Suppr超能文献

在慢性弓形虫病期间,Blimp-1介导的CD4 T细胞耗竭导致CD8 T细胞功能障碍。

Blimp-1-mediated CD4 T cell exhaustion causes CD8 T cell dysfunction during chronic toxoplasmosis.

作者信息

Hwang SuJin, Cobb Dustin A, Bhadra Rajarshi, Youngblood Ben, Khan Imtiaz A

机构信息

Department of Microbiology, Immunology, and Tropical Medicine, George Washington University, Washington, DC 20037.

Department of Microbiology, Immunology, and Tropical Medicine, George Washington University, Washington, DC 20037 Department of Microbiology, Immunology, and Cancer Biology, Beirne B. Carter Center for Immunology Research, University of Virginia, Charlottesville, VA 22908.

出版信息

J Exp Med. 2016 Aug 22;213(9):1799-818. doi: 10.1084/jem.20151995. Epub 2016 Aug 1.

Abstract

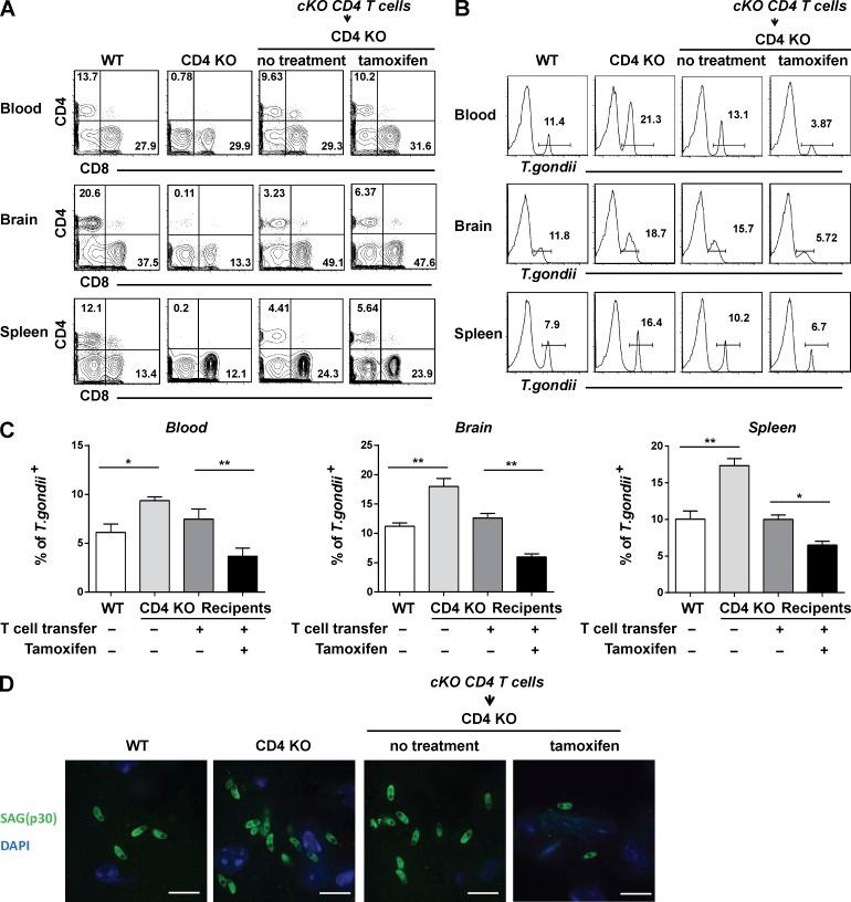
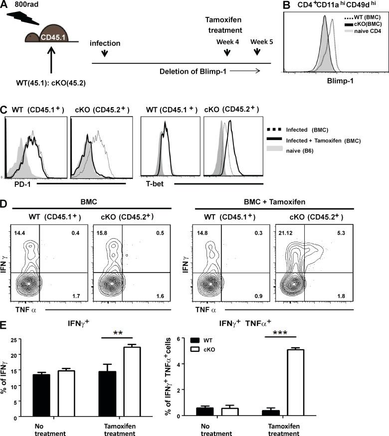
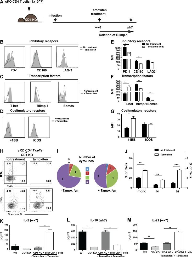
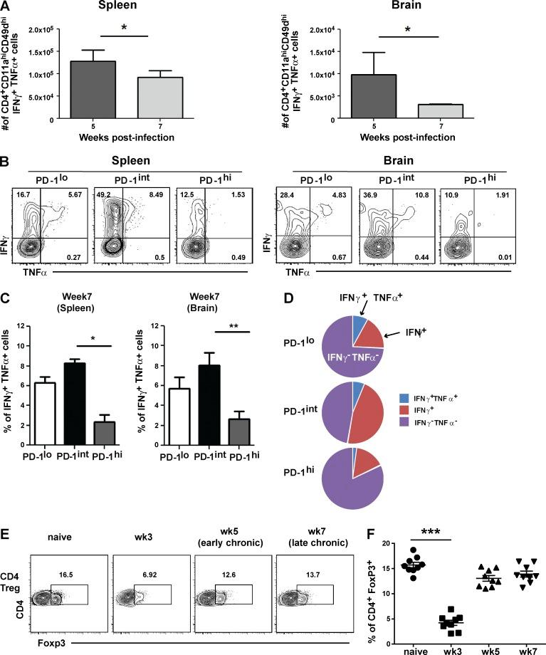
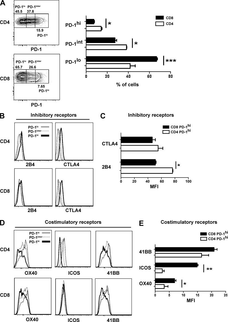
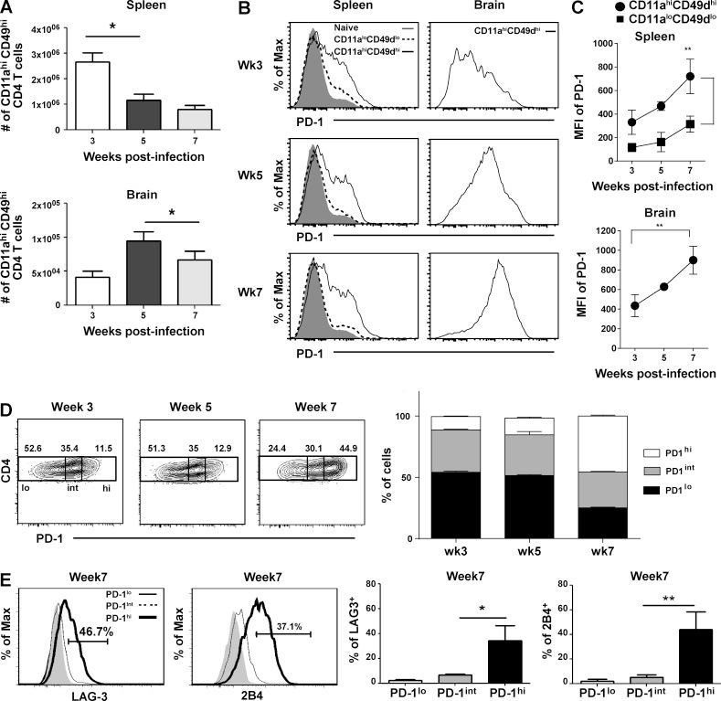
CD8, but not CD4, T cells are considered critical for control of chronic toxoplasmosis. Although CD8 exhaustion has been previously reported in Toxoplasma encephalitis (TE)-susceptible model, our current work demonstrates that CD4 not only become exhausted during chronic toxoplasmosis but this dysfunction is more pronounced than CD8 T cells. Exhausted CD4 population expressed elevated levels of multiple inhibitory receptors concomitant with the reduced functionality and up-regulation of Blimp-1, a transcription factor. Our data demonstrates for the first time that Blimp-1 is a critical regulator for CD4 T cell exhaustion especially in the CD4 central memory cell subset. Using a tamoxifen-dependent conditional Blimp-1 knockout mixed bone marrow chimera as well as an adoptive transfer approach, we show that CD4 T cell-intrinsic deletion of Blimp-1 reversed CD8 T cell dysfunction and resulted in improved pathogen control. To the best of our knowledge, this is a novel finding, which demonstrates the role of Blimp-1 as a critical regulator of CD4 dysfunction and links it to the CD8 T cell dysfunctionality observed in infected mice. The critical role of CD4-intrinsic Blimp-1 expression in mediating CD4 and CD8 T cell exhaustion may provide a rational basis for designing novel therapeutic approaches.

