Suppr超能文献

生存素通过单分子OCT4提高人类神经祖细胞的重编程效率。

Survivin Improves Reprogramming Efficiency of Human Neural Progenitors by Single Molecule OCT4.

作者信息

Zhou Shixin, Liu Yinan, Feng Ruopeng, Wang Caiyun, Jiang Sibo, Zhang Xiaoyan, Lan Feng, Li Yang

机构信息

Department of Cell Biology and Stem Cell Research Center, School of Basic Medicine, Peking University, Beijing, China.

Baotou Medical College, Baotou, Inner Mongolia, China.

出版信息

Stem Cells Int. 2016;2016:4729535. doi: 10.1155/2016/4729535. Epub 2016 Nov 16.

Abstract

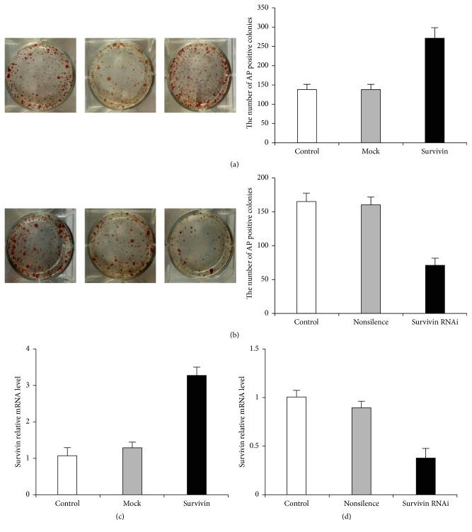
Induced pluripotent stem (iPS) cells have been generated from human somatic cells by ectopic expression of four Yamanaka factors. Here, we report that Survivin, an apoptosis inhibitor, can enhance iPS cells generation from human neural progenitor cells (NPCs) together with one factor OCT4 (1F-OCT4-Survivin). Compared with 1F-OCT4, Survivin accelerates the process of reprogramming from human NPCs. The neurocyte-originated induced pluripotent stem (NiPS) cells generated from 1F-OCT4-Survivin resemble human embryonic stem (hES) cells in morphology, surface markers, global gene expression profiling, and epigenetic status. Survivin keeps high expression in both iPS and ES cells. During the process of NiPS cell to neural cell differentiation, the expression of Survivin is rapidly decreased in protein level. The mechanism of Survivin promotion of reprogramming efficiency from NPCs may be associated with stabilization of -catenin in WNT signaling pathway. This hypothesis is supported by experiments of RT-PCR, chromatin immune-precipitation, and Western blot in human ES cells. Our results showed overexpression of Survivin could improve the efficiency of reprogramming from NPCs to iPS cells by one factor OCT4 through stabilization of the key molecule, -catenin.

摘要

通过异位表达四种山中因子,已从人类体细胞中产生了诱导多能干细胞(iPS细胞)。在此,我们报告凋亡抑制因子Survivin可与一种因子OCT4(1F-OCT4-Survivin)共同增强从人类神经祖细胞(NPC)生成iPS细胞的能力。与1F-OCT4相比,Survivin加速了从人类NPC重编程的过程。由1F-OCT4-Survivin产生的神经细胞来源的诱导多能干细胞(NiPS细胞)在形态、表面标志物、整体基因表达谱和表观遗传状态方面类似于人类胚胎干细胞(hES细胞)。Survivin在iPS细胞和ES细胞中均保持高表达。在NiPS细胞向神经细胞分化的过程中,Survivin的蛋白水平迅速下降。Survivin促进NPC重编程效率的机制可能与WNT信号通路中β-连环蛋白的稳定有关。这一假设得到了人类ES细胞中RT-PCR、染色质免疫沉淀和蛋白质印迹实验的支持。我们的结果表明,Survivin的过表达可通过稳定关键分子β-连环蛋白,提高由一种因子OCT4介导的从NPC重编程为iPS细胞的效率。

https://cdn.ncbi.nlm.nih.gov/pmc/blobs/ee69/5128714/6e759a5be8dd/SCI2016-4729535.001.jpg

文献AI研究员

20分钟写一篇综述,助力文献阅读效率提升50倍。

立即体验

用中文搜PubMed

大模型驱动的PubMed中文搜索引擎

马上搜索

文档翻译

学术文献翻译模型,支持多种主流文档格式。

立即体验