Suppr超能文献

香草醛通过抑制ERK1/2、P38和NF-κB信号通路保护多巴胺能神经元免受炎症介导的细胞死亡。

Vanillin Protects Dopaminergic Neurons against Inflammation-Mediated Cell Death by Inhibiting ERK1/2, P38 and the NF-κB Signaling Pathway.

作者信息

Yan Xuan, Liu Dian-Feng, Zhang Xiang-Yang, Liu Dong, Xu Shi-Yao, Chen Guang-Xin, Huang Bing-Xu, Ren Wen-Zhi, Wang Wei, Fu Shou-Peng, Liu Ju-Xiong

机构信息

College of Animal Science and Veterinary Medicine, Jilin University, Changchun 130062, China.

Animal Husbandry and Veterinary Medicine, Cangzhou Technic College, Cangzhou 061001, China.

出版信息

Int J Mol Sci. 2017 Feb 12;18(2):389. doi: 10.3390/ijms18020389.

Abstract

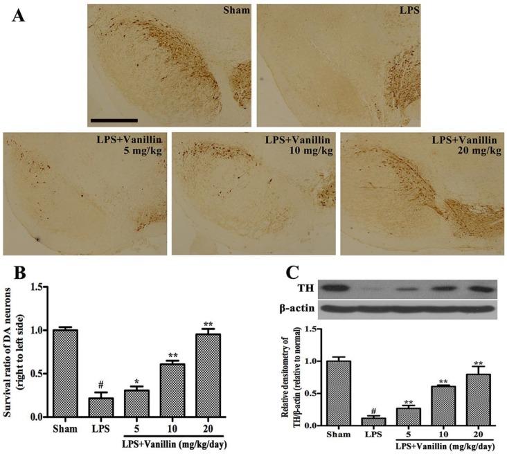
Neuroinflammation plays a very important role in the pathogenesis of Parkinson's disease (PD). After activation, microglia produce pro-inflammatory mediators that damage surrounding neurons. Consequently, the inhibition of microglial activation might represent a new therapeutic approach of PD. Vanillin has been shown to protect dopaminergic neurons, but the mechanism is still unclear. Herein, we further study the underlying mechanisms in lipopolysaccharide (LPS)-induced PD models. In vivo, we firstly established rat models of PD by unilateral injection of LPS into substantia nigra (SN), and then examined the role of vanillin in motor dysfunction, microglial activation and degeneration of dopaminergic neurons. In vitro, murine microglial BV-2 cells were treated with vanillin prior to the incubation of LPS, and then the inflammatory responses and the related signaling pathways were analyzed. The in vivo results showed that vanillin markedly improved the motor dysfunction, suppressed degeneration of dopaminergic neurons and inhibited microglial over-activation induced by LPS intranigral injection. The in vitro studies demonstrated that vanillin reduces LPS-induced expression of inducible nitric oxide (iNOS), cyclooxygenase-2 (COX-2), IL-1β, and IL-6 through regulating ERK1/2, p38 and NF-κB signaling. Collectively, these data indicated that vanillin has a role in protecting dopaminergic neurons via inhibiting inflammatory activation.

摘要

神经炎症在帕金森病(PD)的发病机制中起着非常重要的作用。激活后,小胶质细胞会产生损害周围神经元的促炎介质。因此,抑制小胶质细胞激活可能代表一种新的PD治疗方法。香草醛已被证明可保护多巴胺能神经元,但其机制仍不清楚。在此,我们进一步研究脂多糖(LPS)诱导的PD模型中的潜在机制。在体内,我们首先通过向黑质(SN)单侧注射LPS建立大鼠PD模型,然后研究香草醛在运动功能障碍、小胶质细胞激活和多巴胺能神经元变性中的作用。在体外,在LPS孵育前用香草醛处理小鼠小胶质细胞BV-2,然后分析炎症反应和相关信号通路。体内结果表明,香草醛显著改善运动功能障碍,抑制多巴胺能神经元变性,并抑制LPS脑内注射诱导的小胶质细胞过度激活。体外研究表明,香草醛通过调节ERK1/2、p38和NF-κB信号通路降低LPS诱导的诱导型一氧化氮合酶(iNOS)、环氧化酶-2(COX-2)、IL-1β和IL-6的表达。总的来说,这些数据表明香草醛通过抑制炎症激活在保护多巴胺能神经元方面发挥作用。

https://cdn.ncbi.nlm.nih.gov/pmc/blobs/9bff/5343924/de7a7c324554/ijms-18-00389-g001.jpg

文献AI研究员

20分钟写一篇综述,助力文献阅读效率提升50倍。

立即体验

用中文搜PubMed

大模型驱动的PubMed中文搜索引擎

马上搜索

文档翻译

学术文献翻译模型,支持多种主流文档格式。

立即体验