Suppr超能文献

对2型神经纤维瘤病相关的I级和II级脑膜瘤体细胞突变负担的初步见解:一项对两例临床表现差异极大的颅脑膜瘤的病例报告及综合基因组研究。

First insight into the somatic mutation burden of neurofibromatosis type 2-associated grade I and grade II meningiomas: a case report comprehensive genomic study of two cranial meningiomas with vastly different clinical presentation.

作者信息

Dewan Ramita, Pemov Alexander, Dutra Amalia S, Pak Evgenia D, Edwards Nancy A, Ray-Chaudhury Abhik, Hansen Nancy F, Chandrasekharappa Settara C, Mullikin James C, Asthagiri Ashok R, Heiss John D, Stewart Douglas R, Germanwala Anand V

机构信息

Surgical Neurology Branch, National Institute of Neurological Disorders and Stroke, National Institutes of Health, Bethesda, MD, USA.

Clinical Genetics Branch, Division of Cancer Epidemiology and Genetics, National Cancer Institute, Rockville, MD, USA.

出版信息

BMC Cancer. 2017 Feb 13;17(1):127. doi: 10.1186/s12885-017-3127-6.

Abstract

BACKGROUND

Neurofibromatosis type 2 (NF2) is a rare autosomal dominant nervous system tumor predisposition disorder caused by constitutive inactivation of one of the two copies of NF2. Meningiomas affect about one half of NF2 patients, and are associated with a higher disease burden. Currently, the somatic mutation landscape in NF2-associated meningiomas remains largely unexamined.

CASE PRESENTATION

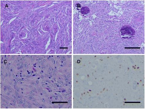
Here, we present an in-depth genomic study of benign and atypical meningiomas, both from a single NF2 patient. While the grade I tumor was asymptomatic, the grade II tumor exhibited an unusually high growth rate: expanding to 335 times its initial volume within one year. The genomes of both tumors were examined by whole-exome sequencing (WES) complemented with spectral karyotyping (SKY) and SNP-array copy-number analyses. To better understand the clonal composition of the atypical meningioma, the tumor was divided in four sections and each section was investigated independently. Both tumors had second copy inactivation of NF2, confirming the central role of the gene in meningioma formation. The genome of the benign tumor closely resembled that of a normal diploid cell and had only one other deleterious mutation (EPHB3). In contrast, the chromosomal architecture of the grade II tumor was highly re-arranged, yet uniform among all analyzed fragments, implying that this large and fast growing tumor was composed of relatively few clones. Besides multiple gains and losses, the grade II meningioma harbored numerous chromosomal translocations. WES analysis of the atypical tumor identified deleterious mutations in two genes: ADAMTSL3 and CAPN5 in all fragments, indicating that the mutations were present in the cell undergoing fast clonal expansion CONCLUSIONS: This is the first WES study of NF2-associated meningiomas. Besides second NF2 copy inactivation, we found low somatic burden in both tumors and high level of genomic instability in the atypical meningioma. Genomic instability resulting in altered gene dosage and compromised structural integrity of multiple genes may be the primary reason of the high growth rate for the grade II tumor. Further study of ADAMTSL3 and CAPN5 may lead to elucidation of their molecular implications in meningioma pathogenesis.

摘要

背景

2型神经纤维瘤病(NF2)是一种罕见的常染色体显性遗传性神经系统肿瘤易感疾病,由NF2两个拷贝之一的组成性失活引起。脑膜瘤影响约一半的NF2患者,并与更高的疾病负担相关。目前,NF2相关脑膜瘤的体细胞突变图谱在很大程度上仍未得到研究。

病例报告

在此,我们展示了对来自一名NF2患者的良性和非典型脑膜瘤的深入基因组研究。虽然I级肿瘤无症状,但II级肿瘤表现出异常高的生长速度:在一年内扩大到其初始体积的335倍。通过全外显子组测序(WES)并辅以光谱核型分析(SKY)和SNP阵列拷贝数分析来检测这两种肿瘤的基因组。为了更好地了解非典型脑膜瘤的克隆组成,将肿瘤分为四个部分并对每个部分进行独立研究。两种肿瘤均有NF2的第二个拷贝失活,证实了该基因在脑膜瘤形成中的核心作用。良性肿瘤的基因组与正常二倍体细胞的基因组非常相似,并且只有另一个有害突变(EPHB3)。相比之下,II级肿瘤的染色体结构高度重排,但在所有分析片段中是一致的,这意味着这个大且生长迅速的肿瘤由相对较少的克隆组成。除了多次增减外,II级脑膜瘤还存在大量染色体易位。对非典型肿瘤的WES分析在所有片段中鉴定出两个基因(ADAMTSL3和CAPN5)中的有害突变,表明这些突变存在于经历快速克隆扩增的细胞中。结论:这是首次对NF2相关脑膜瘤进行的WES研究。除了NF2的第二个拷贝失活外,我们发现两种肿瘤的体细胞负担都很低,而非典型脑膜瘤的基因组不稳定性水平很高。导致基因剂量改变和多个基因结构完整性受损的基因组不稳定性可能是II级肿瘤高生长速度的主要原因。对ADAMTSL3和CAPN5的进一步研究可能有助于阐明它们在脑膜瘤发病机制中的分子影响。

https://cdn.ncbi.nlm.nih.gov/pmc/blobs/3dc8/5307647/c2a972328d2f/12885_2017_3127_Fig1_HTML.jpg

文献AI研究员

20分钟写一篇综述,助力文献阅读效率提升50倍。

立即体验

用中文搜PubMed

大模型驱动的PubMed中文搜索引擎

马上搜索

文档翻译

学术文献翻译模型,支持多种主流文档格式。

立即体验