Suppr超能文献

小窝蛋白-1通过脂质合成调节激素抵抗,为去势抵抗性前列腺癌创造了新的治疗机会。

Caveolin-1 regulates hormone resistance through lipid synthesis, creating novel therapeutic opportunities for castration-resistant prostate cancer.

作者信息

Karantanos Theodoros, Karanika Styliani, Wang Jianxiang, Yang Guang, Dobashi Masato, Park Sanghee, Ren Chengzhen, Li Likun, Basourakos Spyridon P, Hoang Anh, Efstathiou Eleni, Wang Xuemei, Troncoso Patricia, Titus Mark, Broom Bradley, Kim Jeri, Corn Paul G, Logothetis Christopher J, Thompson Timothy C

机构信息

Department of Genitourinary Medical Oncology, The University of Texas MD Anderson Cancer Center, Houston, TX 77030-4009, USA.

Current address: General Internal Medicine Section, Boston Medical Center, Boston University School of Medicine, Boston, MA 02118, USA.

出版信息

Oncotarget. 2016 Jul 19;7(29):46321-46334. doi: 10.18632/oncotarget.10113.

Abstract

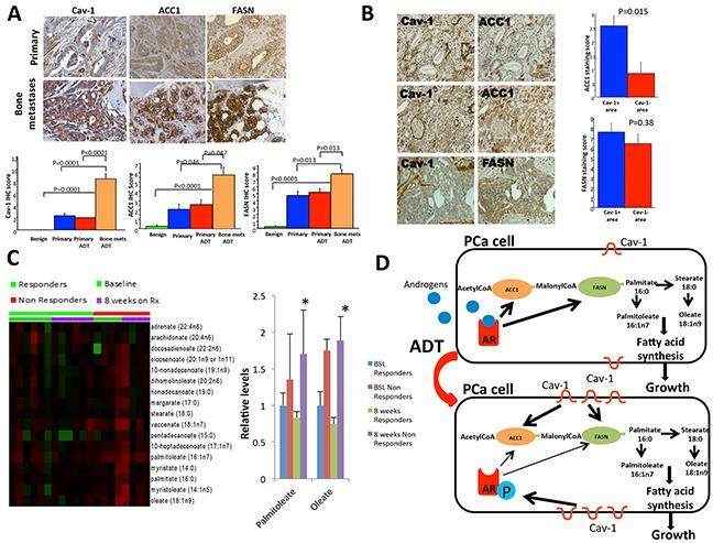
Caveolin-1 (Cav-1) is overexpressed in aggressive and metastatic prostate cancer (PCa) and induces PCa cell proliferation. Androgens mediate lipid synthesis through acetyl-CoA carboxylase-1 (ACC1) and fatty acid synthase (FASN). We investigated the Cav-1-mediated lipid synthesis in the development of castration resistance, and identified novel therapeutic opportunities. Using the PBCre+;Ptenloxp/loxp;PBCav-1+ mouse model we found that Cav-1 induction increased cancer incidence and growth, and ACC1-FASN expression in intact and castrated mice. We demonstrated that Cav-1 regulated ACC1 and FASN expression in an AR-independent way and increased palmitate synthesis using western blot analysis, qRT-PCR and mass spectrometry in vitro. By using FASN siRNA and C-75, we found that FASN inhibition was more effective in Cav-1-overexpressing cells. This inhibition was abrogated by ACC1si RNA, revealing the role of malonyl-CoA, an ACC1 product, as a mediator of cytotoxicity. Cav-1 was associated with ACC1 in human tumors and ACC1, FASN, and Cav-1 expression were increased in metastatic PCa compared to primary tumors and normal prostate epithelium. Palmitoleate and oleate levels were higher in BMA from patients with metastatic PCa who responded poorly to abiraterone acetate. Our findings suggest that Cav-1 promotes hormone resistance through the upregulation of ACC1-FASN and lipid synthesis under androgen deprivation, suggesting that FASN inhibition could be used to treat PCa that demonstrates Cav-1 overexpression.

摘要

小窝蛋白-1(Cav-1)在侵袭性和转移性前列腺癌(PCa)中过表达,并诱导PCa细胞增殖。雄激素通过乙酰辅酶A羧化酶-1(ACC1)和脂肪酸合酶(FASN)介导脂质合成。我们研究了Cav-1介导的脂质合成在去势抵抗发生过程中的作用,并确定了新的治疗机会。使用PBCre+;Ptenloxp/loxp;PBCav-1+小鼠模型,我们发现Cav-1的诱导增加了完整和去势小鼠的癌症发病率和生长,以及ACC1-FASN的表达。我们通过蛋白质印迹分析、qRT-PCR和体外质谱证明,Cav-1以不依赖雄激素受体(AR)的方式调节ACC1和FASN的表达,并增加棕榈酸酯的合成。通过使用FASN siRNA和C-75,我们发现FASN抑制在Cav-1过表达的细胞中更有效。ACC1 siRNA消除了这种抑制作用,揭示了ACC1产物丙二酰辅酶A作为细胞毒性介质的作用。在人类肿瘤中,Cav-1与ACC1相关,与原发性肿瘤和正常前列腺上皮相比,转移性PCa中ACC1、FASN和Cav-1的表达增加。对醋酸阿比特龙反应不佳的转移性PCa患者的骨髓抽吸物(BMA)中棕榈油酸和油酸水平较高。我们的研究结果表明,Cav-1通过在雄激素剥夺条件下上调ACC1-FASN和脂质合成来促进激素抵抗,这表明FASN抑制可用于治疗表现出Cav-1过表达的PCa。

https://cdn.ncbi.nlm.nih.gov/pmc/blobs/257e/5216801/09089565fcdc/oncotarget-07-46321-g001.jpg

文献AI研究员

20分钟写一篇综述,助力文献阅读效率提升50倍。

立即体验

用中文搜PubMed

大模型驱动的PubMed中文搜索引擎

马上搜索

文档翻译

学术文献翻译模型,支持多种主流文档格式。

立即体验