Suppr超能文献

阿托伐他汀通过调节GSK-3β-PP2Ac-NF-κB信号轴减轻实验性糖尿病心肌病

Atorvastatin Alleviates Experimental Diabetic Cardiomyopathy by Regulating the GSK-3β-PP2Ac-NF-κB Signaling Axis.

作者信息

Ren Xiao-Min, Zuo Guang-Feng, Wu Wen, Luo Jie, Ye Peng, Chen Shao-Liang, Hu Zuo-Ying

机构信息

Department of Cardiology, Nanjing First Hospital, Nanjing Medical University, Qinhuai, Nanjing 210006, P.R. China.

出版信息

PLoS One. 2016 Nov 16;11(11):e0166740. doi: 10.1371/journal.pone.0166740. eCollection 2016.

Abstract

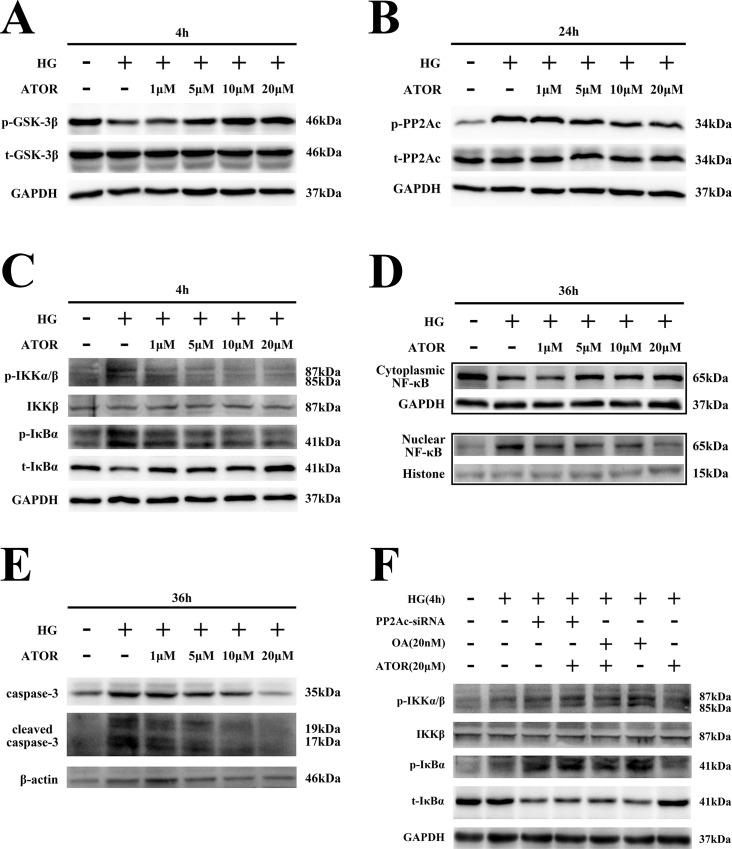
Recent studies reported that atorvastatin (ATOR) alleviated progression of experimental diabetic cardiomyopathy (DCM), possibly by protecting against apoptosis. However, the underlying mechanisms of this protective effect remain unclear. Therefore, our study investigated the role of the glycogen synthase kinase (GSK)-3β-protein phosphatase 2A(PP2A)-NF-κB signaling pathway in the anti-apoptotic and cardioprotective effects of ATOR on cardiomyocytes cultured in high glucose (HG) and in DCM. Our results showed that, in HG-cultured cardiomyocytes, phosphorylation of GSK-3β was decreased, while that of the PP2A catalytic subunit C (PP2Ac) and IKK/IкBα was increased, followed by NF-кB nuclear translocation and apoptosis. IKK/IкBα phosphorylation and NF-кB nuclear translocation were also increased by treatment of cells with okadaic acid (OA), a selective PP2A inhibitor, or by silencing PP2Ac expression. The opposite results were obtained by silencing GSK-3β expression, which resulted in PP2Ac activation. Furthermore, IKK/IкBα phosphorylation and NF-кB nuclear translocation were markedly inhibited and apoptosis attenuated in cells treated with ATOR. These effects occurred through inactivation of GSK-3β and subsequent activation of PP2Ac. They were abolished by treatment of cells with OA or PP2Ac siRNA. In mice with type 1 diabetes mellitus, treatment with ATOR, at 10 mg-kg-1-d-1, significantly suppressed GSK-3β activation, IKK/IкBα phosphorylation, NF-кB nuclear translocation and caspase-3 activation, while also activating PP2Ac. Finally, improvements in histological abnormalities, fibrosis, apoptosis and cardiac dysfunction were observed in diabetic mice treated with ATOR. These findings demonstrated that ATOR protected against HG-induced apoptosis in cardiomyocytes and alleviated experimental DCM by regulating the GSK-3β-PP2A-NF-κB signaling pathway.

摘要

近期研究报道,阿托伐他汀(ATOR)可缓解实验性糖尿病性心肌病(DCM)的进展,可能是通过防止细胞凋亡实现的。然而,这种保护作用的潜在机制仍不清楚。因此,我们的研究探讨了糖原合酶激酶(GSK)-3β-蛋白磷酸酶2A(PP2A)-核因子κB(NF-κB)信号通路在ATOR对高糖(HG)培养的心肌细胞和DCM心肌细胞的抗凋亡及心脏保护作用中的作用。我们的结果表明,在HG培养的心肌细胞中,GSK-3β的磷酸化水平降低,而PP2A催化亚基C(PP2Ac)和IKK/IκBα的磷酸化水平升高,随后NF-κB发生核转位并导致细胞凋亡。用冈田酸(OA,一种选择性PP2A抑制剂)处理细胞或沉默PP2Ac表达,也会使IKK/IκBα磷酸化和NF-κB核转位增加。沉默GSK-3β表达则得到相反的结果,即导致PP2Ac激活。此外,用ATOR处理的细胞中,IKK/IκBα磷酸化和NF-κB核转位受到明显抑制,细胞凋亡也有所减轻。这些作用是通过GSK-3β失活及随后PP2Ac激活而发生的。用OA或PP2Ac小干扰RNA(siRNA)处理细胞可消除这些作用。在1型糖尿病小鼠中,以10 mg·kg-1·d-1的剂量给予ATOR治疗,可显著抑制GSK-3β激活、IKK/IκBα磷酸化、NF-κB核转位和半胱天冬酶-3激活,同时还能激活PP2Ac。最后,在接受ATOR治疗的糖尿病小鼠中,观察到组织学异常、纤维化、细胞凋亡和心脏功能障碍均有所改善。这些研究结果表明,ATOR可保护心肌细胞免受HG诱导的凋亡,并通过调节GSK-3β-PP2A-NF-κB信号通路缓解实验性DCM。

https://cdn.ncbi.nlm.nih.gov/pmc/blobs/9e18/5112957/4b75b8e62f46/pone.0166740.g001.jpg

文献AI研究员

20分钟写一篇综述,助力文献阅读效率提升50倍。

立即体验

用中文搜PubMed

大模型驱动的PubMed中文搜索引擎

马上搜索

文档翻译

学术文献翻译模型,支持多种主流文档格式。

立即体验