摘要

CD8而非CD4 T细胞被认为是控制慢性弓形虫病的关键。尽管先前在易患弓形虫脑炎(TE)的模型中已报道了CD8耗竭,但我们目前的研究表明,在慢性弓形虫病期间CD4不仅会耗竭,而且这种功能障碍比CD8 T细胞更明显。耗竭的CD4群体表达多种抑制性受体的水平升高,同时伴随着功能降低和转录因子Blimp-1的上调。我们的数据首次证明Blimp-1是CD4 T细胞耗竭的关键调节因子,尤其是在CD4中央记忆细胞亚群中。使用他莫昔芬依赖性条件性Blimp-1基因敲除混合骨髓嵌合体以及过继转移方法,我们表明Blimp-1的CD4 T细胞内在缺失逆转了CD8 T细胞功能障碍并改善了病原体控制。据我们所知,这是一项新发现,它证明了Blimp-1作为CD4功能障碍关键调节因子的作用,并将其与在感染小鼠中观察到的CD8 T细胞功能障碍联系起来。CD4内在Blimp-1表达在介导CD4和CD8 T细胞耗竭中的关键作用可能为设计新的治疗方法提供合理依据。

https://cdn.ncbi.nlm.nih.gov/pmc/blobs/7544/4995081/300df4941b5e/JEM_20151995_Fig1.jpg

文献AI研究员

20分钟写一篇综述,助力文献阅读效率提升50倍。

立即体验

用中文搜PubMed

大模型驱动的PubMed中文搜索引擎

马上搜索

文档翻译

学术文献翻译模型,支持多种主流文档格式。

立即体验