Suppr超能文献

用Phos-tag分析LRRK2对Rab10的磷酸化作用:一种评估激酶功能和抑制剂的强大检测方法。

Phos-tag analysis of Rab10 phosphorylation by LRRK2: a powerful assay for assessing kinase function and inhibitors.

作者信息

Ito Genta, Katsemonova Kristina, Tonelli Francesca, Lis Pawel, Baptista Marco A S, Shpiro Natalia, Duddy Graham, Wilson Steve, Ho Philip Wing-Lok, Ho Shu-Leong, Reith Alastair D, Alessi Dario R

机构信息

MRC Protein Phosphorylation and Ubiquitylation Unit, School of Life Sciences, University of Dundee, Dundee DD1 5EH, U.K.

The Michael J. Fox Foundation for Parkinson's Research, Grand Central Station, P.O. Box 4777, New York, NY 10163, U.S.A.

出版信息

Biochem J. 2016 Sep 1;473(17):2671-85. doi: 10.1042/BCJ20160557. Epub 2016 Jul 29.

Abstract

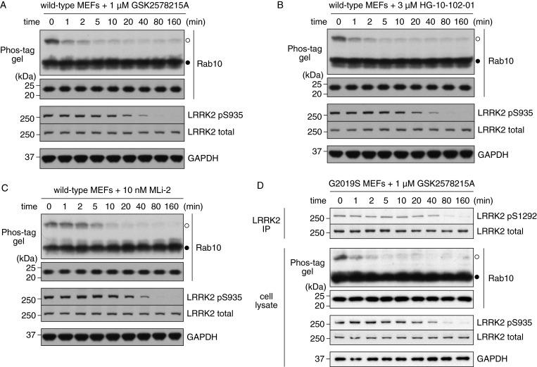
Autosomal dominant mutations that activate the leucine-rich repeat kinase 2 (LRRK2) cause inherited Parkinson's disease. Recent work has revealed that LRRK2 directly phosphorylates a conserved threonine/serine residue in the effector-binding switch-II motif of a number of Rab GTPase proteins, including Rab10. Here we describe a facile and robust method to assess phosphorylation of endogenous Rab10 in mouse embryonic fibroblasts (MEFs), lung and spleen-derived B-cells, based on the ability of the Phos-tag reagent to retard the electrophoretic mobility of LRRK2-phosphorylated Rab10. We exploit this assay to show that phosphorylation of Rab10 is ablated in kinase-inactive LRRK2[D2017A] knockin MEFs and mouse lung, demonstrating that LRRK2 is the major Rab10 kinase in these cells/tissue. We also establish that the Phos-tag assay can be deployed to monitor the impact that activating LRRK2 pathogenic (G2019S and R1441G) knockin mutations have on stimulating Rab10 phosphorylation. We show that upon addition of LRRK2 inhibitors, Rab10 is dephosphorylated within 1-2 min, markedly more rapidly than the Ser(935) and Ser(1292) biomarker sites that require 40-80 min. Furthermore, we find that phosphorylation of Rab10 is suppressed in LRRK2[S910A+S935A] knockin MEFs indicating that phosphorylation of Ser(910) and Ser(935) and potentially 14-3-3 binding play a role in facilitating the phosphorylation of Rab10 by LRRK2 in vivo The Rab Phos-tag assay has the potential to significantly aid with evaluating the effect that inhibitors, mutations and other factors have on the LRRK2 signalling pathway.

摘要

激活富含亮氨酸重复激酶2(LRRK2)的常染色体显性突变会导致遗传性帕金森病。最近的研究表明,LRRK2可直接磷酸化多种Rab GTPase蛋白(包括Rab10)效应器结合开关-II基序中一个保守的苏氨酸/丝氨酸残基。在此,我们基于Phos-tag试剂延缓LRRK2磷酸化的Rab10电泳迁移率的能力,描述了一种简便且可靠的方法,用于评估小鼠胚胎成纤维细胞(MEF)、肺和脾来源的B细胞中内源性Rab10的磷酸化情况。我们利用该检测方法表明,在激酶失活的LRRK2[D2017A]敲入MEF和小鼠肺中,Rab10的磷酸化被消除,这表明LRRK2是这些细胞/组织中的主要Rab10激酶。我们还证实,Phos-tag检测可用于监测激活LRRK2致病(G2019S和R1441G)敲入突变对刺激Rab10磷酸化的影响。我们发现,加入LRRK2抑制剂后,Rab10在1 - 2分钟内去磷酸化,明显快于需要40 - 80分钟的Ser(935)和Ser(1292)生物标志物位点。此外,我们发现LRRK2[S910A + S935A]敲入MEF中Rab10的磷酸化受到抑制,这表明Ser(910)和Ser(935)的磷酸化以及潜在的14 - 3 - 3结合在体内促进LRRK2对Rab10的磷酸化中发挥作用。Rab Phos-tag检测有潜力显著有助于评估抑制剂、突变和其他因素对LRRK2信号通路的影响。

https://cdn.ncbi.nlm.nih.gov/pmc/blobs/2bff/5003698/cbc9d70617a3/bj4732671fig1.jpg

文献AI研究员

20分钟写一篇综述,助力文献阅读效率提升50倍。

立即体验

用中文搜PubMed

大模型驱动的PubMed中文搜索引擎

马上搜索

文档翻译

学术文献翻译模型,支持多种主流文档格式。

立即体验