Suppr超能文献

一种在室温下通过简便的pH控制柠檬酸盐还原法合成金纳米粒子的方法。

A Facile pH Controlled Citrate-Based Reduction Method for Gold Nanoparticle Synthesis at Room Temperature.

作者信息

Tyagi Himanshu, Kushwaha Ajay, Kumar Anshuman, Aslam Mohammed

机构信息

Department of Physics, Indian Institute of Technology Bombay, Powai, Mumbai, 400076, India.

出版信息

Nanoscale Res Lett. 2016 Dec;11(1):362. doi: 10.1186/s11671-016-1576-5. Epub 2016 Aug 15.

Abstract

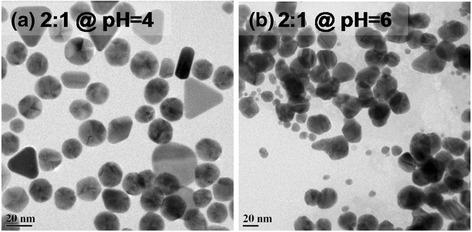
The synthesis of gold nanoparticles using citrate reduction process has been revisited. A simplified room temperature approach to standard Turkevich synthesis is employed to obtain fairly monodisperse gold nanoparticles. The role of initial pH alongside the concentration ratio of reactants is explored for the size control of Au nanoparticles. The particle size distribution has been investigated using UV-vis spectroscopy and transmission electron microscope (TEM). At optimal pH of 5, gold nanoparticles obtained are highly monodisperse and spherical in shape and have narrower size distribution (sharp surface plasmon at 520 nm). For other pH conditions, particles are non-uniform and polydisperse, showing a red-shift in plasmon peak due to aggregation and large particle size distribution. The room temperature approach results in highly stable "colloidal" suspension of gold nanoparticles. The stability test through absorption spectroscopy indicates no sign of aggregation for a month. The rate of reduction of auric ionic species by citrate ions is determined via UV absorbance studies. The size of nanoparticles under various conditions is thus predicted using a theoretical model that incorporates nucleation, growth, and aggregation processes. The faster rate of reduction yields better size distribution for optimized pH and reactant concentrations. The model involves solving population balance equation for continuously evolving particle size distribution by discretization techniques. The particle sizes estimated from the simulations (13 to 25 nm) are close to the experimental ones (10 to 32 nm) and corroborate the similarity of reaction processes at 300 and 373 K (classical Turkevich reaction). Thus, substitution of experimentally measured rate of disappearance of auric ionic species into theoretical model enables us to capture the unusual experimental observations.

摘要

利用柠檬酸盐还原法合成金纳米颗粒的过程已被重新审视。采用一种简化的室温方法进行标准的特鲁凯维奇合成,以获得相当单分散的金纳米颗粒。探讨了初始pH值以及反应物浓度比在金纳米颗粒尺寸控制方面的作用。使用紫外可见光谱和透射电子显微镜(TEM)研究了颗粒尺寸分布。在最佳pH值为5时,所获得的金纳米颗粒高度单分散且呈球形,尺寸分布较窄(在520 nm处有尖锐的表面等离子体峰)。对于其他pH条件,颗粒不均匀且多分散,由于聚集和较大的粒径分布,等离子体峰出现红移。室温方法导致金纳米颗粒形成高度稳定的“胶体”悬浮液。通过吸收光谱进行的稳定性测试表明,一个月内没有聚集迹象。通过紫外吸光度研究确定了柠檬酸根离子还原金离子物种的速率。因此,使用一个包含成核、生长和聚集过程的理论模型来预测各种条件下纳米颗粒的尺寸。对于优化的pH值和反应物浓度,更快的还原速率会产生更好的尺寸分布。该模型涉及通过离散化技术求解用于连续演化的颗粒尺寸分布的群体平衡方程。模拟估计的颗粒尺寸(13至25 nm)与实验值(10至32 nm)接近,证实了300 K和373 K时反应过程的相似性(经典特鲁凯维奇反应)。因此,将实验测量的金离子物种消失速率代入理论模型,使我们能够捕捉到异常的实验观察结果。

https://cdn.ncbi.nlm.nih.gov/pmc/blobs/32ba/4987575/2b3018aad349/11671_2016_1576_Sch1_HTML.jpg

文献AI研究员

20分钟写一篇综述,助力文献阅读效率提升50倍。

立即体验

用中文搜PubMed

大模型驱动的PubMed中文搜索引擎

马上搜索

文档翻译

学术文献翻译模型,支持多种主流文档格式。

立即体验