Suppr超能文献

胸腺醌、α7受体激动剂和α7受体变构调节剂对实验性诱导阿尔茨海默病大脑皮质的影响与间充质干细胞激活的关系

The Effect of Thymoquinone, α7 Receptor Agonist and α7 Receptor Allosteric Modulator on the Cerebral Cortex in Experimentally Induced Alzheimer's Disease in Relation to MSCs Activation.

作者信息

Ibrahim AbdEl Fattah Lamiaa, Zickri Maha Baligh, Aal Lobna Abdel, Heikal Ola, Osama Esraa

机构信息

Department of Histology, Faculty of Medicine, Cairo University, Egypt.

Department of Physiology and Toxicology, Faculty of Pharmacy & Biotechnology-German University in Cairo (GUC), Egypt.

出版信息

Int J Stem Cells. 2016 Nov 30;9(2):230-238. doi: 10.15283/ijsc16021.

Abstract

BACKGROUND AND OBJECTIVES

Alzheimer's disease (AD) is the most common form of dementia among older persons. Thymoquinone (TQ) has anti-inflammatory, anticonvulsant and antioxidant activity. A novel 7 nicotinic acetyl choline receptor (7 nAChR ) agonist (PNU- 282987) have been identified to enhance the cognitive performance. An alternative treatment strategy via compounds known as nicotinic "positive allosteric modulators" (PAMs) has been reported. This study was designed to investigate the combination of PAM of 7 nAChRs with PNU- 282987 or with TQ as a possible treatment for AD in rat.

METHODS

48 male albino rats were divided into 4 groups. Group І (Control), Group II received lipopolysaccharide, 0.8 mg/kg by intraperitoneal injection (IPI) once, Group III received TQ 10 mg/kg by IPI, Group IV received PNU-120596 1 mg/kg by IPI, in addition to PNU-282987 1 mg/kg by IPI in subgroup IVa and TQ in subgroup b. All treatment drugs were given for 5 days.

RESULTS

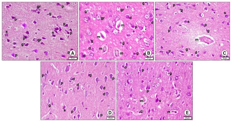
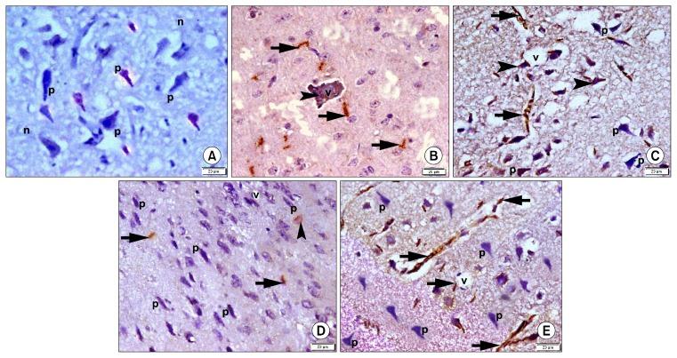
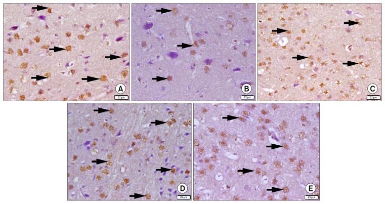
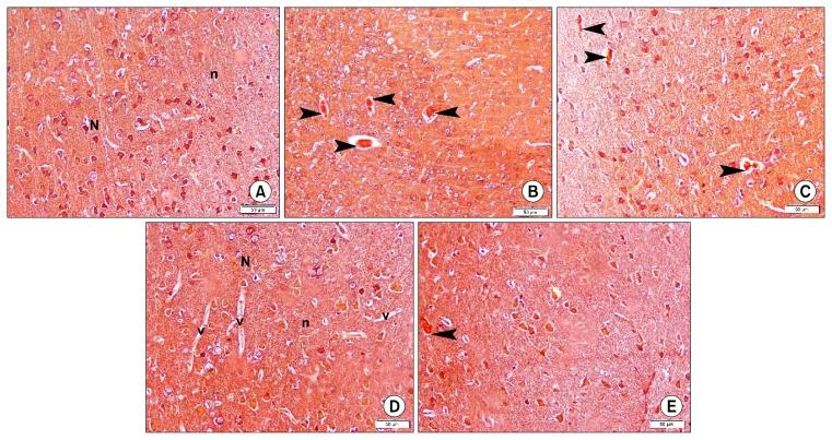
Acidophilic masses, deformed neurons, Congo red +ve masses and reduced Phospho-CREB immunoexpression were seen in group II. All changes regressed by treatment. Some CD44 +ve cells were noticed in group II and few +ve cells in subgroup IVa, that became multiple in group III and subgroup IVb. The histological, histochemical and immunohistochemical changes were confirmed statistically and significant differences were recorded.

CONCLUSIONS

TQ or 7 nAChR agonist combined with PAM can have an important role in treatment of AD that is superior to thymoquinone alone. Exceptionally, TQ single or combined with PAM proved activation of MSC.

摘要

背景与目的

阿尔茨海默病(AD)是老年人中最常见的痴呆形式。百里醌(TQ)具有抗炎、抗惊厥和抗氧化活性。一种新型的7烟碱型乙酰胆碱受体(7 nAChR)激动剂(PNU - 282987)已被证实可提高认知能力。据报道,一种通过称为烟碱“正变构调节剂”(PAMs)的化合物的替代治疗策略。本研究旨在探讨7 nAChRs的PAM与PNU - 282987或与TQ联合使用作为大鼠AD可能治疗方法的效果。

方法

48只雄性白化大鼠分为4组。第一组(对照组),第二组腹腔注射(IPI)脂多糖0.8 mg/kg一次,第三组腹腔注射TQ 10 mg/kg,第四组腹腔注射PNU - 120596 1 mg/kg,此外,第四组a亚组腹腔注射PNU - 282987 1 mg/kg,b亚组腹腔注射TQ。所有治疗药物均给药5天。

结果

第二组可见嗜酸性团块、变形神经元、刚果红阳性团块和磷酸化CREB免疫表达降低。所有这些变化经治疗后均有改善。第二组可见一些CD44阳性细胞,第四组a亚组有少量阳性细胞,第三组和第四组b亚组阳性细胞增多。组织学、组织化学和免疫组织化学变化经统计学证实,并记录到显著差异。

结论

TQ或7 nAChR激动剂与PAM联合使用在AD治疗中可能具有重要作用,优于单独使用百里醌。特别地,单独使用TQ或与PAM联合使用均证明可激活间充质干细胞(MSC)。

https://cdn.ncbi.nlm.nih.gov/pmc/blobs/baeb/5155719/a7fe94fc1f00/ijsc-9-230f1.jpg

文献AI研究员

20分钟写一篇综述,助力文献阅读效率提升50倍。

立即体验

用中文搜PubMed

大模型驱动的PubMed中文搜索引擎

马上搜索

文档翻译

学术文献翻译模型,支持多种主流文档格式。

立即体验