Suppr超能文献

长发公主综合征并非仅仅是一个外科问题:一例病例报告及当前治疗方法综述。

Rapunzel syndrome is not just a mere surgical problem: A case report and review of current management.

作者信息

Obinwa Obinna, Cooper David, Khan Faraz, O'Riordan James M

机构信息

Obinna Obinwa, David Cooper, Faraz Khan, James M O'Riordan, Department of Surgery, the Adelaide and Meath Hospital, Dublin Incorporating the National Children's Hospital, Tallaght, Dublin 24, Ireland.

出版信息

World J Clin Cases. 2017 Feb 16;5(2):50-55. doi: 10.12998/wjcc.v5.i2.50.

Abstract

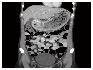
Recurrent Rapunzel syndrome (RRS) is a rare clinical presentation with fewer than six cases reported in the PubMed literature. A report of RRS and literature review is presented. A 25-year-old female was admitted to hospital with a 4-wk history of epigastric pain and swelling. She had a known history of trichophagia with a previous admission for Rapunzel syndrome requiring a laparotomy nine years earlier, aged 16. Psychological treatment had been successfully achieved for nine years with outpatient hypnotherapy sessions only, but she defaulted on her last session due to stressors at home. The abdominal examination demonstrated an epigastric mass. Computer tomography scan revealed a large gastric bezoar and features of aspiration pneumonia. The patient underwent emergency open surgical laparotomy for removal as the bezoar could not be removed endoscopically. The bezoar was cast in a shape that mimicked the contours of the stomach and proximal small bowel, hence the diagnosis of RRS. The patient was seen by a psychiatrist and was commenced on Quetiapine before discharge. She continues to attend follow-up.

摘要

复发性长发公主综合征(RRS)是一种罕见的临床表现,在PubMed文献中报道的病例少于6例。本文呈现了一例RRS病例报告及文献综述。一名25岁女性因上腹部疼痛和肿胀4周病史入院。她有吞食毛发的病史,16岁时曾因长发公主综合征入院,9年前需要进行剖腹手术。仅通过门诊催眠治疗成功进行了9年的心理治疗,但由于家庭压力因素,她未能参加最后一次治疗。腹部检查发现上腹部有肿块。计算机断层扫描显示有一个大的胃石以及吸入性肺炎的特征。由于胃石无法通过内镜取出,患者接受了急诊开放性外科剖腹手术以将其取出。胃石的形状模仿了胃和近端小肠的轮廓,因此诊断为RRS。患者在出院前由精神科医生诊治并开始服用喹硫平。她继续接受随访。

https://cdn.ncbi.nlm.nih.gov/pmc/blobs/a72b/5314261/35beddc350e1/WJCC-5-50-g001.jpg

文献AI研究员

20分钟写一篇综述,助力文献阅读效率提升50倍。

立即体验

用中文搜PubMed

大模型驱动的PubMed中文搜索引擎

马上搜索

文档翻译

学术文献翻译模型,支持多种主流文档格式。

立即体验