Suppr超能文献

白细胞介素37在痛风的人类和小鼠模型中限制尿酸单钠晶体诱导的先天性免疫反应。

Interleukin 37 limits monosodium urate crystal-induced innate immune responses in human and murine models of gout.

作者信息

Liu Lei, Xue Yu, Zhu Yingfeng, Xuan Dandan, Yang Xue, Liang Minrui, Wang Juan, Zhu Xiaoxia, Zhang Jiong, Zou Hejian

机构信息

Department of Rheumatology, Huashan Hospital, Fudan University, 12# Wulumuqi Road, Jingan District, Shanghai, China.

Institute of Rheumatology, Immunology and Allergy, Fudan University, 12# Wulumuqi Road, Jingan District, Shanghai, China.

出版信息

Arthritis Res Ther. 2016 Nov 18;18(1):268. doi: 10.1186/s13075-016-1167-y.

Abstract

BACKGROUND

Interleukin (IL)-37 has emerged as a fundamental inhibitor of innate immunity. Acute gout is a self-limiting inflammatory response to monosodium urate (MSU) crystals. In the current study, we assessed the preventive and therapeutic effect of recombinant human IL-37 (rhIL-37) in human and murine gout models.

METHODS

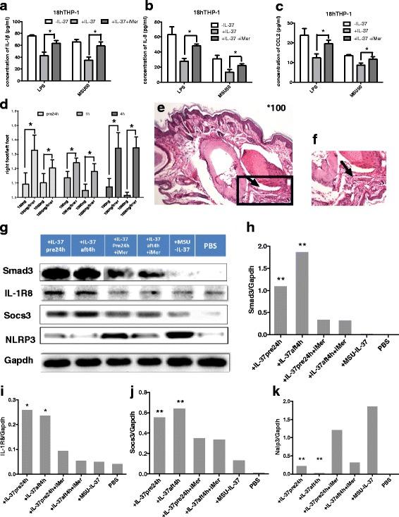
We investigated the expression of IL-37 in patients with active and inactive gouty arthritis and assessed the effect of rhIL-37 in human and murine gout models: a human monocyte cell line (THP-1) and human synovial cells (containing macrophage-like and fibroblast-like synoviocytes) exposed to MSU crystals, a peritoneal murine model of gout and a murine gouty arthritis model. After inhibition of Mer receptor tyrosine kinase (Mertk), levels of IL-1β, IL-8 and chemokine (C-C motif) ligand 2 (CCL-2) were detected by ELISA and expression of mammalian homologs of the drosophila Mad gene 3 (Smad), suppressor of cytokine signaling 3 (SOCS3), NACHT-LRR-PYD-containing protein 3 (NLRP3), and IL-8R of THP-1 were assessed by qPCR and western blot to explore the molecular mechanisms.

RESULTS

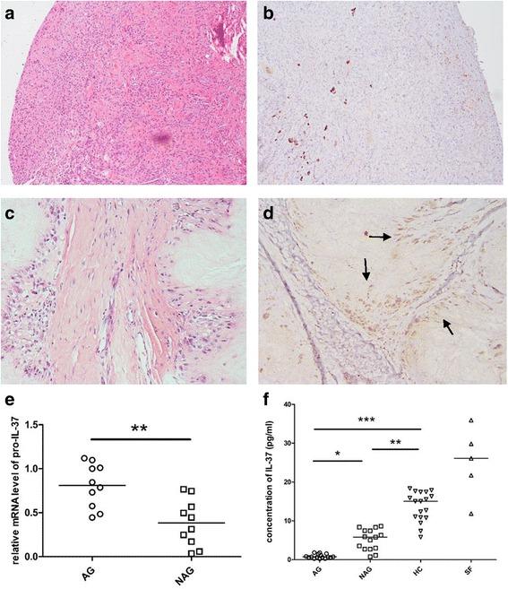
Our studies strongly indicated that rhIL-37 played a potent immunosuppressive role in the pathogenesis of experimental gout models both in vitro and in vivo, by downregulating proinflammatory cytokines and chemokines, markedly reducing neutrophil and monocyte recruitment, and mitigating pathological joint inflammation. In our studies, rhIL-37 suppressed MSU-induced innate immune responses by enhancing expression of Smad3 and IL-1R8 to trigger multiple intracellular switches to block inflammation, including inhibition of NLRP3 and activation of SOCS3. Mertk signaling participated in rhIL-37 inhibitory pathways in gout models. By inhibition of Mertk, the anti-inflammatory effect of rhIL-37 was partly abrogated, and IL-1R8, Smad3 and S​OCS3 expression were suppressed, whereas NLRP3 expression was reactivated.

CONCLUSIONS

Our studies reveal that IL-37 limits runaway inflammation initiated by MSU crystal-induced immune responses, partly in a Mertk-dependent fashion. Thus, rhIL-37 has both preventive and therapeutic effects in gouty arthritis.

摘要

背景

白细胞介素(IL)-37已成为先天性免疫的一种重要抑制剂。急性痛风是对尿酸钠(MSU)晶体的一种自限性炎症反应。在本研究中,我们评估了重组人IL-37(rhIL-37)在人和小鼠痛风模型中的预防和治疗作用。

方法

我们研究了IL-37在活动期和非活动期痛风性关节炎患者中的表达,并评估了rhIL-37在人和小鼠痛风模型中的作用:人单核细胞系(THP-1)和暴露于MSU晶体的人滑膜细胞(包含巨噬细胞样和成纤维细胞样滑膜细胞)、小鼠痛风腹膜模型和小鼠痛风性关节炎模型。在抑制Mer受体酪氨酸激酶(Mertk)后,通过酶联免疫吸附测定(ELISA)检测IL-1β、IL-8和趋化因子(C-C基序)配体2(CCL-2)的水平,并通过定量聚合酶链反应(qPCR)和蛋白质免疫印迹法评估THP-1中果蝇Mad基因3(Smad)的哺乳动物同源物、细胞因子信号转导抑制因子3(SOCS3)、含NACHT-LRR-PYD结构域蛋白3(NLRP3)和IL-8R的表达,以探索其分子机制。

结果

我们的研究有力地表明,rhIL-37在体外和体内实验性痛风模型的发病机制中发挥了强大的免疫抑制作用,通过下调促炎细胞因子和趋化因子,显著减少中性粒细胞和单核细胞的募集,并减轻关节病理炎症。在我们的研究中,rhIL-37通过增强Smad3和IL-1R8的表达来抑制MSU诱导的先天性免疫反应,从而触发多个细胞内开关来阻断炎症,包括抑制NLRP3和激活SOCS3。Mertk信号传导参与痛风模型中rhIL-37的抑制途径。通过抑制Mertk,rhIL-37的抗炎作用部分被消除,IL-1R8、Smad3和SOCS3的表达受到抑制,而NLRP3的表达被重新激活。

结论

我们的研究表明,IL-37限制了由MSU晶体诱导的免疫反应引发的失控性炎症,部分是以Mertk依赖的方式。因此,rhIL-37在痛风性关节炎中具有预防和治疗作用。

https://cdn.ncbi.nlm.nih.gov/pmc/blobs/21b1/5116141/bc448725e9d8/13075_2016_1167_Fig1_HTML.jpg

文献AI研究员

20分钟写一篇综述,助力文献阅读效率提升50倍。

立即体验

用中文搜PubMed

大模型驱动的PubMed中文搜索引擎

马上搜索

文档翻译

学术文献翻译模型,支持多种主流文档格式。

立即体验