Suppr超能文献

胃饥饿素对束缚应激诱导的小鼠胸腺萎缩的抗凋亡作用

The Anti-apoptotic Effect of Ghrelin on Restraint Stress-Induced Thymus Atrophy in Mice.

作者信息

Lee Jun Ho, Kim Tae-Jin, Kim Jie Wan, Yoon Jeong Seon, Kim Hyuk Soon, Lee Kyung-Mi

机构信息

Global Research Laboratory, Department of Biochemistry and Molecular Biology, College of Medicine, Korea University, Seoul 02841, Korea.

Department of Biomedical Science, College of Life Science, CHA University, Seongnam 13524, Korea.

出版信息

Immune Netw. 2016 Aug;16(4):242-8. doi: 10.4110/in.2016.16.4.242. Epub 2016 Aug 23.

Abstract

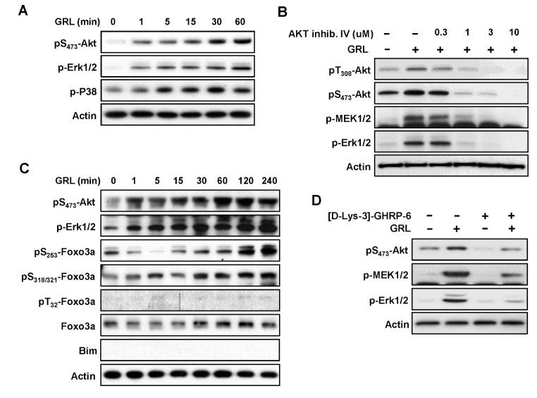
Thymic atrophy is a complication that results from exposure to many environmental stressors, disease treatments, and microbial challenges. Such acute stress-associated thymic loss can have a dramatic impact on the host's ability to replenish the necessary naïve T cell output to reconstitute the peripheral T cell numbers and repertoire to respond to new antigenic challenges. We have previously reported that treatment with the orexigenic hormone ghrelin results in an increase in the number and proliferation of thymocytes after dexamethasone challenge, suggesting a role for ghrelin in restraint stress-induced thymic involution and cell apoptosis and its potential use as a thymostimulatory agent. In an effort to understand how ghrelin suppresses thymic T cell apoptosis, we have examined the various signaling pathways induced by receptor-specific ghrelin stimulation using a restraint stress mouse model. In this model, stress-induced apoptosis in thymocytes was effectively blocked by ghrelin. Western blot analysis demonstrated that ghrelin prevents the cleavage of pro-apoptotic proteins such as Bim, Caspase-3, and PARP. In addition, ghrelin stimulation activates the Akt and Mitogen-activated protein kinases (MAPK) signaling pathways in a time/dose-dependent manner. Moreover, we also revealed the involvement of the FoxO3a pathway in the phosphorylation of Akt and ERK1/2. Together, these findings suggest that ghrelin inhibits apoptosis by modulating the stress-induced apoptotic signal pathway in the restraint-induced thymic apoptosis.

摘要

胸腺萎缩是一种由暴露于多种环境应激源、疾病治疗和微生物挑战所导致的并发症。这种与急性应激相关的胸腺损失会对宿主补充必要的初始T细胞输出以重建外周T细胞数量和库以应对新抗原挑战的能力产生巨大影响。我们之前报道过,用促食欲激素胃饥饿素治疗会导致地塞米松刺激后胸腺细胞数量增加和增殖,这表明胃饥饿素在限制应激诱导的胸腺退化和细胞凋亡中发挥作用,以及其作为胸腺刺激剂的潜在用途。为了理解胃饥饿素如何抑制胸腺T细胞凋亡,我们使用限制应激小鼠模型研究了受体特异性胃饥饿素刺激诱导的各种信号通路。在该模型中,胃饥饿素有效地阻断了应激诱导的胸腺细胞凋亡。蛋白质印迹分析表明,胃饥饿素可防止促凋亡蛋白如Bim、半胱天冬酶-3和聚(ADP-核糖)聚合酶的切割。此外,胃饥饿素刺激以时间/剂量依赖的方式激活Akt和丝裂原活化蛋白激酶(MAPK)信号通路。此外,我们还揭示了FoxO3a通路参与Akt和ERK1/2的磷酸化。总之,这些发现表明胃饥饿素通过调节限制诱导的胸腺细胞凋亡中的应激诱导凋亡信号通路来抑制凋亡。

https://cdn.ncbi.nlm.nih.gov/pmc/blobs/2e5b/5002450/c7a2c052361b/in-16-242-g001.jpg

文献AI研究员

20分钟写一篇综述,助力文献阅读效率提升50倍。

立即体验

用中文搜PubMed

大模型驱动的PubMed中文搜索引擎

马上搜索

文档翻译

学术文献翻译模型,支持多种主流文档格式。

立即体验