Suppr超能文献

手工液基细胞学和传统涂片在各种细针穿刺样本评估中的应用

Utility of manual liquid-based cytology and conventional smears in the evaluation of various fine-needle aspiration samples.

作者信息

Arul P

机构信息

Department of Pathology, Dhanalakshmi Srinivasan Medical College and Hospital, Siruvachur, Tamil Nadu, India.

出版信息

J Cytol. 2016 Oct-Dec;33(4):177-181. doi: 10.4103/0970-9371.190446.

Abstract

BACKGROUND

Liquid-based cytology (LBC) preparation is a way to improve and refine the fine-needle aspiration (FNA) samples. There are a few studies comparing LBC with conventional smear (CS).

AIM

The present study was undertaken to evaluate the utility of manual LBC (MLBC) and CS preparations in various FNA samples.

MATERIALS AND METHODS

In this cross-sectional study, a total of 100 FNA samples from various anatomical sites were evaluated using MLBC and CS preparations. Cellularity, blood, informative background, monolayers, cell architecture, cytoplasmic, and nuclear preservation were compared with MLBC and CS preparations by Wilcoxon signed rank test. < 0.05 is considered statistically significant.

RESULTS

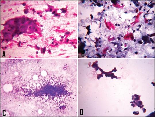
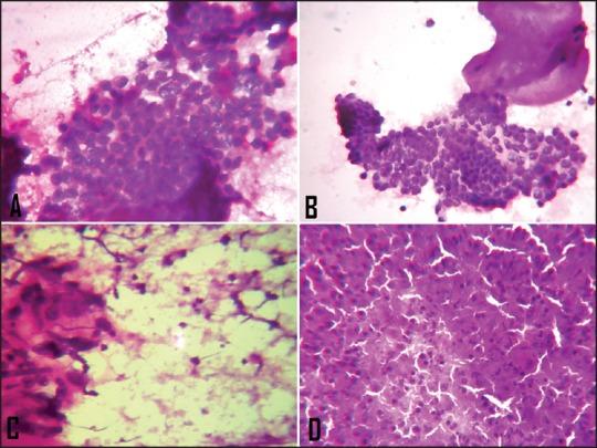
MLBC preparations were superior to CS preparations in view of absence of blood and debris ( = 0.001), presence of monolayers ( < 0.001), and preservation of cytoplasmic ( = 0.001) and nuclear details ( = 0.001). However, no statistically significant differences were found between MLBC and CS preparations with regard to cellularity ( = 0.157), informative background ( = 0.083), and architecture ( = 0.739).

CONCLUSION

MLBC preparations in FNAC are a safe, easy, and less time-consuming procedure, and it may have promising diagnostic value in the evaluation of FNA samples from various anatomical sites. However, the use of both MLBC and CS preparations is recommended to achieve optimal diagnostic yield.

摘要

背景

液基细胞学(LBC)制片是一种改进和优化细针穿刺抽吸(FNA)样本的方法。有一些研究比较了LBC与传统涂片(CS)。

目的

本研究旨在评估手工LBC(MLBC)和CS制片在各种FNA样本中的效用。

材料与方法

在这项横断面研究中,使用MLBC和CS制片对来自不同解剖部位的总共100份FNA样本进行了评估。通过Wilcoxon符号秩检验比较了MLBC和CS制片的细胞含量、血液、有用背景、单层细胞、细胞结构、细胞质和细胞核保存情况。P < 0.05被认为具有统计学意义。

结果

在无血液和碎片(P = 0.001)、存在单层细胞(P < 0.001)以及细胞质(P = 0.001)和细胞核细节保存(P = 0.001)方面,MLBC制片优于CS制片。然而,在细胞含量(P = 0.157)、有用背景(P = 0.083)和结构(P = 0.739)方面,MLBC和CS制片之间未发现统计学显著差异。

结论

在细针穿刺抽吸活检(FNAC)中,MLBC制片是一种安全、简便且耗时较少的方法,在评估来自不同解剖部位的FNA样本时可能具有有前景的诊断价值。然而,建议同时使用MLBC和CS制片以获得最佳诊断率。

https://cdn.ncbi.nlm.nih.gov/pmc/blobs/8287/5156978/67b4e468cb79/JCytol-33-177-g004.jpg

文献AI研究员

20分钟写一篇综述,助力文献阅读效率提升50倍。

立即体验

用中文搜PubMed

大模型驱动的PubMed中文搜索引擎

马上搜索

文档翻译

学术文献翻译模型,支持多种主流文档格式。

立即体验