Suppr超能文献

人参皂苷 Rg3 通过 NF-B 通路在 A549 细胞和人哮喘肺组织中的抗炎作用。

Anti-Inflammatory Effects of Ginsenoside Rg3 via NF-B Pathway in A549 Cells and Human Asthmatic Lung Tissue.

机构信息

College of Korean Medicine, Kyung Hee University, 26, Kyungheedae-ro, Dongdaemun-gu, Seoul 02447, Republic of Korea; Department of Science in Korean Medicine, Graduate School, Kyung Hee University, Seoul, Republic of Korea.

Department of Science in Korean Medicine, Graduate School, Kyung Hee University, Seoul, Republic of Korea; Department of Biological Sciences in Korean Medicine, Graduate School, Kyung Hee University, Seoul, Republic of Korea.

出版信息

J Immunol Res. 2016;2016:7521601. doi: 10.1155/2016/7521601. Epub 2016 Dec 27.

Abstract

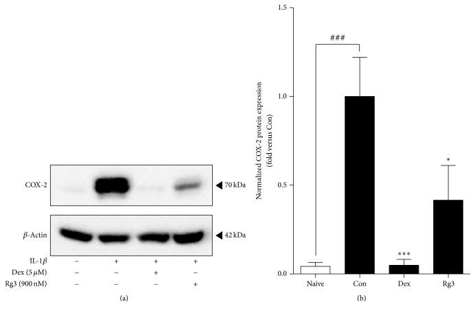
. There is limited information of the anti-inflammatory effects of Rg3 on inflamed lung cells and tissues. Therefore, we confirmed the anti-inflammatory mechanism of ginsenoside Rg3 in inflamed human airway epithelial cells (A549) and tissues whether Rg3 regulates nuclear factor kappa B (NF-B) activity. . To induce the inflammation, IL-1 (10 ng/ml) was treated to A549 cells for 4 h. The effects of Rg3 on NF-B activity and COX-2 expression were evaluated by western blotting analysis in both IL-1-induced inflamed A549 cell and human asthmatic airway epithelial tissues. Using multiplex cytokines assay, the secretion levels of NF-B-mediated cytokines/chemokines were measured. . Rg3 showed the significant inhibition of NF-B activity thereby reduced COX-2 expression was determined in both IL-1-induced inflamed A549 cell and human asthmatic airway epithelial tissues. In addition, among NF-B-mediated cytokines, the secretion levels of IL-4, TNF-, and eotaxin were significantly decreased by Rg3 in asthma tissues. Even though there was no significant difference, IL-6, IL-9, and IL-13 secretion showed a lower tendency compared to saline-treated human asthmatic airway epithelial tissues. . The results from this study demonstrate the potential of Rg3 as an anti-inflammatory agent through regulating NF-B activity and reducing the secretion of NF-B-mediated cytokines/chemokines.

摘要

. 关于 Rg3 对炎症肺细胞和组织的抗炎作用的信息有限。因此,我们确认了人参皂苷 Rg3 在炎症人气道上皮细胞(A549)和组织中的抗炎机制,即 Rg3 是否调节核因子 kappa B(NF-B)活性。. 为了诱导炎症,用 IL-1(10ng/ml)处理 A549 细胞 4 小时。通过 Western blot 分析评估 Rg3 对 IL-1 诱导的炎症 A549 细胞和人哮喘气道上皮组织中 NF-B 活性和 COX-2 表达的影响。通过多重细胞因子测定法测量 NF-B 介导的细胞因子/趋化因子的分泌水平。. Rg3 显示出对 NF-B 活性的显著抑制作用,从而降低了 COX-2 的表达,这在 IL-1 诱导的炎症 A549 细胞和人哮喘气道上皮组织中均得到了证实。此外,在 NF-B 介导的细胞因子中,Rg3 显著降低了哮喘组织中 IL-4、TNF-和 eotaxin 的分泌水平。尽管没有显著差异,但与用生理盐水处理的人哮喘气道上皮组织相比,IL-6、IL-9 和 IL-13 的分泌表现出较低的趋势。. 这项研究的结果表明,Rg3 作为一种抗炎剂,通过调节 NF-B 活性和减少 NF-B 介导的细胞因子/趋化因子的分泌,具有潜在的应用前景。

https://cdn.ncbi.nlm.nih.gov/pmc/blobs/0aff/5223042/85d931978e23/JIR2016-7521601.001.jpg

文献AI研究员

20分钟写一篇综述,助力文献阅读效率提升50倍。

立即体验

用中文搜PubMed

大模型驱动的PubMed中文搜索引擎

马上搜索

文档翻译

学术文献翻译模型,支持多种主流文档格式。

立即体验