Suppr超能文献

凝集素参与变应原诱导的哮喘和特应性皮炎中 IL-25、IL-33 和 TSLP 的表达和 2 型反应。

Intelectin contributes to allergen-induced IL-25, IL-33, and TSLP expression and type 2 response in asthma and atopic dermatitis.

机构信息

Division of Pulmonary and Critical Care Medicine, Department of Internal Medicine, Tongji Hospital, Tongji Medical College, Huazhong University of Science and Technology, Wuhan, China.

Key Laboratory of Respiratory Diseases, National Health and Family Planning Commission of the People's Republic of China, Wuhan, China.

出版信息

Mucosal Immunol. 2017 Nov;10(6):1491-1503. doi: 10.1038/mi.2017.10. Epub 2017 Feb 22.

Abstract

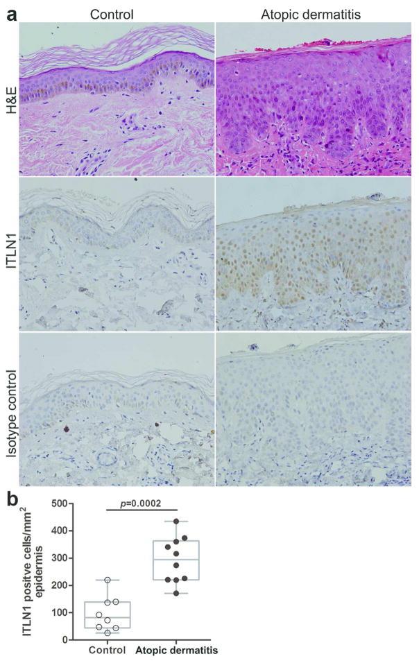
The epithelial and epidermal innate cytokines IL-25, IL-33, and thymic stromal lymphopoietin (TSLP) have pivotal roles in the initiation of allergic inflammation in asthma and atopic dermatitis (AD). However, the mechanism by which the expression of these innate cytokines is regulated remains unclear. Intelectin (ITLN) is expressed in airway epithelial cells and promotes allergic airway inflammation. We hypothesized that ITLN is required for allergen-induced IL-25, IL-33, and TSLP expression. In two asthma models, Itln knockdown reduced allergen-induced increases in Il-25, Il-33, and Tslp and development of type 2 response, eosinophilic inflammation, mucus overproduction, and airway hyperresponsiveness. Itln knockdown also inhibited house dust mite (HDM)-induced early upregulation of Il-25, Il-33, and Tslp in a model solely inducing airway sensitization. Using human airway epithelial cells, we demonstrated that HDM-induced increases in ITLN led to phosphorylation of epidermal growth factor receptor and extracellular-signal regulated kinase, which were required for induction of IL-25, IL-33, and TSLP expression. In two AD models, Itln knockdown suppressed expression of Il-33, Tslp, and Th2 cytokines and eosinophilic inflammation. In humans, ITLN1 expression was significantly increased in asthmatic airways and in lesional skin of AD. We conclude that ITLN contributes to allergen-induced Il-25, Il-33, and Tslp expression in asthma and AD.

摘要

上皮细胞和表皮固有细胞因子白细胞介素 25(IL-25)、白细胞介素 33(IL-33)和胸腺基质淋巴细胞生成素(TSLP)在哮喘和特应性皮炎(AD)中过敏炎症的启动中具有关键作用。然而,这些固有细胞因子的表达调控机制尚不清楚。凝集素(ITLN)表达于气道上皮细胞,促进过敏性气道炎症。我们假设 ITLN 是过敏原诱导的 IL-25、IL-33 和 TSLP 表达所必需的。在两种哮喘模型中,Itln 敲低减少了过敏原诱导的 Il-25、Il-33 和 Tslp 增加以及 2 型反应、嗜酸性粒细胞炎症、黏液过度产生和气道高反应性的发展。Itln 敲低还抑制了仅诱导气道致敏的模型中 HDM 诱导的 Il-25、Il-33 和 Tslp 的早期上调。使用人气道上皮细胞,我们证明了 HDM 诱导的 ITLN 增加导致表皮生长因子受体和细胞外信号调节激酶的磷酸化,这是诱导 IL-25、IL-33 和 TSLP 表达所必需的。在两种 AD 模型中,Itln 敲低抑制了 Il-33、TSLP 和 Th2 细胞因子的表达和嗜酸性粒细胞炎症。在人类中,ITLN1 的表达在哮喘气道和 AD 的皮损皮肤中显著增加。我们的结论是,ITLN 有助于过敏原诱导的哮喘和 AD 中 Il-25、Il-33 和 TSLP 的表达。

https://cdn.ncbi.nlm.nih.gov/pmc/blobs/f98f/5568519/7d731e7a44f7/nihms845332f1.jpg

文献AI研究员

20分钟写一篇综述,助力文献阅读效率提升50倍。

立即体验

用中文搜PubMed

大模型驱动的PubMed中文搜索引擎

马上搜索

文档翻译

学术文献翻译模型,支持多种主流文档格式。

立即体验