Suppr超能文献

海马体死后变化的代谢组学与神经解剖学评估

Metabolomics and neuroanatomical evaluation of post-mortem changes in the hippocampus.

作者信息

Gonzalez-Riano Carolina, Tapia-González Silvia, García Antonia, Muñoz Alberto, DeFelipe Javier, Barbas Coral

机构信息

CEMBIO (Centre for Metabolomics and Bioanalysis), Facultad de Farmacia, Universidad CEU San Pablo, Campus Monteprincipe, Boadilla del Monte, 28668, Madrid, Spain.

Laboratorio Cajal de Circuitos Corticales (CTB), Universidad Politécnica de Madrid, Madrid, Spain.

出版信息

Brain Struct Funct. 2017 Aug;222(6):2831-2853. doi: 10.1007/s00429-017-1375-5. Epub 2017 Mar 11.

Abstract

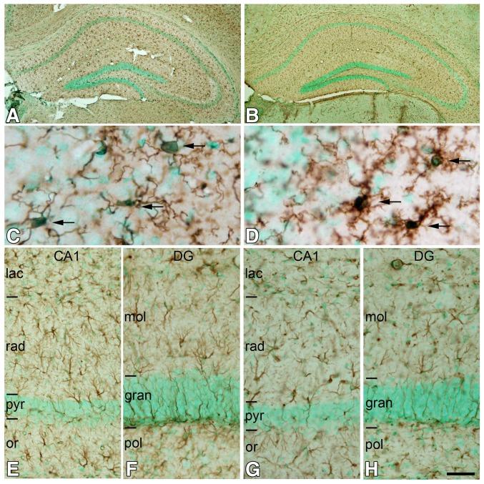
Understanding the human brain is the ultimate goal in neuroscience, but this is extremely challenging in part due to the fact that brain tissue obtained from autopsy is practically the only source of normal brain tissue and also since changes at different levels of biological organization (genetic, molecular, biochemical, anatomical) occur after death due to multiple mechanisms. Here we used metabolomic and anatomical techniques to study the possible relationship between post-mortem time (PT)-induced changes that may occur at both the metabolomics and anatomical levels in the same brains. Our experiments have mainly focused on the hippocampus of the mouse. We found significant metabolomic changes at 2 h PT, whereas the integrity of neurons and glia, at the anatomical/ neurochemical level, was not significantly altered during the first 5 h PT for the majority of histological markers.

摘要

了解人类大脑是神经科学的终极目标,但这极具挑战性,部分原因在于从尸检获取的脑组织实际上是正常脑组织的唯一来源,而且由于多种机制,死后生物组织的不同层次(基因、分子、生化、解剖)会发生变化。在这里,我们使用代谢组学和解剖学技术来研究死后时间(PT)诱导的变化之间可能存在的关系,这些变化可能在同一大脑的代谢组学和解剖学水平上同时出现。我们的实验主要集中在小鼠的海马体上。我们发现在死后2小时代谢组有显著变化,而对于大多数组织学标记物来说,在死后5小时内,解剖学/神经化学水平上的神经元和神经胶质的完整性并未发生显著改变。

https://cdn.ncbi.nlm.nih.gov/pmc/blobs/faae/5541081/f86f9f842d99/429_2017_1375_Fig1_HTML.jpg

文献AI研究员

20分钟写一篇综述,助力文献阅读效率提升50倍。

立即体验

用中文搜PubMed

大模型驱动的PubMed中文搜索引擎

马上搜索

文档翻译

学术文献翻译模型,支持多种主流文档格式。

立即体验