霉素诱导的肺纤维化形成阶段发挥强大的抗纤维化作用。

Ajulemic acid exerts potent anti-fibrotic effect during the fibrogenic phase of bleomycin lung.

作者信息

Lucattelli Monica, Fineschi Silvia, Selvi Enrico, Garcia Gonzalez Estrella, Bartalesi Barbara, De Cunto Giovanna, Lorenzini Sauro, Galeazzi Mauro, Lungarella Giuseppe

机构信息

Department of Molecular and Developmental Medicine, University of Siena, Siena, Via Aldo Moro 2, 53100, Siena, Italy.

and Rheumatology Unit, University of Siena, Siena, Italy.

出版信息

Respir Res. 2016 May 6;17(1):49. doi: 10.1186/s12931-016-0373-0.

Abstract

BACKGROUND

Ajulemic acid (AjA) is a synthetic analogue of tetrahydrocannabinol that can prevent and limit progression of skin fibrosis in experimental systemic sclerosis. In this study we investigated whether AjA also prevents and modulates lung fibrosis induced by bleomycin (BLM) when administered in mice during the inflammatory or the fibrogenic phase of the model.

METHODS

The anti-inflammatory and antifibrotic efficacy of AjA was evaluated in DBA/2 mice treated orally once a day starting either at day 0 (preventive treatment) or at day 8 (therapeutic treatment) after a single intratracheal instillation of BLM. AjA was given at a dose of 1 mg/kg or 5 mg/kg. Mice were sacrificed at day 8, 14 and 21 after BLM and lungs were processed for histology and morphometry, and examined for HO-proline content and for the expression of transforming growth factor beta 1 (TGF-β1), phosphorylated Smad2/3 (pSMAD2/3), connective tissue growth factor (CTGF), alpha-smooth muscle actin (α-SMA) and peroxisome proliferator-activated receptor-gamma (PPAR-γ).

RESULTS

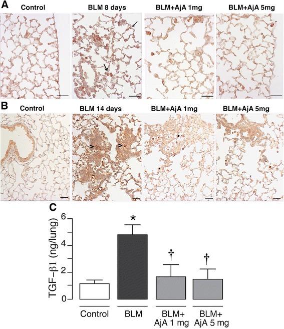
In the 1st week after BLM challenge, an acute inflammation characterized by neutrophil and macrophage accumulation was the main change present in lung parenchyma. The "switch" between inflammation and fibrosis occurs between day 8 and 14 after BLM instillation and involves the bronchi and vasculature. In the subsequent week (at day 21 after BLM instillation) bronchiolocentric fibrosis with significant increase of tissue collagen develops. The fibrotic response evaluated by morphometry and quantified as HO-proline in lung tissue at day 21 after BLM treatment was significantly reduced in mice receiving either AjA in the inflammatory or in early fibrogenic phase. AjA induces marked change in the expression pattern of products implicated in fibrogenesis, such as TGF-β1, pSMAD2/3, CTGF and α-SMA. In addition, AjA increases significantly the number of PPAR-γ positive cells and its nuclear localization.

CONCLUSIONS

AjA treatment, starting either at day 0 or at day 8 after BLM challenge, counteracts the progression of pulmonary fibrosis. The anti-fibrotic effectiveness of AjA is irrespective of timing of compound administration. Further clinical studies are necessary to establish whether AjA may represent a new therapeutic option for treating fibrotic lung diseases.

摘要

背景

阿九酸(AjA)是四氢大麻酚的一种合成类似物,可预防和限制实验性系统性硬化症中皮肤纤维化的进展。在本研究中,我们调查了在模型的炎症期或纤维化期给小鼠施用AjA时,它是否也能预防和调节博来霉素(BLM)诱导的肺纤维化。

方法

在单次气管内注入BLM后,从第0天(预防性治疗)或第8天(治疗性治疗)开始,对DBA/2小鼠进行每日一次口服给药,评估AjA的抗炎和抗纤维化功效。AjA的给药剂量为1mg/kg或5mg/kg。在BLM处理后的第8天、14天和21天处死小鼠,对肺组织进行组织学和形态计量学分析,并检测羟脯氨酸含量以及转化生长因子β1(TGF-β1)、磷酸化Smad2/3(pSMAD2/3)、结缔组织生长因子(CTGF)、α平滑肌肌动蛋白(α-SMA)和过氧化物酶体增殖物激活受体γ(PPAR-γ)的表达。

结果

在BLM攻击后的第1周,以中性粒细胞和巨噬细胞积聚为特征的急性炎症是肺实质中的主要变化。炎症和纤维化之间的“转换”发生在BLM注入后的第8天至14天之间,涉及支气管和脉管系统。在随后的一周(BLM注入后第21天),以支气管为中心的纤维化出现,组织胶原蛋白显著增加。在BLM治疗后第21天,通过形态计量学评估并定量为肺组织中羟脯氨酸的纤维化反应,在炎症期或早期纤维化期接受AjA治疗的小鼠中显著降低。AjA诱导了与纤维化相关产物的表达模式发生显著变化,如TGF-β1、pSMAD2/3、CTGF和α-SMA。此外,AjA显著增加了PPAR-γ阳性细胞的数量及其核定位。

结论

在BLM攻击后的第0天或第8天开始进行AjA治疗,可对抗肺纤维化的进展。AjA的抗纤维化效果与化合物给药时间无关。需要进一步的临床研究来确定AjA是否可能成为治疗纤维化肺病的一种新的治疗选择。

https://cdn.ncbi.nlm.nih.gov/pmc/blobs/4c3e/4859981/d4fe2d6b7b01/12931_2016_373_Fig1_HTML.jpg

文献AI研究员

20分钟写一篇综述,助力文献阅读效率提升50倍。

立即体验

用中文搜PubMed

大模型驱动的PubMed中文搜索引擎

马上搜索

文档翻译

学术文献翻译模型,支持多种主流文档格式。

立即体验