Suppr超能文献

HER2表达可识别循环乳腺癌细胞内的动态功能状态。

HER2 expression identifies dynamic functional states within circulating breast cancer cells.

作者信息

Jordan Nicole Vincent, Bardia Aditya, Wittner Ben S, Benes Cyril, Ligorio Matteo, Zheng Yu, Yu Min, Sundaresan Tilak K, Licausi Joseph A, Desai Rushil, O'Keefe Ryan M, Ebright Richard Y, Boukhali Myriam, Sil Srinjoy, Onozato Maristela L, Iafrate Anthony J, Kapur Ravi, Sgroi Dennis, Ting David T, Toner Mehmet, Ramaswamy Sridhar, Haas Wilhelm, Maheswaran Shyamala, Haber Daniel A

机构信息

Massachusetts General Hospital Cancer Center, Harvard Medical School, Charlestown, Massachusetts 02129, USA.

Department of Medicine, Harvard Medical School, Boston, Massachusetts 02114, USA.

出版信息

Nature. 2016 Sep 1;537(7618):102-106. doi: 10.1038/nature19328. Epub 2016 Aug 24.

Abstract

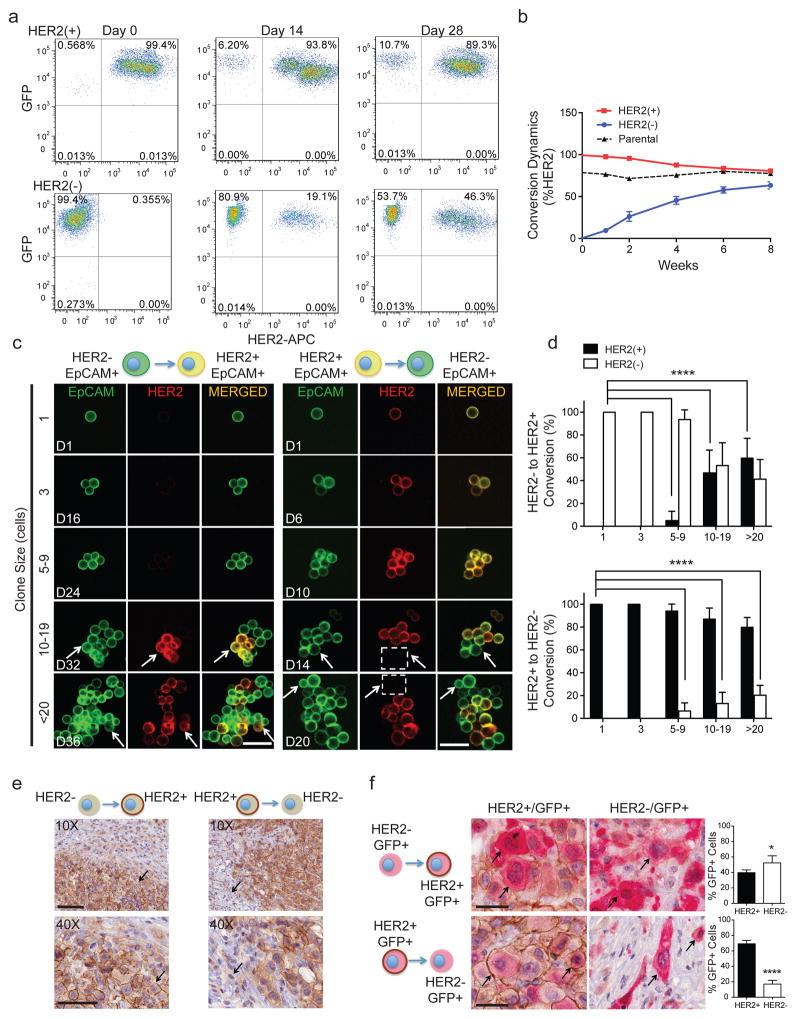
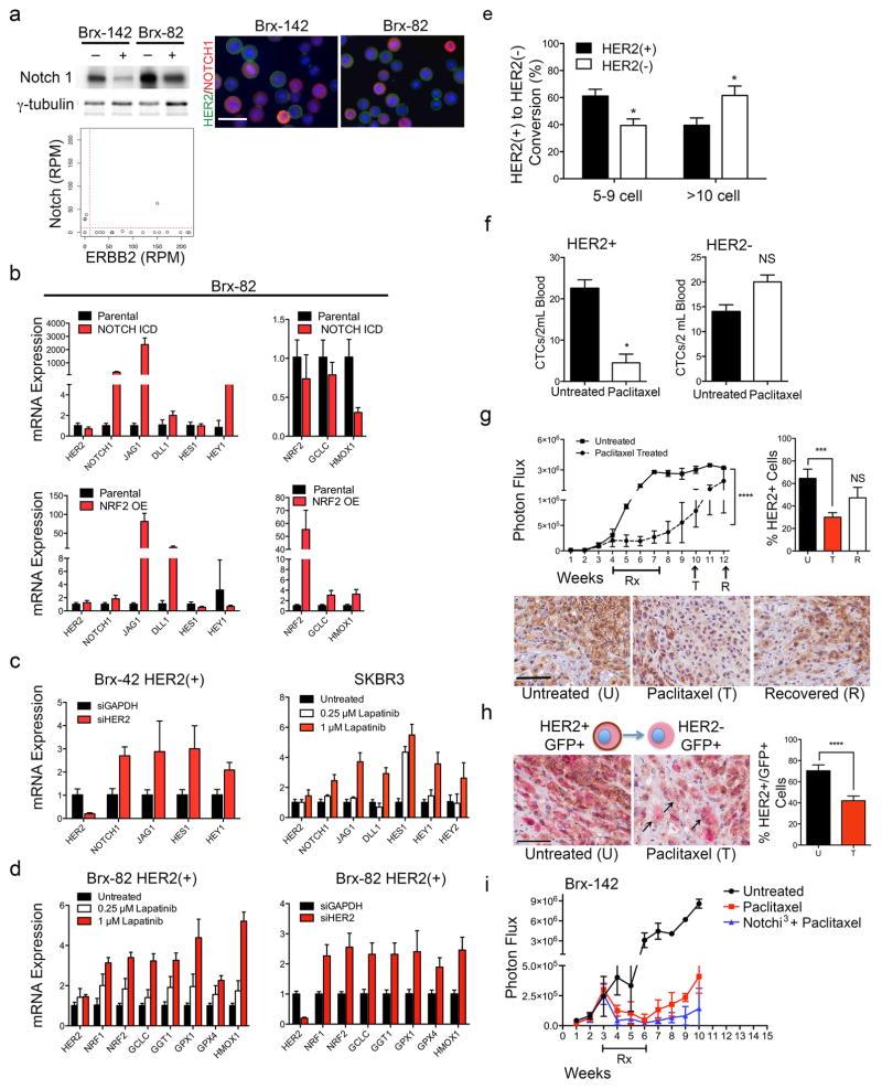
Circulating tumour cells in women with advanced oestrogen-receptor (ER)-positive/human epidermal growth factor receptor 2 (HER2)-negative breast cancer acquire a HER2-positive subpopulation after multiple courses of therapy. In contrast to HER2-amplified primary breast cancer, which is highly sensitive to HER2-targeted therapy, the clinical significance of acquired HER2 heterogeneity during the evolution of metastatic breast cancer is unknown. Here we analyse circulating tumour cells from 19 women with ER/HER2 primary tumours, 84% of whom had acquired circulating tumour cells expressing HER2. Cultured circulating tumour cells maintain discrete HER2 and HER2 subpopulations: HER2 circulating tumour cells are more proliferative but not addicted to HER2, consistent with activation of multiple signalling pathways; HER2 circulating tumour cells show activation of Notch and DNA damage pathways, exhibiting resistance to cytotoxic chemotherapy, but sensitivity to Notch inhibition. HER2 and HER2 circulating tumour cells interconvert spontaneously, with cells of one phenotype producing daughters of the opposite within four cell doublings. Although HER2 and HER2 circulating tumour cells have comparable tumour initiating potential, differential proliferation favours the HER2 state, while oxidative stress or cytotoxic chemotherapy enhances transition to the HER2 phenotype. Simultaneous treatment with paclitaxel and Notch inhibitors achieves sustained suppression of tumorigenesis in orthotopic circulating tumour cell-derived tumour models. Together, these results point to distinct yet interconverting phenotypes within patient-derived circulating tumour cells, contributing to progression of breast cancer and acquisition of drug resistance.

