Suppr超能文献

干燥综合征的肺部表现。

Pulmonary manifestations of Sjögren's syndrome.

作者信息

Flament Thomas, Bigot Adrien, Chaigne Benjamin, Henique Helene, Diot Elisabeth, Marchand-Adam Sylvain

机构信息

Service de Pneumologie, CHRU Tours, Tours, France.

Service de Médecine Interne, CHRU Tours, Tours, France.

出版信息

Eur Respir Rev. 2016 Jun;25(140):110-23. doi: 10.1183/16000617.0011-2016.

Abstract

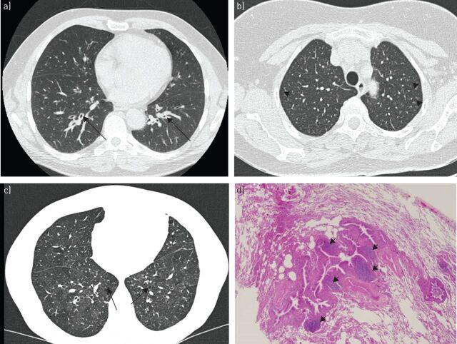
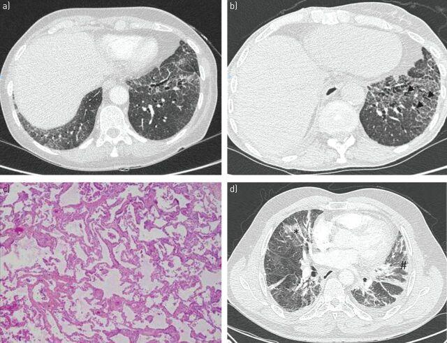
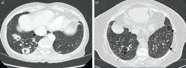
In 9-20% of cases, Sjögren's syndrome is associated with various respiratory symptoms. The most typical manifestations are chronic interstitial lung disease (ILD) and tracheobronchial disease. The most common manifestation of ILD is nonspecific interstitial pneumonia in its fibrosing variant. Other types of ILD, such as organising pneumonia, usual interstitial pneumonia and lymphocytic interstitial pneumonitis, are rare. Their radiological presentation is less distinctive, and definitive diagnosis may require the use of transbronchial or surgical lung biopsy. Corticosteroid therapy is the mainstay of ILD treatment in Sjögren's syndrome, but the use of other immunosuppressive drugs needs to be determined. ILD is a significant cause of death in Sjögren's syndrome. Tracheobronchial disease is common in Sjögren's syndrome, characterised by diffuse lymphocytic infiltration of the airway. It is sometimes responsible for a crippling chronic cough. It can also present in the form of bronchial hyperresponsiveness, bronchiectasis, bronchiolitis or recurrent respiratory infections. The management of these manifestations may require treatment for dryness and/or inflammation of the airways. Airway disease has little effect on respiratory function and is rarely the cause of death in Sjögren's syndrome patients. Rare respiratory complications such as amyloidosis, lymphoma or pulmonary hypertension should not be disregarded in Sjögren's syndrome patients.

摘要

在9%至20%的病例中,干燥综合征与多种呼吸道症状相关。最典型的表现是慢性间质性肺疾病(ILD)和气管支气管疾病。ILD最常见的表现是纤维化型非特异性间质性肺炎。其他类型的ILD,如机化性肺炎、寻常型间质性肺炎和淋巴细胞间质性肺炎则较为罕见。它们的影像学表现不太具有特征性,明确诊断可能需要进行经支气管或外科肺活检。糖皮质激素治疗是干燥综合征中ILD治疗的主要手段,但其他免疫抑制药物的使用需要确定。ILD是干燥综合征患者死亡的重要原因。气管支气管疾病在干燥综合征中很常见,其特征是气道弥漫性淋巴细胞浸润。它有时会导致严重的慢性咳嗽。它也可能表现为支气管高反应性、支气管扩张、细支气管炎或反复呼吸道感染。这些表现的管理可能需要对气道干燥和/或炎症进行治疗。气道疾病对呼吸功能影响较小,很少是干燥综合征患者死亡的原因。干燥综合征患者不应忽视罕见的呼吸道并发症,如淀粉样变性、淋巴瘤或肺动脉高压。

https://cdn.ncbi.nlm.nih.gov/pmc/blobs/5c6d/9487244/a4615ae9f72e/ERR-0011-2016.01.jpg

文献AI研究员

20分钟写一篇综述,助力文献阅读效率提升50倍。

立即体验

用中文搜PubMed

大模型驱动的PubMed中文搜索引擎

马上搜索

文档翻译

学术文献翻译模型,支持多种主流文档格式。

立即体验