Suppr超能文献

4-苯基丁酸对大鼠肺动脉高压具有保护作用。

4-Phenylbutyric Acid Induces Protection against Pulmonary Arterial Hypertension in Rats.

作者信息

Wu Yun, Adi Dilare, Long Mei, Wang Jie, Liu Fen, Gai Min-Tao, Aierken Alidan, Li Ming-Yuan, Li Qian, Wu Lei-Qi, Ma Yi-Tong, Hujiaaihemaiti Minawaer

机构信息

Department of General Practice, First Affiliated Hospital of Xinjiang Medical University, Urumqi, 830011 P.R., China.

Department of Cardiology, First Affiliated Hospital of Xinjiang Medical University, Urumqi, 830011 P.R., China.

出版信息

PLoS One. 2016 Jun 15;11(6):e0157538. doi: 10.1371/journal.pone.0157538. eCollection 2016.

Abstract

BACKGROUND

Endoplasmic reticulum (ER) stress has been implicated in the pathophysiology of various pulmonary diseases via the activation of the unfolded protein response. However, the role of ER stress in pulmonary arterial hypertension (PAH) remains unclear. The well-known chemical chaperone 4-phenylbutyric acid (4-PBA) inhibits ER stress signaling. We hypothesized that known chemical chaperones, including 4-PBA, would inhibit the activation of ER stress and prevent and/or reverse PAH.

METHODS AND RESULTS

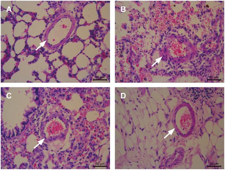
Male Wistar rats were randomly divided into four groups: a normal control group (NORMAL group), a PAH group, and two PAH model plus 4-PBA treatment groups. The latter two groups included rats receiving 4-PBA by gavage each day as a preventive measure (the PRE group, with PBA starting on the day of PAH induction and continuing for 4 weeks) or as a reversal measure (the REV group, with PBA starting on the third week of PAH induction and continuing for 2 weeks). The PAH model was induced by intraperitoneally administering monocrotaline. The mean pulmonary artery pressure and mean right ventricular pressure were lower in the REV and PRE groups than in the NORMAL group. Furthermore, 4-PBA improved pulmonary arterial remodeling and suppressed the expression of ER stress indicators.

CONCLUSION

Our findings indicate that PAH induces ER stress and provokes pulmonary arterial and right ventricular remodeling. Additionally, we show that attenuation of ER stress has the potential to be an effective therapeutic strategy for protecting pulmonary arteries.

摘要

背景

内质网(ER)应激通过未折叠蛋白反应的激活参与了多种肺部疾病的病理生理学过程。然而,ER应激在肺动脉高压(PAH)中的作用仍不清楚。著名的化学伴侣4-苯基丁酸(4-PBA)可抑制ER应激信号传导。我们假设包括4-PBA在内的已知化学伴侣会抑制ER应激的激活,并预防和/或逆转PAH。

方法与结果

雄性Wistar大鼠随机分为四组:正常对照组(NORMAL组)、PAH组以及两个PAH模型加4-PBA治疗组。后两组包括每天通过灌胃给予4-PBA作为预防措施的大鼠(PRE组,PBA从PAH诱导当天开始,持续4周)或作为逆转措施的大鼠(REV组,PBA从PAH诱导第3周开始,持续2周)。PAH模型通过腹腔注射野百合碱诱导。REV组和PRE组的平均肺动脉压和平均右心室压均低于NORMAL组。此外,4-PBA改善了肺动脉重塑并抑制了ER应激指标的表达。

结论

我们的研究结果表明,PAH诱导ER应激并引发肺动脉和右心室重塑。此外,我们表明减轻ER应激有可能成为保护肺动脉的有效治疗策略。

https://cdn.ncbi.nlm.nih.gov/pmc/blobs/7139/4909300/72b3dd4c21e1/pone.0157538.g001.jpg

文献AI研究员

20分钟写一篇综述,助力文献阅读效率提升50倍。

立即体验

用中文搜PubMed

大模型驱动的PubMed中文搜索引擎

马上搜索

文档翻译

学术文献翻译模型,支持多种主流文档格式。

立即体验