Suppr超能文献

HtrA对副猪嗜血杆菌的应激抗性和毒力很重要。

HtrA Is Important for Stress Resistance and Virulence in Haemophilus parasuis.

作者信息

Zhang Luhua, Li Ying, Wen Yiping, Lau Gee W, Huang Xiaobo, Wu Rui, Yan Qigui, Huang Yong, Zhao Qin, Ma Xiaoping, Wen Xintian, Cao Sanjie

机构信息

Research Center of Swine Disease, College of Veterinary Medicine, Sichuan Agricultural University, Chengdu, China.

Department of Pathobiology, University of Illinois at Urbana-Champaign, Urbana, Illinois, USA.

出版信息

Infect Immun. 2016 Jul 21;84(8):2209-2219. doi: 10.1128/IAI.00147-16. Print 2016 Aug.

Abstract

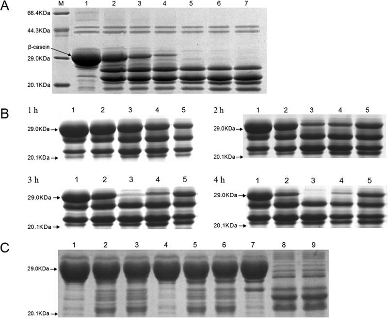
Haemophilus parasuis is an opportunistic pathogen that causes Glässer's disease in swine, with polyserositis, meningitis, and arthritis. The high-temperature requirement A (HtrA)-like protease, which is involved in protein quality control, has been reported to be a virulence factor in many pathogens. In this study, we showed that HtrA of H. parasuis (HpHtrA) exhibited both chaperone and protease activities. Finally, nickel import ATP-binding protein (NikE), periplasmic dipeptide transport protein (DppA), and outer membrane protein A (OmpA) were identified as proteolytic substrates for HpHtrA. The protease activity reached its maximum at 40°C in a time-dependent manner. Disruption of the htrA gene from strain SC1401 affected tolerance to temperature stress and resistance to complement-mediated killing. Furthermore, increased autoagglutination and biofilm formation were detected in the htrA mutant. In addition, the htrA mutant was significantly attenuated in virulence in the murine model of infection. Together, these data demonstrate that HpHtrA plays an important role in the virulence of H. parasuis.

摘要

副猪嗜血杆菌是一种机会致病菌,可导致猪的格拉泽氏病,出现多发性浆膜炎、脑膜炎和关节炎。据报道,参与蛋白质质量控制的高温需求A(HtrA)样蛋白酶是许多病原体中的一种毒力因子。在本研究中,我们表明副猪嗜血杆菌的HtrA(HpHtrA)兼具伴侣蛋白和蛋白酶活性。最后,镍转运ATP结合蛋白(NikE)、周质二肽转运蛋白(DppA)和外膜蛋白A(OmpA)被鉴定为HpHtrA的蛋白水解底物。蛋白酶活性在40°C时以时间依赖性方式达到最大值。从SC1401菌株中破坏htrA基因影响了对温度应激的耐受性和对补体介导杀伤的抗性。此外,在htrA突变体中检测到自凝和生物膜形成增加。此外,htrA突变体在小鼠感染模型中的毒力显著减弱。总之,这些数据表明HpHtrA在副猪嗜血杆菌的毒力中起重要作用。

https://cdn.ncbi.nlm.nih.gov/pmc/blobs/4563/4962635/246442d32f4a/zii9990917640001.jpg

文献AI研究员

20分钟写一篇综述,助力文献阅读效率提升50倍。

立即体验

用中文搜PubMed

大模型驱动的PubMed中文搜索引擎

马上搜索

文档翻译

学术文献翻译模型,支持多种主流文档格式。

立即体验