Suppr超能文献

XIAP环结构域介导miR-4295的表达,随后抑制p63α蛋白翻译并促进膀胱上皮细胞的转化。

XIAP RING domain mediates miR-4295 expression and subsequently inhibiting p63α protein translation and promoting transformation of bladder epithelial cells.

作者信息

Jin Honglei, Xu Jiheng, Guo Xirui, Huang Haishan, Li Jingxia, Peng Minggang, Zhu Junlan, Tian Zhongxian, Wu Xue-Ru, Tang Moon-Shong, Huang Chuanshu

机构信息

Zhejiang Provincial Key Laboratory for Technology & Application of Model Organisms, School of Life Sciences, Wenzhou Medical University, Wenzhou, Zhejiang 325035, China.

Nelson Institute of Environmental Medicine, New York University, School of Medicine, Tuxedo, NY 10987, USA.

出版信息

Oncotarget. 2016 Aug 30;7(35):56540-56557. doi: 10.18632/oncotarget.10645.

Abstract

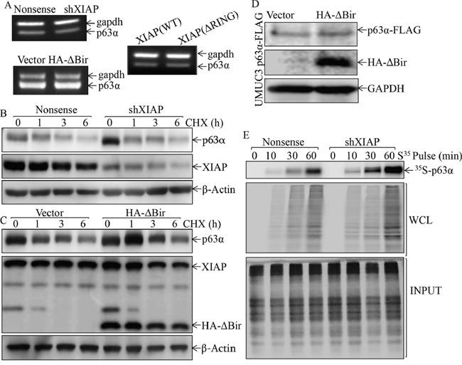
The X-linked inhibitor of apoptosis protein (XIAP) contains three N-terminal BIR domains that mediate anti-apoptosis and one C-terminal RING finger domain whose function(s) are not fully defined. Here we show that the RING domain of XIAP strongly inhibits the expression of p63α, a known tumor suppressor. XIAP knockdown in urothelial cells or RING deletion in knockin mice markedly upregulates p63α expression. This RING-mediated p63α downregulation is critical for the malignant transformation of normal urothelial cells following EGF treatment. We further show that the RING domain promotes Sp1-mediated transcription of miR-4295 which targets the 3'UTR of p63α mRNA and consequently inhibits p63α translation. Our results reveal a previously unknown function of the RING of XIAP in promoting miR-4295 transcription, thereby reducing p63α translation and enhancing urothelial transformation. Our data offer novel insights into the multifunctional effects of the XIAP RING domain on urothelial tumorigenesis and the potential for targeting this frequently overexpressed protein as a therapeutic alternative.

摘要

X连锁凋亡抑制蛋白(XIAP)含有三个介导抗凋亡作用的N端BIR结构域和一个功能尚未完全明确的C端泛素连接酶结构域。在此我们表明,XIAP的泛素连接酶结构域强烈抑制已知的肿瘤抑制因子p63α的表达。尿路上皮细胞中XIAP的敲低或基因敲入小鼠中的泛素连接酶结构域缺失显著上调p63α的表达。这种由泛素连接酶介导的p63α下调对于表皮生长因子(EGF)处理后正常尿路上皮细胞的恶性转化至关重要。我们进一步表明,泛素连接酶结构域促进Sp1介导的miR - 4295转录,miR - 4295靶向p63α mRNA的3'非翻译区(3'UTR),从而抑制p63α的翻译。我们的结果揭示了XIAP的泛素连接酶结构域在促进miR - 4295转录方面以前未知的功能,从而减少p63α的翻译并增强尿路上皮细胞转化。我们的数据为XIAP泛素连接酶结构域对尿路上皮肿瘤发生的多功能作用以及将这种频繁过度表达的蛋白作为治疗选择进行靶向治疗的潜力提供了新的见解。

https://cdn.ncbi.nlm.nih.gov/pmc/blobs/a797/5302933/bf9f452fc82d/oncotarget-07-56540-g001.jpg

文献AI研究员

20分钟写一篇综述,助力文献阅读效率提升50倍。

立即体验

用中文搜PubMed

大模型驱动的PubMed中文搜索引擎

马上搜索

文档翻译

学术文献翻译模型,支持多种主流文档格式。

立即体验