Suppr超能文献

利用计划CT与锥形束CT的可变形配准研究肝脏放射治疗的剂量学变化

Investigation of dosimetric variations of liver radiotherapy using deformable registration of planning CT and cone-beam CT.

作者信息

Huang Pu, Yu Gang, Chen Jinhu, Ma Changsheng, Qin Shaohua, Yin Yong, Liang Yueqiang, Li Hongsheng, Li Dengwang

机构信息

Shandong Province Key Laboratory of Medical Physics and Image Processing Technology, Institute of Biomedical Sciences, School of Physics and Electronics, Shandong Normal University, Jinan, Shandong, China.

Department of Radiation Oncology, Shandong Cancer Hospital, Jinan, China.

出版信息

J Appl Clin Med Phys. 2017 Jan;18(1):66-75. doi: 10.1002/acm2.12008. Epub 2016 Dec 5.

Abstract

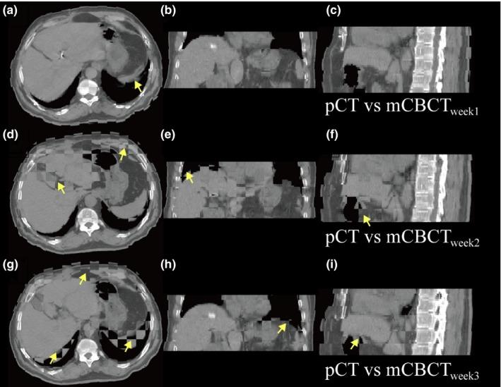
Many patients with technically unresectable or medically inoperable hepatocellular carcinoma (HCC) had hepatic anatomy variations as a result of interfraction deformation during fractionated radiotherapy. We conducted this retrospective study to investigate interfractional normal liver dosimetric consequences via reconstructing weekly dose in HCC patients. Twenty-three patients with HCC received conventional fractionated three-dimensional conformal radiation therapy (3DCRT) were enrolled in this retrospective investigation. Among them, seven patients had been diagnosed of radiation-induced liver disease (RILD) and the other 16 patients had good prognosis after treatment course. The cone-beam CT (CBCT) scans were acquired once weekly for each patient throughout the treatment, deformable image registration (DIR) of planning CT (pCT) and CBCT was performed to acquire modified CBCT (mCBCT), and the structural contours were propagated by the DIR. The same plan was applied to mCBCT to perform dose calculation. Weekly dose distribution was displayed on the pCT dose space and compared using dose difference, target coverage, and dose volume histograms. Statistical analysis was performed to identify the significant dosimetric variations. Among the 23 patients, the three weekly normal liver D increased by 0.2 Gy, 4.2 Gy, and 4.7 Gy, respectively, for patients with RILD, and 1.0 Gy, 2.7 Gy, and 3.1 Gy, respectively, for patients without RILD. Mean dose to the normal liver (D) increased by 0.5 Gy, 2.6 Gy, and 4.0 Gy, respectively, for patients with RILD, and 0.4 Gy, 3.1 Gy, and 3.4 Gy, respectively, for patients without RILD. Regarding patients with RILD, the average values of the third weekly D and D were both over hepatic radiation tolerance, while the values of patients without RILD were below. The dosimetric consequence showed that the liver dose between patients with and without RILD were different relative to the planned dose, and the RILD patients suffered from liver dose over hepatic radiation tolerance. Evaluation of routinely acquired CBCT images during radiation therapy provides biological information on the organs at risk, and dose estimation based on mCBCT could potentially form the basis for personalized response adaptive therapy.

摘要

许多技术上无法切除或医学上无法手术的肝细胞癌(HCC)患者在分次放疗期间因分次间变形而出现肝脏解剖结构变异。我们进行了这项回顾性研究,通过重建HCC患者的每周剂量来调查分次间正常肝脏的剂量学后果。23例接受常规分次三维适形放疗(3DCRT)的HCC患者纳入了这项回顾性研究。其中,7例患者被诊断为放射性肝病(RILD),另外16例患者治疗后预后良好。在整个治疗过程中,每周为每位患者进行一次锥束CT(CBCT)扫描,对计划CT(pCT)和CBCT进行可变形图像配准(DIR)以获取修正后的CBCT(mCBCT),并通过DIR传播结构轮廓。将相同的计划应用于mCBCT进行剂量计算。每周剂量分布显示在pCT剂量空间上,并使用剂量差异、靶区覆盖和剂量体积直方图进行比较。进行统计分析以确定显著的剂量学变异。在这23例患者中,有RILD的患者每周三次正常肝脏剂量分别增加0.2 Gy、4.2 Gy和4.7 Gy,无RILD的患者分别增加至1.0 Gy、2.7 Gy和3.1 Gy。有RILD的患者正常肝脏的平均剂量(D)分别增加0.5 Gy、2.6 Gy和4.0 Gy,无RILD的患者分别增加0.4 Gy、3.1 Gy和3.4 Gy。对于有RILD的患者,第三次每周D和D的平均值均超过肝脏放射耐受量,而无RILD的患者的值低于该耐受量。剂量学结果表明,有和无RILD的患者之间的肝脏剂量相对于计划剂量有所不同,且RILD患者的肝脏剂量超过肝脏放射耐受量。放疗期间对常规获取的CBCT图像进行评估可提供有关危及器官的生物学信息,基于mCBCT的剂量估计可能为个性化反应适应性治疗奠定基础。

https://cdn.ncbi.nlm.nih.gov/pmc/blobs/5821/5689896/f4e813164b69/ACM2-18-066-g001.jpg

文献AI研究员

20分钟写一篇综述,助力文献阅读效率提升50倍。

立即体验

用中文搜PubMed

大模型驱动的PubMed中文搜索引擎

马上搜索

文档翻译

学术文献翻译模型,支持多种主流文档格式。

立即体验