Suppr超能文献

深度学习作为提高组织病理学诊断准确性和效率的工具。

Deep learning as a tool for increased accuracy and efficiency of histopathological diagnosis.

作者信息

Litjens Geert, Sánchez Clara I, Timofeeva Nadya, Hermsen Meyke, Nagtegaal Iris, Kovacs Iringo, Hulsbergen-van de Kaa Christina, Bult Peter, van Ginneken Bram, van der Laak Jeroen

机构信息

Department of Pathology, Radboud University Medical Center, Nijmegen, The Netherlands.

Department of Radiology and Nuclear Medicine, Radboud University Medical Center, Nijmegen, The Netherlands.

出版信息

Sci Rep. 2016 May 23;6:26286. doi: 10.1038/srep26286.

Abstract

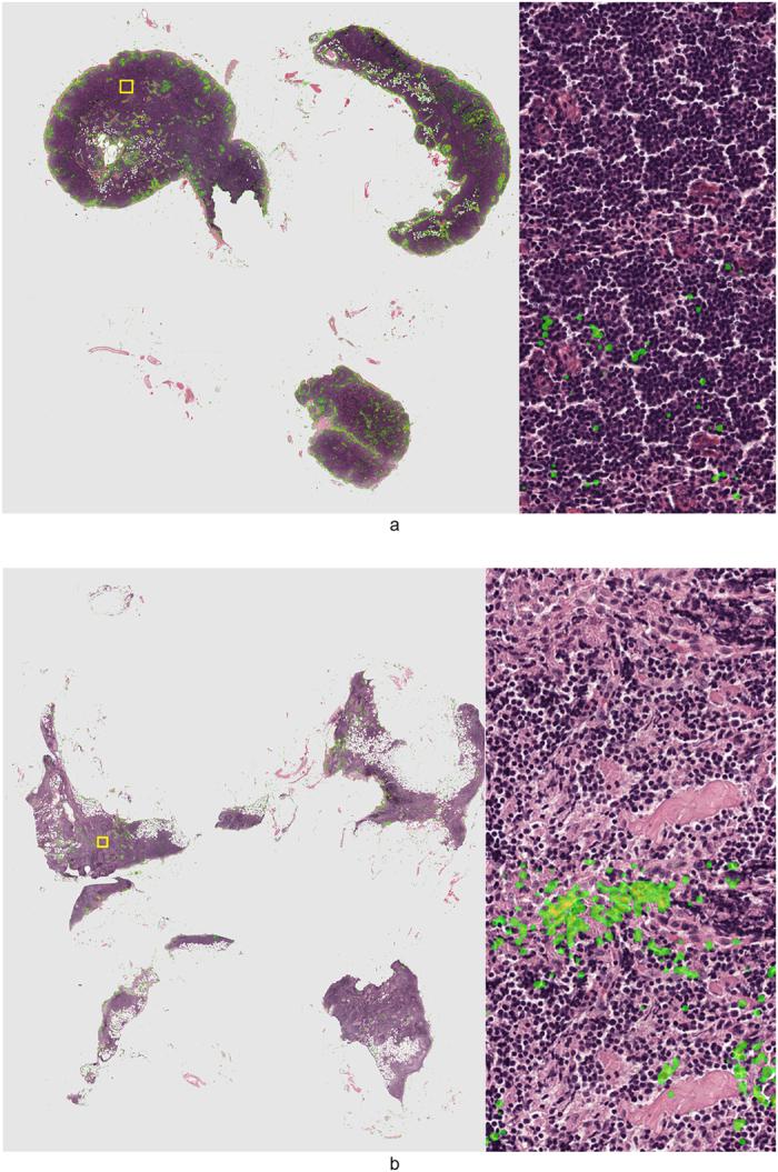
Pathologists face a substantial increase in workload and complexity of histopathologic cancer diagnosis due to the advent of personalized medicine. Therefore, diagnostic protocols have to focus equally on efficiency and accuracy. In this paper we introduce 'deep learning' as a technique to improve the objectivity and efficiency of histopathologic slide analysis. Through two examples, prostate cancer identification in biopsy specimens and breast cancer metastasis detection in sentinel lymph nodes, we show the potential of this new methodology to reduce the workload for pathologists, while at the same time increasing objectivity of diagnoses. We found that all slides containing prostate cancer and micro- and macro-metastases of breast cancer could be identified automatically while 30-40% of the slides containing benign and normal tissue could be excluded without the use of any additional immunohistochemical markers or human intervention. We conclude that 'deep learning' holds great promise to improve the efficacy of prostate cancer diagnosis and breast cancer staging.

摘要

由于个性化医疗的出现,病理学家面临着组织病理学癌症诊断工作量和复杂性的大幅增加。因此,诊断方案必须同样注重效率和准确性。在本文中,我们引入“深度学习”作为一种提高组织病理学切片分析客观性和效率的技术。通过两个例子,即活检标本中前列腺癌的识别和前哨淋巴结中乳腺癌转移的检测,我们展示了这种新方法在减轻病理学家工作量的同时提高诊断客观性的潜力。我们发现,所有含有前列腺癌以及乳腺癌微转移和宏转移的切片都可以自动识别,同时在不使用任何额外免疫组化标记或人工干预的情况下,可以排除30%-40%含有良性和正常组织的切片。我们得出结论,“深度学习”在提高前列腺癌诊断和乳腺癌分期的效能方面具有巨大潜力。

https://cdn.ncbi.nlm.nih.gov/pmc/blobs/0cdb/4876324/d22ffc5af07c/srep26286-f1.jpg

文献AI研究员

20分钟写一篇综述,助力文献阅读效率提升50倍。

立即体验

用中文搜PubMed

大模型驱动的PubMed中文搜索引擎

马上搜索

文档翻译

学术文献翻译模型,支持多种主流文档格式。

立即体验