Suppr超能文献

子宫内暴露于母亲吸烟环境与发育中的胎儿大脑中的DNA甲基化改变及神经元含量减少有关。

In utero exposure to maternal smoking is associated with DNA methylation alterations and reduced neuronal content in the developing fetal brain.

作者信息

Chatterton Zac, Hartley Brigham J, Seok Man-Ho, Mendelev Natalia, Chen Sean, Milekic Maria, Rosoklija Gorazd, Stankov Aleksandar, Trencevsja-Ivanovska Iskra, Brennand Kristen, Ge Yongchao, Dwork Andrew J, Haghighi Fatemeh

机构信息

Friedman Brain Institute, Icahn School of Medicine at Mount Sinai, 1425 Madison Avenue, New York, NY 10029 USA.

Department of Neuroscience, Icahn School of Medicine at Mount Sinai, 1425 Madison Ave, Floor 10, Room 10-70D, New York, NY 10029 USA.

出版信息

Epigenetics Chromatin. 2017 Jan 26;10:4. doi: 10.1186/s13072-017-0111-y. eCollection 2017.

Abstract

BACKGROUND

Intrauterine exposure to maternal smoking is linked to impaired executive function and behavioral problems in the offspring. Maternal smoking is associated with reduced fetal brain growth and smaller volume of cortical gray matter in childhood, indicating that prenatal exposure to tobacco may impact cortical development and manifest as behavioral problems. Cellular development is mediated by changes in epigenetic modifications such as DNA methylation, which can be affected by exposure to tobacco.

RESULTS

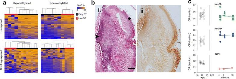
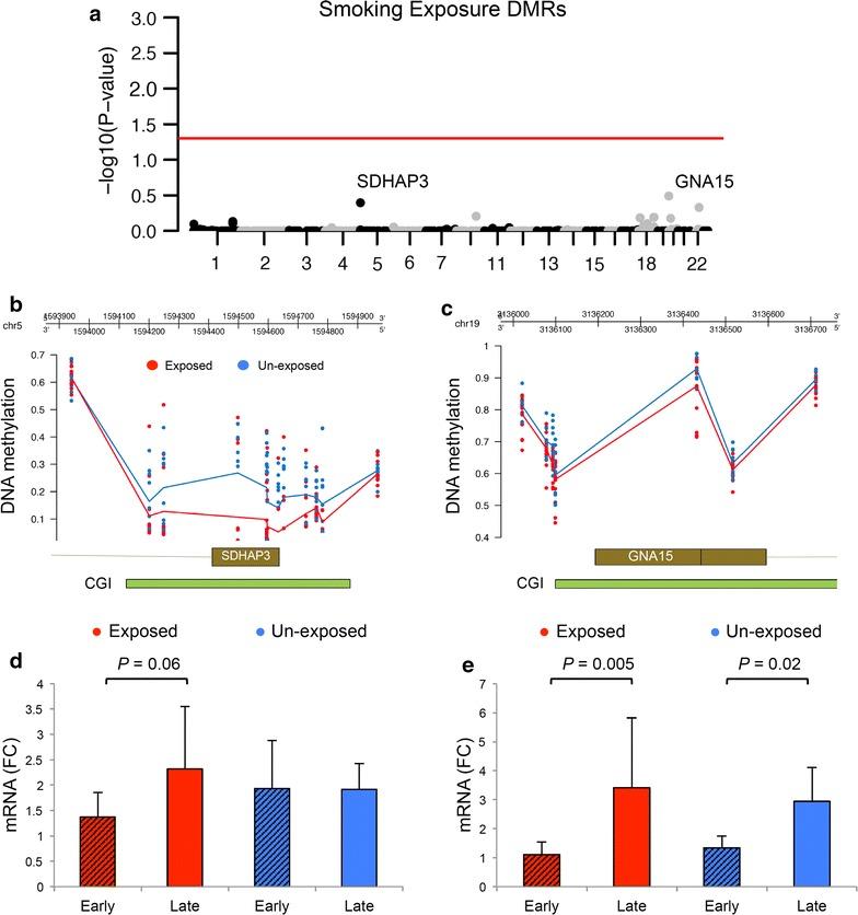
In this study, we sought to ascertain how maternal smoking during pregnancy affects global DNA methylation profiles of the developing dorsolateral prefrontal cortex (DLPFC) during the second trimester of gestation. When DLPFC methylation profiles (assayed via Illumina, HM450) of smoking-exposed and unexposed fetuses were compared, no differentially methylated regions (DMRs) passed the false discovery correction (FDR ≤ 0.05). However, the most significant DMRs were hypomethylated CpG Islands within the promoter regions of and of smoking-exposed fetuses. Interestingly, the developmental up-regulation of mRNA was delayed in smoking-exposed fetuses. Interaction analysis between gestational age and smoking exposure identified significant DMRs annotated to , / and / that passed FDR. Furthermore, utilizing established methods to estimate cell proportions by DNA methylation, we found that exposed DLPFC samples contained a lower proportion of neurons in samples from fetuses exposed to maternal smoking. We also show through in vitro experiments that nicotine impedes the differentiation of neurons independent of cell death.

CONCLUSIONS

We found evidence that intrauterine smoking exposure alters the developmental patterning of DNA methylation and gene expression and is associated with reduced mature neuronal content, effects that are likely driven by nicotine.

摘要

背景

子宫内暴露于母亲吸烟环境与后代的执行功能受损和行为问题有关。母亲吸烟与胎儿脑生长减少以及儿童期皮质灰质体积较小有关,这表明产前暴露于烟草可能影响皮质发育并表现为行为问题。细胞发育由表观遗传修饰(如DNA甲基化)的变化介导,而DNA甲基化会受到烟草暴露的影响。

结果

在本研究中,我们试图确定孕期母亲吸烟如何影响妊娠中期发育中的背外侧前额叶皮质(DLPFC)的整体DNA甲基化谱。当比较暴露于吸烟和未暴露于吸烟环境的胎儿的DLPFC甲基化谱(通过Illumina HM450检测)时,没有差异甲基化区域(DMR)通过错误发现校正(FDR≤0.05)。然而,最显著的DMR是暴露于吸烟环境的胎儿的 和 启动子区域内的低甲基化CpG岛。有趣的是,暴露于吸烟环境的胎儿中 mRNA的发育上调延迟。胎龄与吸烟暴露之间的相互作用分析确定了注释为 、 / 和 / 且通过FDR的显著DMR。此外,利用既定方法通过DNA甲基化估计细胞比例,我们发现暴露于母亲吸烟环境的胎儿的DLPFC样本中神经元比例较低。我们还通过体外实验表明,尼古丁会独立于细胞死亡阻碍神经元的分化。

结论

我们发现证据表明,子宫内吸烟暴露会改变DNA甲基化和基因表达的发育模式,并与成熟神经元含量减少有关,这些影响可能是由尼古丁驱动的。

https://cdn.ncbi.nlm.nih.gov/pmc/blobs/d3d3/5270321/211ad9d5d420/13072_2017_111_Fig1_HTML.jpg

文献AI研究员

20分钟写一篇综述,助力文献阅读效率提升50倍。

立即体验

用中文搜PubMed

大模型驱动的PubMed中文搜索引擎

马上搜索

文档翻译

学术文献翻译模型,支持多种主流文档格式。

立即体验