摘要

晚期雌激素受体(ER)阳性/人表皮生长因子受体2(HER2)阴性乳腺癌女性患者的循环肿瘤细胞在多疗程治疗后会获得一个HER2阳性亚群。与对HER2靶向治疗高度敏感的HER2扩增原发性乳腺癌不同,转移性乳腺癌演变过程中获得性HER2异质性的临床意义尚不清楚。在此,我们分析了19例ER/HER2原发性肿瘤女性患者的循环肿瘤细胞,其中84%的患者获得了表达HER2的循环肿瘤细胞。培养的循环肿瘤细胞维持离散的HER2和HER2亚群:HER2循环肿瘤细胞增殖性更强,但不依赖HER2,这与多种信号通路的激活一致;HER2循环肿瘤细胞显示Notch和DNA损伤通路的激活,对细胞毒性化疗具有抗性,但对Notch抑制敏感。HER2和HER2循环肿瘤细胞会自发相互转化,一种表型的细胞在四个细胞倍增周期内产生相反表型的子代细胞。虽然HER2和HER2循环肿瘤细胞具有相当的肿瘤起始潜能,但不同的增殖情况有利于HER2状态,而氧化应激或细胞毒性化疗会增强向HER2表型的转变。在原位循环肿瘤细胞衍生的肿瘤模型中,紫杉醇和Notch抑制剂联合治疗可实现对肿瘤发生的持续抑制。总之,这些结果表明患者来源的循环肿瘤细胞内存在不同但可相互转化的表型,这有助于乳腺癌的进展和耐药性的获得。

https://cdn.ncbi.nlm.nih.gov/pmc/blobs/76a0/5161614/9f4c2a7f2c38/nihms805887f5.jpg

文献AI研究员

20分钟写一篇综述,助力文献阅读效率提升50倍。

立即体验

用中文搜PubMed

大模型驱动的PubMed中文搜索引擎

马上搜索

文档翻译

学术文献翻译模型,支持多种主流文档格式。

立即体验