Suppr超能文献

程序性死亡受体配体1(PD-L1)表达与乳腺癌肿瘤中叉头框蛋白P3(FOXP3)阳性调节性T细胞浸润及患者预后不良相关。

PD-L1 Expression Is Associated with Tumor FOXP3(+) Regulatory T-Cell Infiltration of Breast Cancer and Poor Prognosis of Patient.

作者信息

Li Zhenhua, Dong Pengzhi, Ren Meijing, Song Yawen, Qian Xiaolong, Yang Yiling, Li Shuai, Zhang Xinmin, Liu Fangfang

机构信息

1. Department of Breast Pathology and Research Laboratory, Key Laboratory of Breast Cancer Prevention and Therapy (Ministry of Education), National Clinical Research Center for Cancer, Tianjin Medical University Cancer Institute and Hospital, Tianjin 300060, China.

2. Tianjin State Key Laboratory of Modern Chinese Medicine, Tianjin University of Traditional Chinese Medicine, Tianjin 300193, China.

出版信息

J Cancer. 2016 Apr 10;7(7):784-93. doi: 10.7150/jca.14549. eCollection 2016.

Abstract

BACKGROUND

Expression of PD-L1 has been estimated to predict the therapeutic potential of PD-L1 inhibition in solid tumors. Recent studies have demonstrated that PD-L1 plays a critical role in regulatory T-cell (Treg) development and functional maintenance. Although increases in FOXP3(+)Treg infiltration and PD-L1 expression have been revealed in several malignancies, their correlation in human breast tumors is as yet unclear.

METHODS

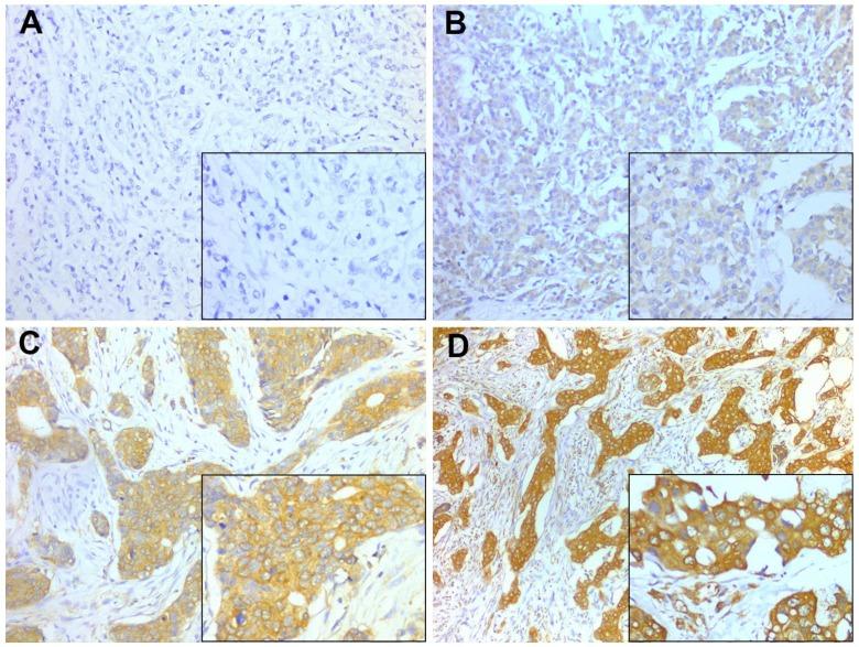
Whole-tissue sections from 501 patients with breast cancer were examined for PD-L1 and FOXP3 expression by immunohistochemistry. Correlation between their expressions and the association with clinicopathological features, intrinsic tumor subtypes and patient's prognosis were studied.

RESULTS

PD-L1 expression and FOXP3(+)Treg infiltrates in tumor tissue demonstrated a high correlation (rs =0.334, p<0.001) in this cohort of breast cancer patients. High PD-L1 expression and increased FOXP3(+)Treg infiltrates were both associated with high histological grade, negative ER and PR status, and aggressive intrinsic tumor subtypes, especially the basal-like subtype. Tumors with concomitant high expressions of the two markers had the worst prognosis. Multivariate analysis proved both markers to be the independent predictors for decreased overall survival of patients, particularly in the basal-like subtype.

CONCLUSIONS

The results suggest that PD-L1 and FOXP3(+)Tregs may work synergistically and their up-regulated expressions promote tumor immune evasion in breast cancer. Combinatorial immunotherapeutic approaches aiming on blocking PD-L1 and depleting Tregs might improve therapeutic efficacy in breast cancer patients, especially those with basal-like carcinoma.

摘要

背景

据估计,程序性死亡受体配体1(PD-L1)的表达可预测实体瘤中PD-L1抑制的治疗潜力。最近的研究表明,PD-L1在调节性T细胞(Treg)的发育和功能维持中起关键作用。尽管在几种恶性肿瘤中已发现叉头框蛋白3(FOXP3)阳性Treg浸润增加和PD-L1表达增加,但它们在人类乳腺肿瘤中的相关性尚不清楚。

方法

采用免疫组织化学法检测501例乳腺癌患者全组织切片中PD-L1和FOXP3的表达。研究它们的表达之间的相关性以及与临床病理特征、肿瘤内在亚型和患者预后的关系。

结果

在该队列乳腺癌患者中,肿瘤组织中的PD-L1表达与FOXP3阳性Treg浸润呈高度相关(rs=0.334,p<0.001)。高PD-L1表达和增加的FOXP3阳性Treg浸润均与高组织学分级、雌激素受体(ER)和孕激素受体(PR)阴性状态以及侵袭性肿瘤内在亚型相关,尤其是基底样亚型。两种标志物同时高表达的肿瘤预后最差。多变量分析证明这两种标志物都是患者总生存期降低的独立预测因素,尤其是在基底样亚型中。

结论

结果表明,PD-L1和FOXP3阳性Treg可能协同发挥作用,它们的上调表达促进乳腺癌的肿瘤免疫逃逸。旨在阻断PD-L1和清除Treg的联合免疫治疗方法可能会提高乳腺癌患者尤其是基底样癌患者的治疗效果。

https://cdn.ncbi.nlm.nih.gov/pmc/blobs/2d1b/4860794/72cb5a496a92/jcav07p0784g001.jpg

文献AI研究员

20分钟写一篇综述,助力文献阅读效率提升50倍。

立即体验

用中文搜PubMed

大模型驱动的PubMed中文搜索引擎

马上搜索

文档翻译

学术文献翻译模型,支持多种主流文档格式。

立即体验