Suppr超能文献

α-硫辛酸与辅酶Q10联合应用对卵巢缺血再灌注损伤的保护作用:一项实验研究

The Protective Effects of Alpha-Lipoic Acid and Coenzyme Q10 Combination on Ovarian Ischemia-Reperfusion Injury: An Experimental Study.

作者信息

Tuncer Ahmet Ali, Bozkurt Mehmet Fatih, Koken Tulay, Dogan Nurhan, Pektaş Mine Kanat, Baskin Embleton Didem

机构信息

Department of Pediatric Surgery, Afyon Kocatepe University Hospital, 03000 Afyonkarahisar, Turkey.

Department of Pathology, Faculty of Veterinary Medicine, Afyon Kocatepe University, 03000 Afyonkarahisar, Turkey.

出版信息

Adv Med. 2016;2016:3415046. doi: 10.1155/2016/3415046. Epub 2016 Aug 15.

Abstract

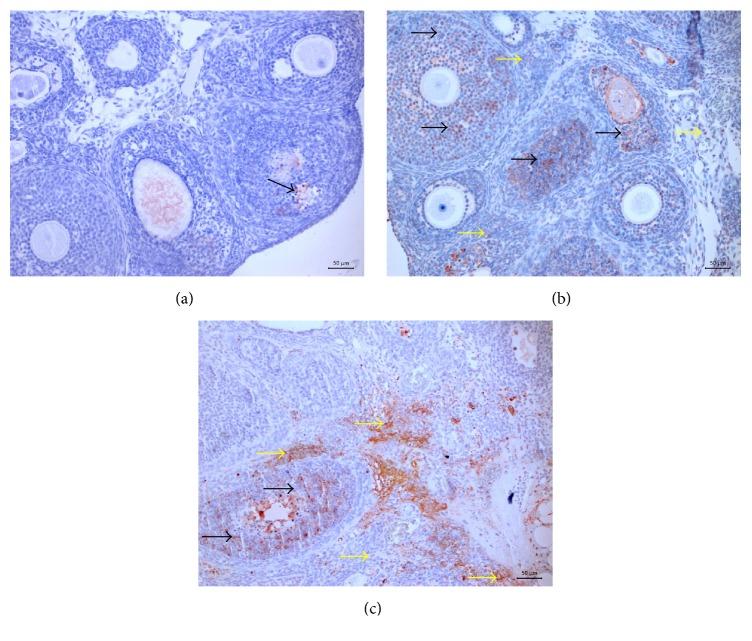
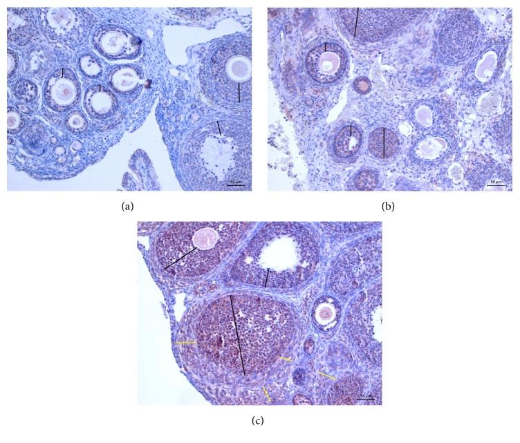
Objective. This study aims to evaluate whether alpha-lipoic acid and/or coenzyme Q10 can protect the prepubertal ovarian tissue from ischemia-reperfusion injury in an experimental rat model of ovarian torsion. Materials and Methods. Forty-two female preadolescent Wistar-Albino rats were divided into 6 equal groups randomly. The sham group had laparotomy without torsion; the other groups had torsion/detorsion procedure. After undergoing torsion, group 2 received saline, group 3 received olive oil, group 4 received alpha-lipoic acid, group 5 received coenzyme Q10, and group 6 received both alpha-lipoic acid and coenzyme Q10 orally. The oxidant-antioxidant statuses of these groups were compared using biochemical measurement of oxidized/reduced glutathione, glutathione peroxidase and malondialdehyde, pathological evaluation of damage and apoptosis within the ovarian tissue, and immunohistochemical assessment of nitric oxide synthase. Results. The left ovaries of the alpha-lipoic acid + coenzyme Q10 group had significantly lower apoptosis scores and significantly higher nitric oxide synthase content than the left ovaries of the control groups. The alpha-lipoic acid + coenzyme Q10 group had significantly higher glutathione peroxidase levels and serum malondialdehyde concentrations than the sham group. Conclusions. The combination of alpha-lipoic acid and coenzyme Q10 has beneficial effects on oxidative stress induced by ischemia-reperfusion injury related to ovarian torsion.

摘要

目的。本研究旨在评估在卵巢扭转的实验大鼠模型中,α-硫辛酸和/或辅酶Q10是否能保护青春期前卵巢组织免受缺血再灌注损伤。材料与方法。42只青春期前雌性Wistar-白化大鼠随机分为6组,每组数量相等。假手术组仅行剖腹术,不进行扭转;其他组进行扭转/复位手术。扭转后,第2组给予生理盐水,第3组给予橄榄油,第4组给予α-硫辛酸,第5组给予辅酶Q10,第6组口服α-硫辛酸和辅酶Q10。通过测定氧化型/还原型谷胱甘肽、谷胱甘肽过氧化物酶和丙二醛的生化指标,评估卵巢组织内损伤和凋亡的病理情况,以及一氧化氮合酶的免疫组化评估,比较这些组的氧化-抗氧化状态。结果。α-硫辛酸+辅酶Q10组的左侧卵巢凋亡评分显著低于对照组左侧卵巢,一氧化氮合酶含量显著高于对照组。α-硫辛酸+辅酶Q10组的谷胱甘肽过氧化物酶水平和血清丙二醛浓度显著高于假手术组。结论。α-硫辛酸和辅酶Q10联合应用对卵巢扭转相关的缺血再灌注损伤诱导的氧化应激具有有益作用。

https://cdn.ncbi.nlm.nih.gov/pmc/blobs/5778/5002467/3daed886b452/AMED2016-3415046.001.jpg

文献AI研究员

20分钟写一篇综述,助力文献阅读效率提升50倍。

立即体验

用中文搜PubMed

大模型驱动的PubMed中文搜索引擎

马上搜索

文档翻译

学术文献翻译模型,支持多种主流文档格式。

立即体验