Suppr超能文献

新型流式细胞术鉴定健康人气道中的支气管上皮细胞。

Novel flow cytometry approach to identify bronchial epithelial cells from healthy human airways.

机构信息

Chan-Yeung Center for Occupational and Environmental Respiratory Disease, Department of Medicine, Division of Respiratory Medicine, University of British Columbia, Vancouver, British Columbia, Canada.

Department of Pediatrics, University of North Carolina at Chapel Hill, USA.

出版信息

Sci Rep. 2017 Feb 6;7:42214. doi: 10.1038/srep42214.

Abstract

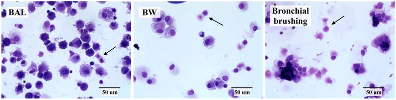
Sampling various compartments within the lower airways to examine human bronchial epithelial cells (HBEC) is essential for understanding numerous lung diseases. Conventional methods to identify HBEC in bronchoalveolar lavage (BAL) and wash (BW) have throughput limitations in terms of efficiency and ensuring adequate cell numbers for quantification. Flow cytometry can provide high-throughput quantification of cell number and function in BAL and BW samples, while requiring low cell numbers. To date, a flow cytometric method to identify HBEC recovered from lower human airway samples is unavailable. In this study we present a flow cytometric method identifying HBEC as CD45 negative, EpCAM/pan-cytokeratin (pan-CK) double-positive population after excluding debris, doublets and dead cells from the analysis. For validation, the HBEC panel was applied to primary HBEC resulting in 98.6% of live cells. In healthy volunteers, HBEC recovered from BAL (2.3% of live cells), BW (32.5%) and bronchial brushing samples (88.9%) correlated significantly (p = 0.0001) with the manual microscopy counts with an overall Pearson correlation of 0.96 across the three sample types. We therefore have developed, validated, and applied a flow cytometric method that will be useful to interrogate the role of the respiratory epithelium in multiple lung diseases.

摘要

从下呼吸道的不同部位取样以检查人支气管上皮细胞 (HBEC) 对于了解许多肺部疾病至关重要。在支气管肺泡灌洗 (BAL) 和冲洗 (BW) 中识别 HBEC 的传统方法在效率方面以及确保足够数量的细胞进行定量方面存在通量限制。流式细胞术可以提供 BAL 和 BW 样本中细胞数量和功能的高通量定量,同时需要低数量的细胞。迄今为止,尚无法从较低的人类气道样本中识别 HBEC 的流式细胞术方法。在这项研究中,我们提出了一种流式细胞术方法,通过从分析中排除碎片、双细胞和死细胞后,将 CD45 阴性、EpCAM/泛细胞角蛋白 (pan-CK) 双阳性群体鉴定为 HBEC。为了验证,该 HBEC 面板应用于原代 HBEC,导致 98.6%的活细胞。在健康志愿者中,从 BAL(活细胞的 2.3%)、BW(32.5%)和支气管刷取样本(88.9%)中回收的 HBEC 与手动显微镜计数显著相关(p = 0.0001),三种样本类型的总体 Pearson 相关性为 0.96。因此,我们已经开发、验证并应用了一种流式细胞术方法,该方法将有助于研究呼吸道上皮在多种肺部疾病中的作用。

https://cdn.ncbi.nlm.nih.gov/pmc/blobs/d8a6/5292697/1c0ee12e2601/srep42214-f1.jpg

文献AI研究员

20分钟写一篇综述,助力文献阅读效率提升50倍。

立即体验

用中文搜PubMed

大模型驱动的PubMed中文搜索引擎

马上搜索

文档翻译

学术文献翻译模型,支持多种主流文档格式。

立即体验