Suppr超能文献

急性哮喘小鼠模型中肾上腺髓质烟碱型乙酰胆碱受体亚基的重新分布及其对循环肾上腺素水平的影响。

Redistribution of adrenomedullary nicotinic acetylcholine receptor subunits and the effect on circulating epinephrine levels in a murine model of acute asthma.

作者信息

Chen Xi, Feng Juntao, Hu Chengping, Qin Qingwu, Li Yuanyuan, Qin Ling

机构信息

Department of Respiratory Medicine, Xiangya Hospital, Central South University (Key Site of the National Clinical Research Center for Respiratory Disease), Changsha, Hunan 410008, P.R. China.

出版信息

Int J Mol Med. 2017 Feb;39(2):337-346. doi: 10.3892/ijmm.2016.2836. Epub 2016 Dec 23.

Abstract

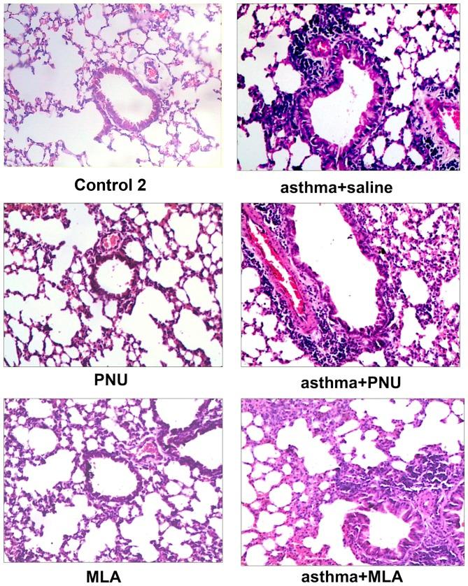
The lack of circulating epinephrine (EPI) in the pathogenesis of asthma has long been attributed to the lack of adrenergic nerves in human airways. However, in this study we considered that EPI levels are regulated by EPI release in addition to synthesis. Nicotinic acetylcholine receptors (nAChRs) have been shown to control EPI release, and we hypothesized that redistribution of nAChR subunits modulates EPI release and circulating EPI levels. Using a mouse model of asthma, circulating EPI levels were measured by enzyme-linked immunosorbent assays. Changes in the expression of nAChR subunits in the adrenal medulla were observed by reverse transcription-quantitative polymerase chain reaction (RT-qPCR) and western blot analysis. Expression of phenylethanolamine N-methyltransferase, tyrosine hydroxylase and galanin was detected by RT-qPCR. Lung pathology, airway resistance (RL) and EPI levels were also assessed after treatment with an α7 nAChR agonist or antagonist. α7 nAChR mRNA expression in the adrenal medulla was increased by more than 2-fold (P<0.05), and circulating EPI levels increased rapidly after treatment with the α7 nAChR agonist. These results indicated that increased EPI release, which was caused by the overexpression of α7 nAChR, was responsible for elevated circulating EPI levels. After treatment with an agonist of α7 nAChR, RL was significantly decreased. Serum corticosterone levels in individual mice were measured to rule out glucocorticoid as the main mediator of changes in EPI levels. On the whole, redistribution of nAChR subunits, primarily α7 nAChR, occurs in the adrenal medulla in asthmatic mice. Increased α7 nAChR expression can rapidly increase serum EPI levels and decrease airway responsiveness.

摘要

长期以来,哮喘发病机制中循环肾上腺素(EPI)的缺乏一直被认为是由于人类气道中缺乏肾上腺素能神经。然而,在本研究中,我们认为EPI水平除了受合成调节外,还受EPI释放的调控。烟碱型乙酰胆碱受体(nAChRs)已被证明可控制EPI释放,我们推测nAChR亚基的重新分布会调节EPI释放和循环EPI水平。使用哮喘小鼠模型,通过酶联免疫吸附测定法测量循环EPI水平。通过逆转录定量聚合酶链反应(RT-qPCR)和蛋白质印迹分析观察肾上腺髓质中nAChR亚基表达的变化。通过RT-qPCR检测苯乙醇胺N-甲基转移酶、酪氨酸羟化酶和甘丙肽的表达。在用α7 nAChR激动剂或拮抗剂治疗后,还评估了肺部病理学、气道阻力(RL)和EPI水平。肾上腺髓质中α7 nAChR mRNA表达增加了2倍以上(P<0.05),用α7 nAChR激动剂治疗后循环EPI水平迅速升高。这些结果表明,α7 nAChR过表达导致的EPI释放增加是循环EPI水平升高的原因。用α7 nAChR激动剂治疗后,RL显著降低。测量了个体小鼠的血清皮质酮水平,以排除糖皮质激素是EPI水平变化的主要介质。总体而言,哮喘小鼠肾上腺髓质中发生了nAChR亚基的重新分布,主要是α7 nAChR。α7 nAChR表达增加可迅速提高血清EPI水平并降低气道反应性。

https://cdn.ncbi.nlm.nih.gov/pmc/blobs/866d/5358715/0f1cd9f7ea92/IJMM-39-02-0337-g00.jpg

文献AI研究员

20分钟写一篇综述,助力文献阅读效率提升50倍。

立即体验

用中文搜PubMed

大模型驱动的PubMed中文搜索引擎

马上搜索

文档翻译

学术文献翻译模型,支持多种主流文档格式。

立即体验