Suppr超能文献

在肿瘤细胞减灭术和热灌注化疗前,采用腹腔内加压气雾化疗(PIPAC)作为新辅助治疗。

Pressurized intraperitoneal aerosol chemotherapy (PIPAC) as a neoadjuvant therapy before cytoreductive surgery and hyperthermic intraperitoneal chemotherapy.

作者信息

Girshally Ramy, Demtröder Cedric, Albayrak Nurettin, Zieren Jürgen, Tempfer Clemens, Reymond Marc A

机构信息

Therapy center for peritoneal diseases, Elisabethengruppe, Herne, Germany.

Ruhr-University Bochum, Bochum, Germany.

出版信息

World J Surg Oncol. 2016 Sep 27;14(1):253. doi: 10.1186/s12957-016-1008-0.

Abstract

BACKGROUND

Pressurized intraperitoneal aerosol chemotherapy (PIPAC) is a novel drug delivery system able to induce regression of peritoneal metastasis (PM) in the salvage situation. The aim of this study was to determine the clinical characteristics, tumor histology, and extent of disease of the patients having undergone cytoreductive surgery (CRS) and hyperthermic intraperitoneal chemotherapy (HIPEC) after "neoadjuvant" PIPAC.

METHODS

This study was performed at a single institution, tertiary center. In a prospective registry, retrospective analysis was done. PIPAC indication was restricted to patients in the salvage situation who were not eligible for cytoreductive surgery (CRS) and hyperthermic intraperitoneal chemotherapy (HIPEC).

RESULTS

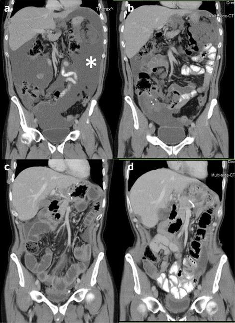
Nine-hundred sixty-one PIPAC sessions were successfully performed in 406 patients: 21 patients (5.2 %) were scheduled for CRS and HIPEC. Twelve of these patients had a low PCI (mean 5.8 ± 5.6). The remaining nine patients showed an advanced peritoneal disease (mean PCI 14.3 ± 5.3) at initial laparoscopy. After repeated PIPAC (mean number of cycles 3.5 ± 0.9), radiological tumor regression was observed in 7/9 patients and major histological regression was observed in 8/9 patients, so that secondary CRS and HIPEC became possible.

CONCLUSIONS

PIPAC might be used as a neoadjuvant therapy before CRS and HIPEC in order to improve the outcome of CRS and HIPEC, to select patients with chemosensitive, biologically favorable tumors, to extent the indications of CRS and HIPEC in the presence of diffuse small bowel involvement, and to reduce the extent of cytoreductive surgery.

摘要

背景

腹腔内加压气溶胶化疗(PIPAC)是一种新型给药系统,能够在挽救性治疗中促使腹膜转移(PM)消退。本研究旨在确定在“新辅助”PIPAC后接受细胞减灭术(CRS)和热灌注化疗(HIPEC)患者的临床特征、肿瘤组织学及疾病范围。

方法

本研究在一家三级中心单机构开展。在一个前瞻性登记研究中进行回顾性分析。PIPAC的适应症仅限于不适合细胞减灭术(CRS)和热灌注化疗(HIPEC)的挽救性治疗患者。

结果

406例患者成功进行了961次PIPAC治疗:21例患者(5.2%)计划接受CRS和HIPEC。其中12例患者的腹膜癌指数(PCI)较低(平均5.8±5.6)。其余9例患者在初次腹腔镜检查时显示为晚期腹膜疾病(平均PCI 14.3±5.3)。经过反复PIPAC(平均周期数3.5±0.9)后,7/9的患者出现影像学肿瘤消退,8/9的患者出现主要组织学消退,从而使二次CRS和HIPEC成为可能。

结论

PIPAC可在CRS和HIPEC之前用作新辅助治疗,以改善CRS和HIPEC的疗效,选择对化疗敏感、生物学特性良好的肿瘤患者,在存在弥漫性小肠受累的情况下扩大CRS和HIPEC的适应症,并减少细胞减灭术的范围。

https://cdn.ncbi.nlm.nih.gov/pmc/blobs/f418/5039790/bccbde00e892/12957_2016_1008_Fig1_HTML.jpg

文献AI研究员

20分钟写一篇综述,助力文献阅读效率提升50倍。

立即体验

用中文搜PubMed

大模型驱动的PubMed中文搜索引擎

马上搜索

文档翻译

学术文献翻译模型,支持多种主流文档格式。

立即体验