Suppr超能文献

慢性压迫性损伤诱导神经病变后,经脉冲电磁场治疗的外周神经中HCN1/HCN2 mRNA表达的变化。

The change of HCN1/HCN2 mRNA expression in peripheral nerve after chronic constriction injury induced neuropathy followed by pulsed electromagnetic field therapy.

作者信息

Liu Hui, Zhou Jun, Gu Lianbing, Zuo Yunxia

机构信息

Department of Anesthesiology, Jiangsu Cancer Hospital, Jiangsu 210009, China.

Department of Anesthesiology, West China Hospital, Sichuan University, Sichuan 610041, China.

出版信息

Oncotarget. 2017 Jan 3;8(1):1110-1116. doi: 10.18632/oncotarget.13584.

Abstract

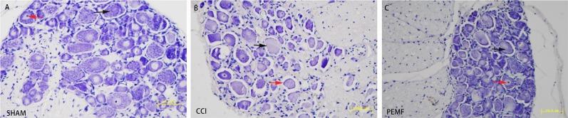
Neuropathic pain is usually defined as a chronic pain state caused by peripheral or central nerve injury as a result of acute damage or systemic diseases. It remains a difficult disease to treat. Recent studies showed that the frequency of action potentials in nociceptive afferents is affected by the activity of hyperpolarization-activated cyclic nucleotide-gated cation channels (HCN) family. In the current study, we used a neuropathy rat model induced by chronic constriction injury (CCI) of sciatic nerve to evaluate the change of expression of HCN1/HCN2 mRNA in peripheral nerve and spinal cord. Rats were subjected to CCI with or without pulsed electromagnetic field (PEMF) therapy. It was found that CCI induced neural cell degeneration while PEMF promoted nerve regeneration as documented by Nissl staining. CCI shortened the hind paw withdrawal latency (PWL) and hind paw withdrawal threshold (PWT) and PEMF prolonged the PWL and PWT. In addition, CCI lowers the expression of HCN1 and HCN2 mRNA and PEMF cannot restore the expression of HCN1 and HCN2 mRNA. Our results indicated that PEMF can promote nerve regeneration and could be used for the treatment of neuropathic pain.

摘要

神经病理性疼痛通常被定义为由急性损伤或全身性疾病导致的外周或中枢神经损伤所引起的慢性疼痛状态。它仍然是一种难以治疗的疾病。最近的研究表明,伤害性传入神经动作电位的频率受超极化激活的环核苷酸门控阳离子通道(HCN)家族活性的影响。在本研究中,我们使用坐骨神经慢性缩窄损伤(CCI)诱导的神经病变大鼠模型来评估外周神经和脊髓中HCN1/HCN2 mRNA表达的变化。对大鼠进行CCI处理,部分大鼠接受或不接受脉冲电磁场(PEMF)治疗。结果发现,如尼氏染色所示,CCI诱导神经细胞变性,而PEMF促进神经再生。CCI缩短了后爪撤离潜伏期(PWL)和后爪撤离阈值(PWT),而PEMF延长了PWL和PWT。此外,CCI降低了HCN1和HCN2 mRNA的表达,PEMF不能恢复HCN1和HCN2 mRNA的表达。我们的结果表明,PEMF可促进神经再生,并可用于治疗神经病理性疼痛。

https://cdn.ncbi.nlm.nih.gov/pmc/blobs/3bd8/5352039/e96d0cc55641/oncotarget-08-1110-g001.jpg

文献AI研究员

20分钟写一篇综述,助力文献阅读效率提升50倍。

立即体验

用中文搜PubMed

大模型驱动的PubMed中文搜索引擎

马上搜索

文档翻译

学术文献翻译模型,支持多种主流文档格式。

立即体验